ทวีตที่ปักหมุด

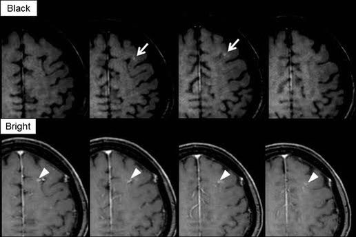
造影MRI検査で脳転移を診断する際に、T1 MPRAGEで読影する施設多いかと思います。
読影の際に、転移なのか?血管なのか?連続性を見て確認すると思うのですが、この論文の方法であれば、血管がBlack Bloodになり読影時間を短縮できそうです。
link.springer.com/article/10.100…

日本語
はんちゃあ。
7.8K posts

@sofadegorogoro
医療系のお仕事。 プロフィール画像は最近推しの重森さとみさん!配偶者は私よりハイスペ。来年の学会は、横浜と鹿児島行きたい!高級セダン購入の野望を最近持ってます。配偶者よ許可しておくれ












後輩が MRCPや腹部造影や頭や脊椎など撮影して13時までに20件。 16時30分までに32件撮影して軽やかに帰って行った😁 新しいDual AIで画質担保して、費用対効果抜群でこの3ヶ月感動してる🥺






リブートをNetflixで見始めました。 いま4話まで見ました!! 俳優の鈴木さんや戸田さん好きで見始めだけど、合六役の北村有起哉さん好きになった😎