Ginell Post, MD, PhD retweetledi
Ginell Post, MD, PhD
1K posts

Ginell Post, MD, PhD
@GPostMDPHD
Hematopathologist at UAMS; Director of Hematopathology Fellowship
Little Rock, AR Katılım Haziran 2016
834 Takip Edilen1.3K Takipçiler
Ginell Post, MD, PhD retweetledi
Ginell Post, MD, PhD retweetledi

Ginell Post, MD, PhD retweetledi

@lbsmithmd @ClinChemMD Techs put cell count (%) into “other” cells with a comment that characterization requires pathologist review.
English

@GPostMDPHD @ClinChemMD Do techs call before diff is verified or does it wait? We have to verify diff and do a report but techs call with “prelim” critical value.
English

How should we conceptualize blasts as critical values? Unlike potassium or PT/PTT, these require pathologist confirmation. Curious to know how others approach this #hemepath #hematology #medtwitter
English

@lbsmithmd @ClinChemMD First time occurrence of “blasts” requires pathologist review/confirmation before differential cell count is released. At our children’s hospital, technicians preliminary classify as “other” cells.
English

@ClinChemMD And is 1% blasts critical? Hardly in many situation. Newborns, premies, kids recovering from chemo. I think waiting to confirm it leads to less confusion.
English
Ginell Post, MD, PhD retweetledi

I actually really like dermatopathology. A lot more than I thought I would! So much so that I'm now considering a fellowship?? #dilemma #toomanytochoose
English
Ginell Post, MD, PhD retweetledi

#hemepath #pathology Ah, a simple uninspired surgical sign out. Just this hammertoe left and I can leave e…. auggghhh! Subsequent serum showed 3.3 g/dL monoclonal IgM kappa.



English
Ginell Post, MD, PhD retweetledi
Ginell Post, MD, PhD retweetledi
Ginell Post, MD, PhD retweetledi

Follicular hyperplasia and beautiful monocytoid B-cells after #Covid_19 vaccine. #hematology #hemepath #pathology



Ann Arbor, MI 🇺🇸 English
Ginell Post, MD, PhD retweetledi

Elderly male with anemia #hemepath #ASH_imagebank @ASH_hematology @gvencut1
Pic courtesy: Nomusa Mashigo; Robert Kingsley Lohlun; Keshanya Moodley

Filipino
Ginell Post, MD, PhD retweetledi

Today we had this smear and Dr. @ChrisTormey3 taught me that these are also called Pince-nez cells. Appreciating how steampunk they look now🥸#hemepath #PathTwitter #pathology



English
Ginell Post, MD, PhD retweetledi

Blood Work: A case of lymphocytic variant hypereosinophilic syndrome in an elderly patient ow.ly/2u8Y50Dg1Dx

