Little Way Health Coach
2.3K posts

Little Way Health Coach
@biohackingdad
Lost my colon to Crohn's. Catholic, husband, father. Helping Christians with severe health issues find proven wellness strategies & root cause solutions. NMA



Anyone have natural ways for getting rid of scars on your face?













The poor tick gets blamed again. First Lyme disease and now allergies to red meat (Alpha-gal). Allergy to red meat has increased greatly in the last few years. What else increased greatly in the last few years 🤔💉. It is a psyop to distract from the real root cause. The prime suspect is vaccines. Secondary suspect is something they put into the food or water. I may do a bigger thread on this. But do I believe this increase in allergies to red meat is caused by ticks? Hell no.




"Lovaza" is a prescription-grade Omega3 product Doesnt really get higher quality than this Around 1,000 USD per month and around 150 USD if you buy generic Both still lose to the most average as fuck CAN OF SARDINES you can imagine 🤷♂️






Clavicular says Big Pharma is gatekeeping a drug that costs $180,000 a month and only billionaires can access "There's a drug called Increlex, generic IGF-1, it's really only accessible by Elon Musk tier billionaires because it's so outrageously expensive.. we're talking $180,000 a month" "This is quite literally the best thing you could do because you're not actually interfering with your endocrine system" "IGF is one of the best growth pathways in terms of getting more size.. it's a really important hormone in your body"















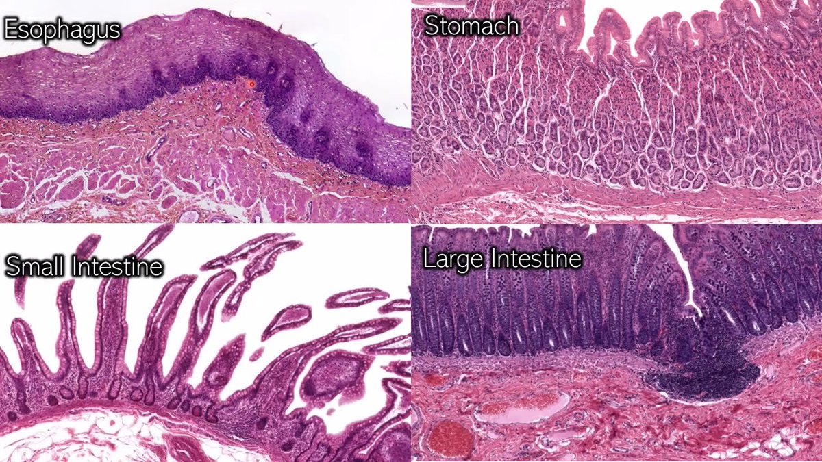
CANDIDA: The cause of your terrible gut health and fatigue that your doctor has no idea how to fix. Here’s how to know if you have it, what causes it and what to do about it:






