Tweet ghim
ATM分析機
19.4K posts


ナフサ危機、食品企業4割すでに打撃 容器不足でプリン販売休止
nikkei.com/article/DGXZQO…
日本語

@wakkiwakkie どの超人も格好が面白いだけで、役に立つ特殊能力持ってるのってベンキーマンだけだよね。
ベンキーマンいればゴミ処理問題解決だし。
日本語

@ItaruyTwit チュチュベビーは「ChuChu チュチュベビー L8020乳酸菌タブレット」ってやつです。
頻度は1週間に1度位思い出したら食べる程度・・・
日本語

@ItaruyTwit チュチュベビー始めてから、初のクリーニング行ったけど、綺麗に磨けてるって褒められた。
歯石全然付いてないって言われた。
前のクリーニングから4カ月で3回(中間と3日前と当日)しか歯磨きしてなかったのに・・・
日本語

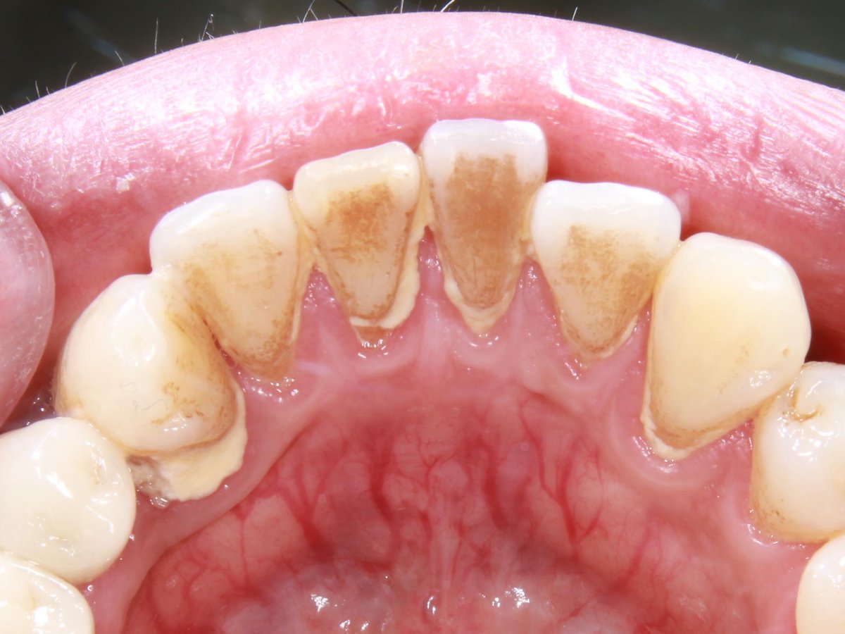
「歯石を取ってください」という初診の電話が来る時があります。この患者さんは歯石は歯科医院で「定期的に取ってもらうもの」そして「行ったら当日すぐに取ってもらえる」と思われているようです。
健康管理に積極的なのは良いのですが、まず歯石が付く原因を知り対策をしてほしいと思います。
つまり歯石が付かないような磨き方をきちんと習得し、そういう食事を選択する知識がないといけません。でないと歯石をとってもまたすぐについてしまい、これを一生続けることになるからです。
ですから歯石を取る前に、まず正しい磨き方を身につけ、それができたら歯石をとる、これが私たちの方針です。
歯石がついてしまったのはしかたがないし自分ではとれません。ですから歯科衛生士は顕微鏡でしっかり確認しながらとるのですが、とったらそれで終わりではなく、数日後に来院していただきプラークがついているようなら直ちに磨き方の修正をお伝えします。
それから歯石をとると歯が凍みることがよくあるのですが、歯がきちんと磨けていれば唾液の成分が沈着して収まることが多いのですが、磨けていない場合はそうなりません。
また「凍み止め薬」を塗ろうにもプラークがついている所には効きませんし、無理に洗って塗るともっと凍みてたいへん嫌がられます。
以上のように、歯石を取るは必ず歯がきちんと磨けるようになってから、というのが正しい順番です。急がば回れの典型が歯の治療なのです。

日本語

@kharaguchi 先生。情報が古いです。
既にOpenMythosというものが出回っており、誰でも使える状態です。
本家Mythosに比べると性能は劣りますが、それでも何十年放置されたセキュリティホールを発見出来る性能です。
規制するのではなく、新しい技術をどんどん取り入れないと、間に合いませんよ。
日本語

Anthropic built an AI called Mythos.
It found security flaws in systems that had been tested five million times —
without a single detection.
It cracked a 27-year-old vulnerability hiding inside the world's most trusted operating system.
Anthropic said:
"This model is too dangerous to release."
So they locked it away.
Under a program called Project Glasswing.
Available only to Amazon. Apple. Microsoft. Goldman Sachs. The NSA.

English

速報:ペンタゴンは、トランプ大統領の指示により、aliens.govドメインを通じて、UFOおよび地球外生命に関連するすべての記録の機密解除を開始する見込みです。

Leading Report@LeadingReport
BREAKING: Pentagon is expected to begin declassifying all records related to UFOs and extraterrestrial life via the domain aliens(dot)gov, at the direction of President Trump.
日本語

























