Mr. Strahlung

2.4K posts

Mr. Strahlung

Mr. Strahlung

@RoentgenBox

Boxing/Medicine/Radiology/Cardiology

เข้าร่วม Şubat 2024
1.2K กำลังติดตาม188 ผู้ติดตาม
Mr. Strahlung
Mr. Strahlung@RoentgenBox·
@luismelendez333 La vdd uno espera mejor oposición para Whittaker y Vargas, no entiendo hasta cuando los vamos a ver contra rivales serios 😐 Y los peleadores de la parte inferior del cartel, ni siquiera los conocia 😵‍💫
Español
1
0
3
27
Mr. Strahlung รีทวีตแล้ว
Dr sthanu subramanian
Dr sthanu subramanian@drsthanus·
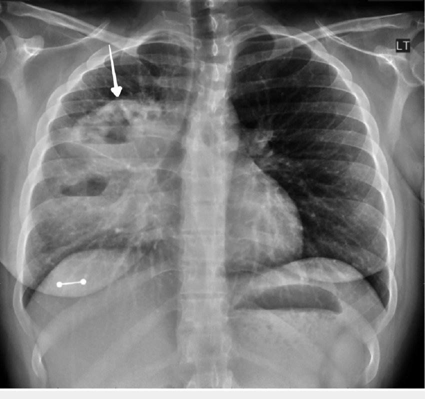
A female in her 20s, an active smoker, with no significant past medical hx, presented with a worsening productive cough, night sweats, and a 20-pound weight loss over six months. Thoughts?
Dr sthanu subramanian tweet media
English
15
4
75
37.9K
Mr. Strahlung รีทวีตแล้ว
Radiology Masterclass
Radiology Masterclass@RadMasterclass·
ABDOMINAL X-RAY 45: Abdominal pain and constipation. What is the radiological diagnosis? Answer bit.ly/3PNyx5k
Radiology Masterclass tweet media
English
3
3
30
2.7K
Mr. Strahlung รีทวีตแล้ว
RADIOLOGISTS
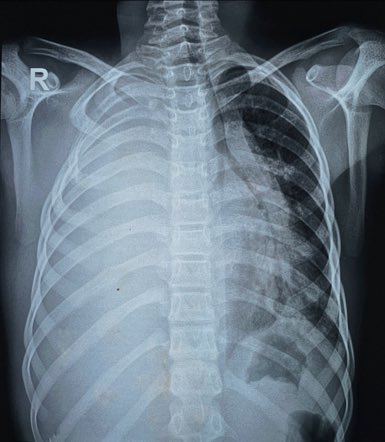
RADIOLOGISTS@DrAyubaD·
EMERGENCY 🆘 A 25y old man was brought in with Acute abdomen. Abdominal X-rays erect and supine as well as chest X-rays were requested. Chest X-ray shown below. What is the most Important finding shown here ? What’s the diagnosis ?
RADIOLOGISTS tweet media
English
21
10
51
7.1K
Mr. Strahlung รีทวีตแล้ว
TA✨
TA✨@DrPharmDMDTh·
What is the most likely diagnosis
TA✨ tweet media
English
7
3
43
11.6K
Mr. Strahlung รีทวีตแล้ว
RADIOLOGISTS
RADIOLOGISTS@DrAyubaD·
🚨 ER Scenario 52-year-old male, heavy smoker, sudden-onset severe respiratory distress and hypoxia. No fever, no trauma, no known malignancy. He’s tachypneic, using accessory muscles, SpO₂ 82% on room air. This is the only imaging you have — a PA Chest X-ray with complete opacification of the entire right hemithorax. No radiologist report. As the treating physician, what is your TOP differential diagnosis right now? And what’s your immediate next step? (Chest tube? Urgent CT? Bronchoscopy? Ultrasound?) Drop your reasoning + rank your top 3 differentials below 👇
RADIOLOGISTS tweet media
English
13
5
37
4.9K
Mr. Strahlung รีทวีตแล้ว
Dr Ihab Suliman
Dr Ihab Suliman@IhabFathiSulima·
Acute abdomen. What is the diagnosis?
Dr Ihab Suliman tweet media
English
23
12
172
47.1K
Boxeo Gordo
Boxeo Gordo@BoxeoGordo·
Algunas consideraciones de las dos caidas de Inoue: 🥊Con panterita Nery cometió un error técnico, principalmente porque su rival era zurdo. Le camina naturalmente para salir fuera de zona de fuego como si fuera derecho y se come de lleno la zurda. 🥊Marlon Tapaes lo pescó excelente, quizás habiendo estudiado y observado que Inoue entra frío y algo suelto los primeros 4R (luego es imparable) 🥊Ambos eran rivales de riesgo bajo/moreado, ninguno de los dos tenían muchas chances en los papeles. Puede Nakatani tirarlo? Claro que si,pero va a ser dificil encontrar al monstruo desenfocado el 2 de mayo.
Jules❤️🥊@tsjules007

