Gina Johnson

158 posts

Gina Johnson

Gina Johnson

@ginajohnsonmd

Currently, I am a dermatopathologist and I love what I do.

Beigetreten Şubat 2014
104 Folgt735 Follower
Gina Johnson
Gina Johnson@ginajohnsonmd·
@JMGardnerMD @DermpathJC Hello friends! I’m late to the party, but I think the two tier system is great! I end up doing this most of the time anyway.
English
1
0
2
0
Gina Johnson retweetet
Garth Fraga
Garth Fraga@KUDermpath·
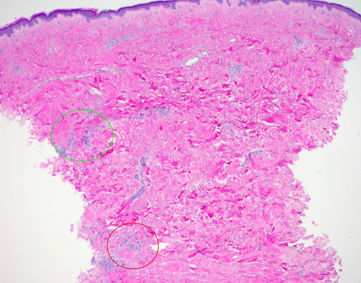
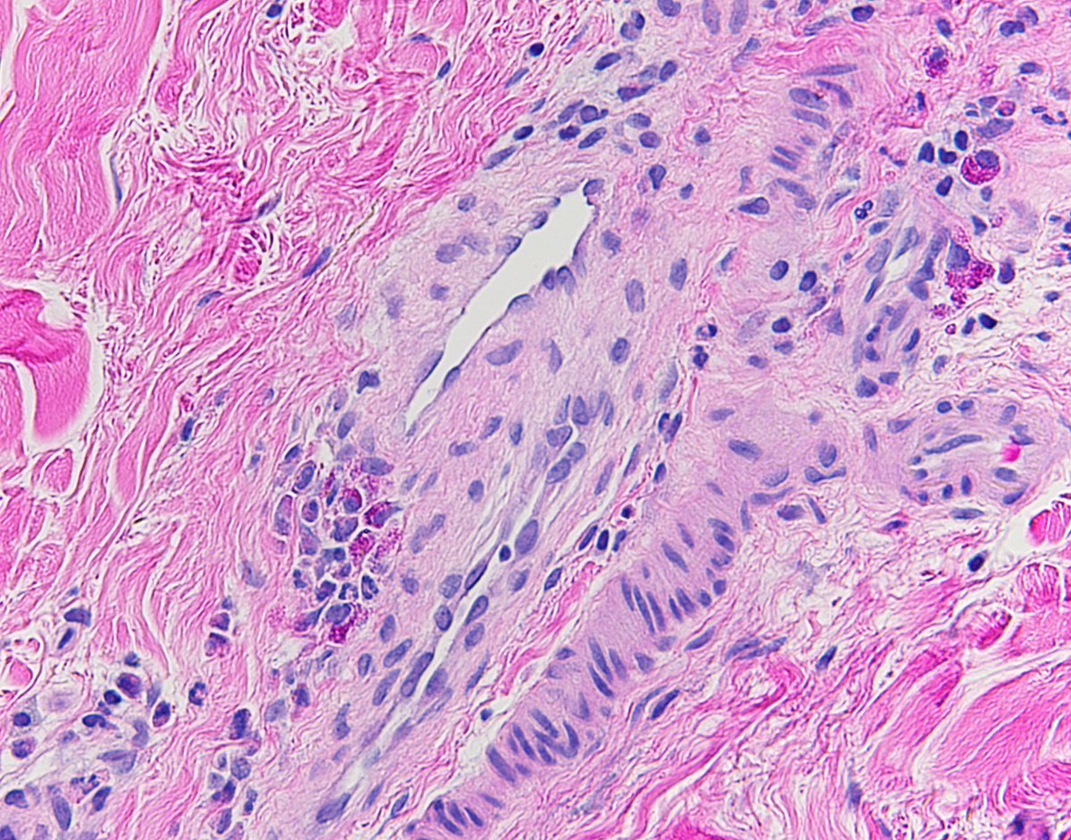
Breast skin biopsy - superficial green circle with urticarial inflammatory reaction suggests all okay, but deeper red circle shows metastatic breast CA. Biopsy size = biopsy accuracy #dermatology #breastcancer
Garth Fraga tweet mediaGarth Fraga tweet mediaGarth Fraga tweet media
English
1
33
50
0
Gina Johnson retweetet
DermpathJC
DermpathJC@DermpathJC·
Save the date! #dermpathJC is on 8/24/2017, 9pm EST. Article PDF at tinyurl.com/BerEp4 Fun fact: the authors are active twitter users!
DermpathJC tweet media
English
4
39
63
0
Gina Johnson
Gina Johnson@ginajohnsonmd·
@JMGardnerMD @AsoniDO I find that whorls of atypical parakeratosis can tip me over the edge to call SCC arising in a SK.
English
0
0
2
0
Gina Johnson
Gina Johnson@ginajohnsonmd·
@NarinaGroveMD Emory. $2500/yr to attend as many (w/in reason) if presenting ($500 if not). Get 5 professional days (vaca after those run out). Find cover.
English
0
0
0
0