ทวีตที่ปักหมุด

Complement C3 drives kidney inflammation and fibrosis.
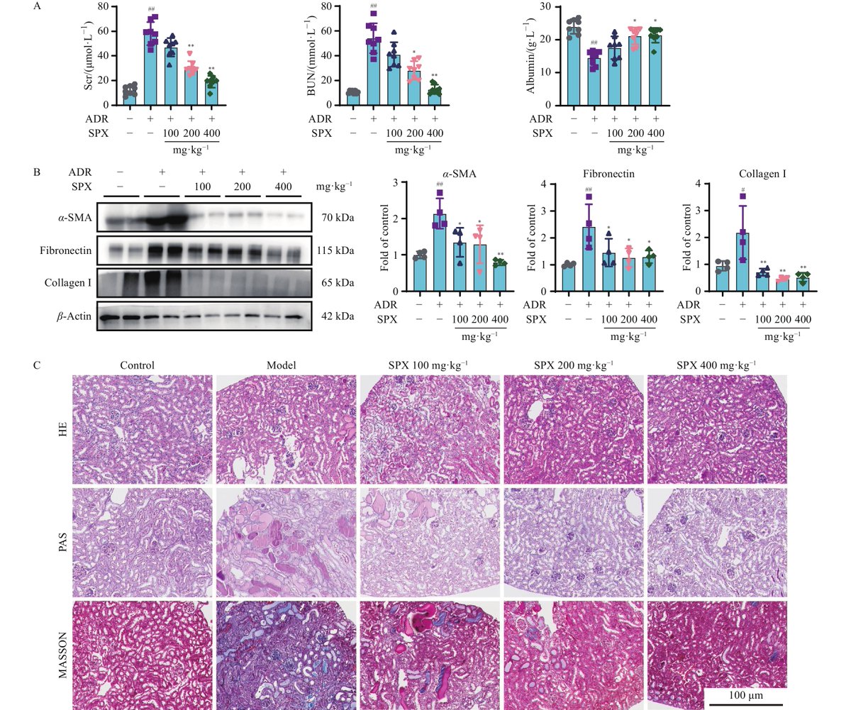
This CJNM study demonstrates that SPX-derived peptide AAQFFNR inhibits complement C3 activation, protects renal function, and attenuates fibrosis in nephropathy models. Peptidomics + molecular docking + in vivo validation highlight insect-derived peptides as a promising therapeutic avenue.
📖Mechanistic insight for natural reno-protective therapy
🔗 Read on ScienceDirect:sciencedirect.com/science/articl…
#Nephropathy #MantidisOotheca #BioactivePeptides #ComplementC3 #CJNM

English