The reason why I'm picking Junto to knockout Inoue...

Español
9
1
35
5.3K
Mr. Strahlung
Mr. Strahlung@RoentgenBox·
@BoxeoGordo Sigo creyendo que Nakatani vencerá a Inoue, si algo queda claro es que tiene mandíbula de acero, nadie lo ha derribado y vaya que se ha enfrentado a pegadores duros. Si sumamos su mayor alcance y su guardia zurda, tiene los suficientes recursos para salir con la mano en alto 🥊
Español
1
0
1
108
Mr. Strahlung
Mr. Strahlung@RoentgenBox·
@fandelbox ¿De vdd? Sheeraz me parece una pelea más riesgosa para Canelo que Mbilli 🤔 Sheeraz es más alto y con mayor alcance.
Español
0
0
0
49
Mr. Strahlung รีทวีตแล้ว
RADIOLOGISTS
RADIOLOGISTS@DrAyubaD·
GASTROENTEROLOGY CASE 🔥🔥🔥 A 44yr Old Male presented with history of easy satiety,bloating and weight loss. CT Abdomen done . What is this classic appearance called ? What is the diagnosis ?
RADIOLOGISTS tweet media
English
11
14
99
20.5K
Mr. Strahlung รีทวีตแล้ว
Dr.Haitham Hamoud | د.هيثم
The scan reveals a striking abnormality. What is the underlying pathology and which disease process is responsible for it?
Dr.Haitham Hamoud | د.هيثم tweet media
English
6
4
64
11.9K
Mr. Strahlung รีทวีตแล้ว
Keith Siau
Keith Siau@drkeithsiau·
Patient presents with abdominal pain and no bowel movement for 29 days. What would you recommend?
Keith Siau tweet media
English
112
30
301
318.6K
Mr. Strahlung รีทวีตแล้ว
theRadiologist
theRadiologist@radiologistpage·
How many of these chest X-Ray signs do you recognise? 🧵
theRadiologist tweet mediatheRadiologist tweet mediatheRadiologist tweet mediatheRadiologist tweet media
English
1
47
235
18.8K
Mr. Strahlung รีทวีตแล้ว
Dr Zahoor Ahmed
Dr Zahoor Ahmed@ZahoorAhmed1450·
First-line anticoagulant for DVT (modern practice)? A) Warfarin only B) Heparin only C) DOACs (Apixaban/Rivaroxaban) D) Aspirin
Dr Zahoor Ahmed tweet media
English
61
41
491
96K
Mr. Strahlung รีทวีตแล้ว
Dr.Haitham Hamoud | د.هيثم
An obese young married woman presented to the clinic with a complaint of infertility. A pelvic ultrasound was performed. What is the sign? What is the diagnosis?
Dr.Haitham Hamoud | د.هيثم tweet mediaDr.Haitham Hamoud | د.هيثم tweet media
English
17
18
295
76.9K
Mr. Strahlung รีทวีตแล้ว
Dr Ihab Suliman
Dr Ihab Suliman@IhabFathiSulima·
What is the diagnosis?
Dr Ihab Suliman tweet media
English
32
11
107
24K
Mr. Strahlung รีทวีตแล้ว
MedLearn Hub
MedLearn Hub@MedLearnHub·
Q. A patient presents with diffuse erythema, warmth, swelling, and tenderness of the lower leg with ill-defined margins. What is the diagnosis ? A. Deep vein thrombosis. B. Erysipelas. C. Cellulitis. D. Necrotizing fasciitis.
MedLearn Hub tweet media
English
77
37
503
297.2K