
Jeffrey Chidester
69 posts

Jeffrey Chidester
@Jeff_Chidester
Structural/Interventional Cardiologist at Centra, Medicine, Cardiology, IC at UTSW, Structural training at UVA, dog walker to excess








Extremely proud of rockstar structural and advanced valve fellow @Jeff_Chidester presenting our @CardioUva experience of repeat m-teer at the floating podium just outside the Jefferson Memorial @CRT_meeting

🔥Hot off the press🔥 "Access Options for Transcatheter Aortic Valve Replacement" - with an emphasis on Transcaval Access. @JCM_MDPI Thanks to coauthors from @utswheart & the @CardioNerds Academy.














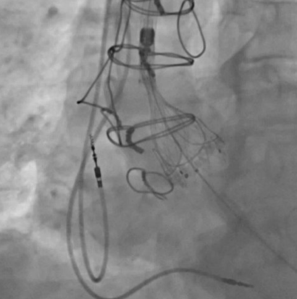
As some have identified, this valve was in-folded. We successfully retrieved the valve and put in a new one. I want to expand on this issue a bit. 🧵


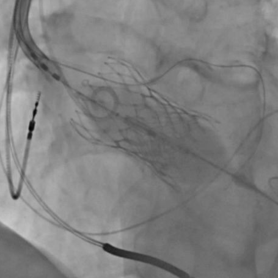
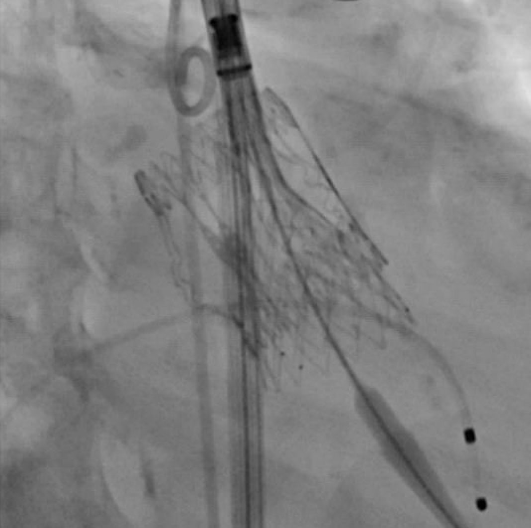
Would you release this 34 mm Evolut? Why or why not? @GuiAttizzaniMD @djc795 @akcmahi









In this episode of Not Otherwise Specified, hosted by NEJM National Correspondent @LisaRosenbaum17, a medical educator goes on the record with widespread but rarely publicly voiced concerns about the slippery slope from “wellness days” to inadequate medical training.