English
Ginell Post, MD, PhD retweetledi

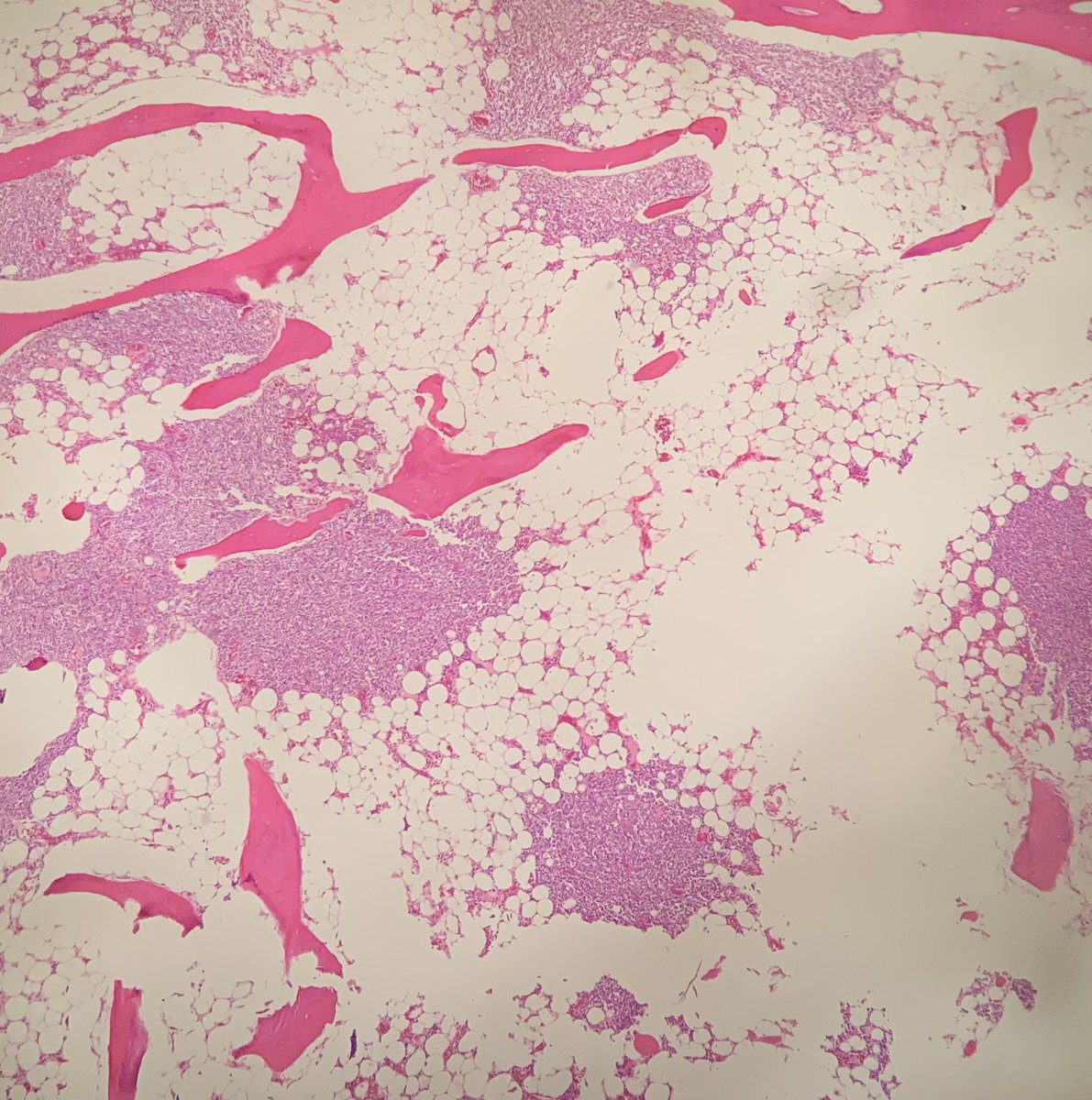
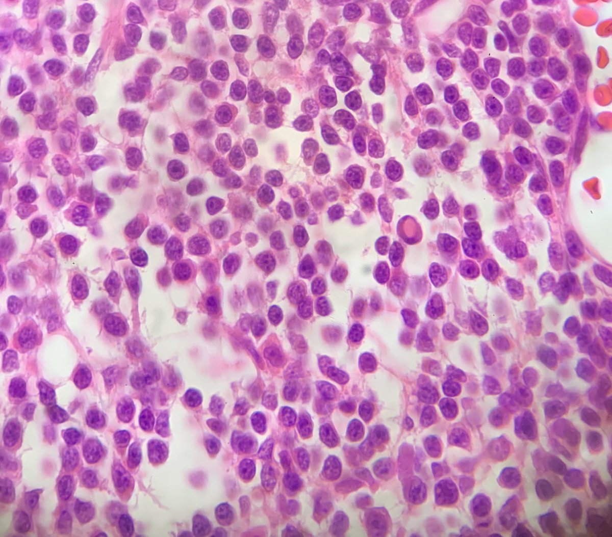
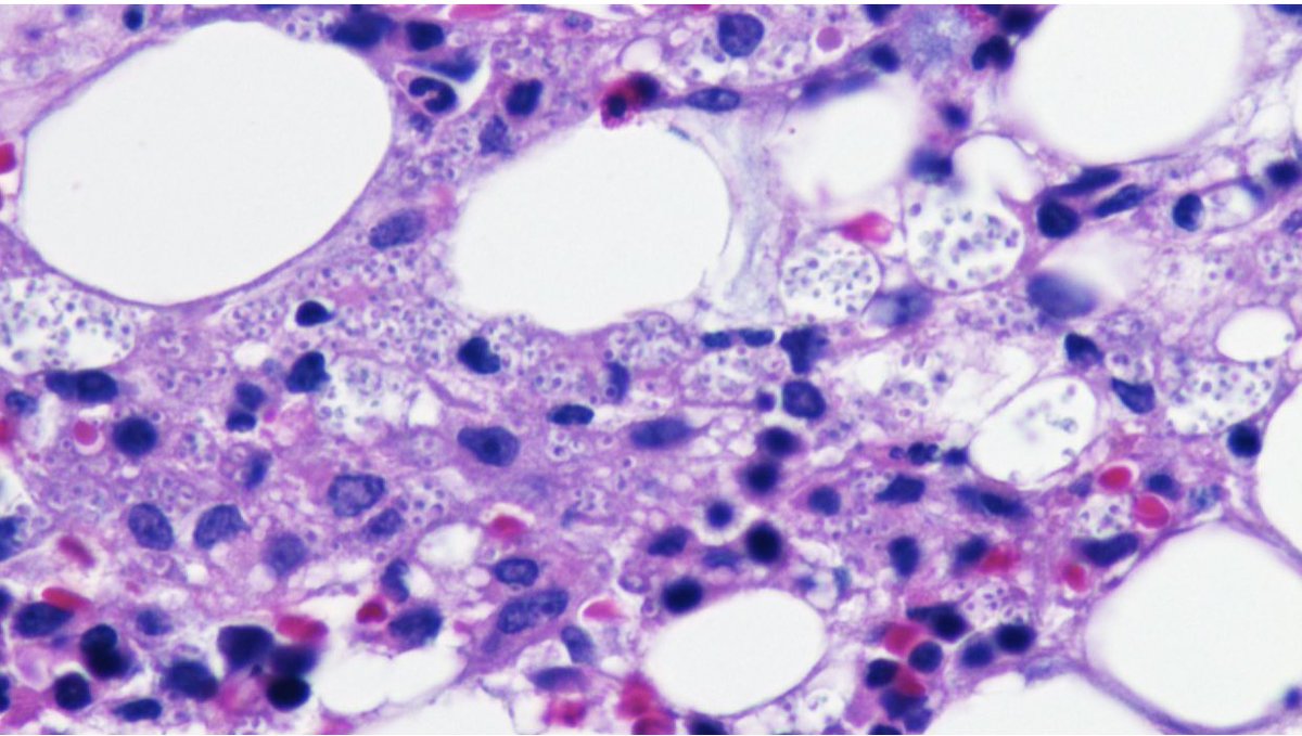
What is the microorganism depicted below, extensively involving the bone marrow and the peripheral blood? #pathboards #hemepath #micropath
(Marrow aspirate and blood smear, Wright-Giemsa; marrow core, H&E)
📸 credit: @NedaWickEdPath



