

【公式】ル歯科 カンナム歯医者(le:dental clinic)
898 posts

@ledentals
1DAYインプラント/オールセラミック/無削除ラミネート/ホワイトニング/ 歯列矯正/インビザライン 過剰治療一切なし!安心して治療が受けられるようサポートしております😌🤍 9号線シンノンヒョン駅4番出口すぐ 【ご予約お問い合わせ】https://t.co/5goxwjbsix



【インビザライン値上げ前、最後の価格⁉️】 契約だけでも急げばお得に🏃♀️🏃♀️🏃♀️🔥 今だけのチャンスです! インビザラインが4月まで特別価格でご案内可能です。 さらに、5月以降はインビザラインの価格が値上げ予定となっております。 そのため、4月中にご契約いただくだけで現在の特別価格が適用されます! ✔ 透明で目立たない矯正 ✔ 取り外し可能で快適 ✔ 忙しい方にもおすすめ 少しでも気になっている方は、今が一番お得なタイミングです! ご相談だけでも大歓迎です😊 ぜひお早めにお問い合わせください!

🌸✨3月・4月限定 BIG EVENT開催中✨🌸 年に1回の超お得キャンペーン‼️ ここを逃すと来年までないかも😢 🦷【インプラント】 ✅ポイントインプラント 59万ウォン → ⭐55万ウォン ✅オステム SOI 🎁2本の費用で3本可能(3本16万円) 🦷【矯正】 当日装着で 💥30万ウォン割引 (※クリッピーシーのみ) 🎓【留学生限定】 セルフロ矯正→ 💎10%OFF 😁【ルミ二ア(無削除ラミネート)】 7本の費用で8本可能(8本49万円)+ ホワイトニング付き✨ ✨【ホワイトニング】 水・金限定 → 🔥10%OFF 297,000ウォン(税込み) 🎉🎉3月だけの特別イベント🎉🎉 👉スケーリング無料‼️ 【条件】 ✔治療を1つでも受ける方(簡単な治療でもOK) ✔Twitter(X)投稿 or Googleレビュー1件 3,4月限定なのでお見逃しなく💖


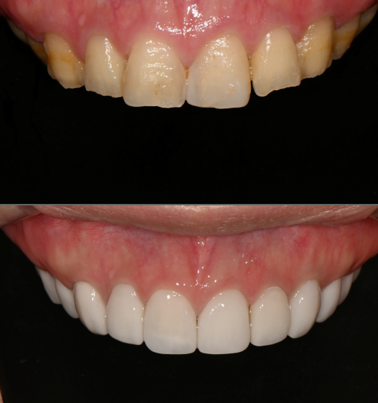
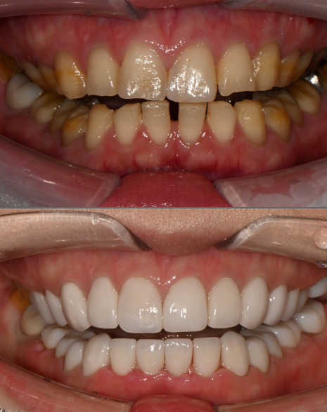
2年前に韓国でインプラントとジルコニア被せにした 価格も安いし、日本より症例数が多いのがきめて🙂↕️ しょっちゅう渡韓してて インプラント考えてる人は @ledentals おすすめだよ 通訳さん迅速で親切だし 施術してくれた院長先生 エレベーターで一緒になったけど、腰低くて可愛い人だった☺️



