ทวีตที่ปักหมุด
RaviMedTest #2MIR27 #2MIR28
4.7K posts

RaviMedTest #2MIR27 #2MIR28
@RaviMedTest
👨🏽⚕️Médico (UCM). Cardiólogo. 📚Repasos diarios #nemotecnias #MIR #2MIR27 #2MIR28 🎯 ECG: @12_derivaciones 📩 Info sobre tutorías y tarjetas Anki 👇
Hipocampo เข้าร่วม Haziran 2018
16 กำลังติดตาม6.2K ผู้ติดตาม

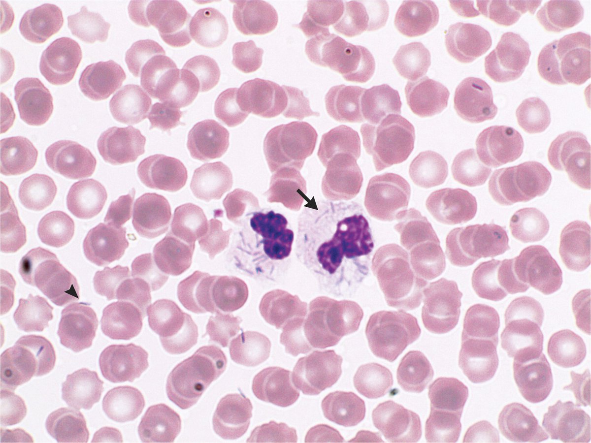
🐛 Capnocytophaga canimorsus es un coco gram negativo, parte de la flora oral de gatos y perros.
Aquí se puede ver la presencia bacteriana intra (flecha) y extracelular (punta de flecha) en un paciente infectado.
#MIR #MIR2027 #2MIR27 #infecciosas

Español

🐛 El medio sólido de Löwenstein- Jensen se emplea para aislar Mycobacterium tuberculosis.
#MIR #MIR2027 #2MIR27 #infecciosas
Español
RaviMedTest #2MIR27 #2MIR28 รีทวีตแล้ว

🐛 El agar Thayer-Martin se emplea para aislar Neisseria gonorrhoeae y meningitidis.
#MIR #MIR2027 #2MIR27 #infecciosas
Català

🐛 El agar BCYE (Buffered Charcoal Yeast Extract) es el medio de cultivo estándar de oro para el aislamiento y crecimiento de especies de Legionella.
#MIR #MIR2027 #2MIR27 #infecciosas
Español

RaviMedTest #2MIR27 #2MIR28 รีทวีตแล้ว

@_alvarots Envíame MD, no me deja enviártelos a mi!
Español

@l_mercedes1058 No me deja enviarte mensaje Mercedes, envíame MD si puedes
Español




