English
Ginell Post, MD, PhD retweetledi
Ginell Post, MD, PhD retweetledi

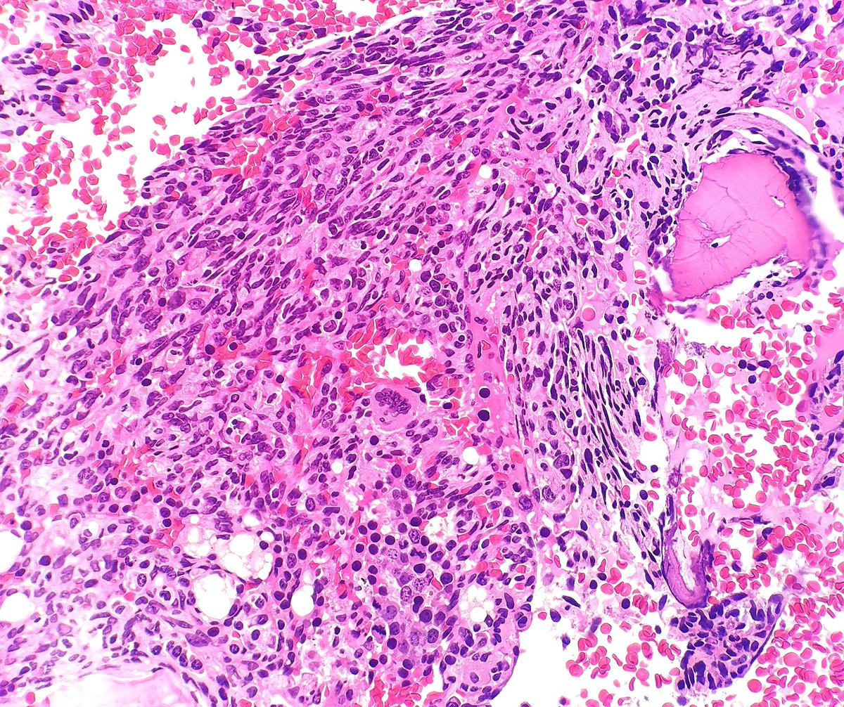
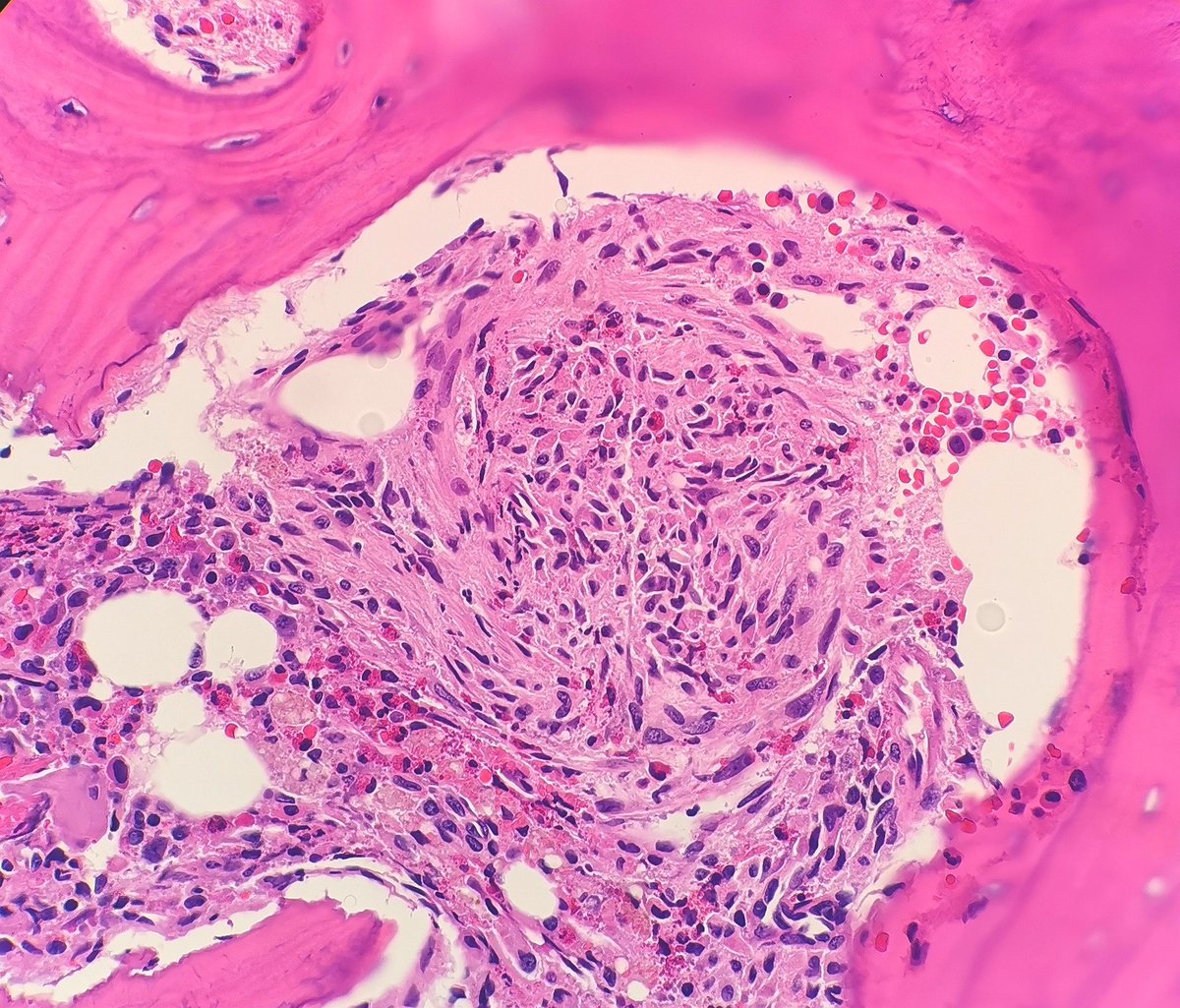
Don't let this zebra fool you! On low power it may look like myelofibrosis, but closer inspection and appropriate stains confirm its true identity: metastatic angiosarcoma
#hemepath #SocHemepath #SHTopics
Read more: pubmed.ncbi.nlm.nih.gov/30733205/

English
Ginell Post, MD, PhD retweetledi

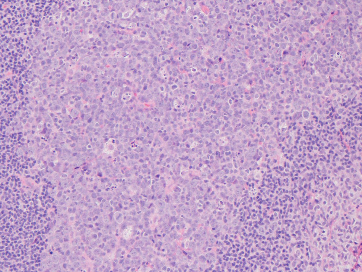
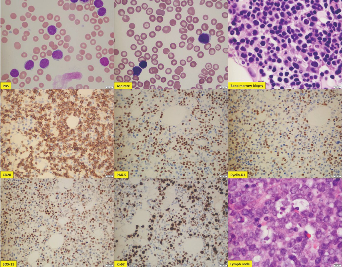
#hemepath #hemepathMDA First time presentation of blastoid mantle cell lymphoma in peripheral blood.

English
Ginell Post, MD, PhD retweetledi











