Sabitlenmiş Tweet
Jennifer Kaley
8 posts

Jennifer Kaley
@JRKaley
Assistant Professor of #dermpath @UAMSdermatology
Katılım Ekim 2015
132 Takip Edilen211 Takipçiler

Rockstar presentation re double IhC for better melanocyte detection! @KCampbellMD @MightyDermPath @JMGardnerMD #isdp2017

Dansk

UAMS representing- posters at #isdp2017 @IntSocDermpath @PathologyUAMS @DermpathUAMS @JMGardnerMD @MightyDermPath

English

Howlelluia!! It's only a tattoo granuloma! @DermpathUAMS @ginajohnsonmd @Nathan_E_Lee @JMGardnerMD @MightyDermPath #pathart

Eesti

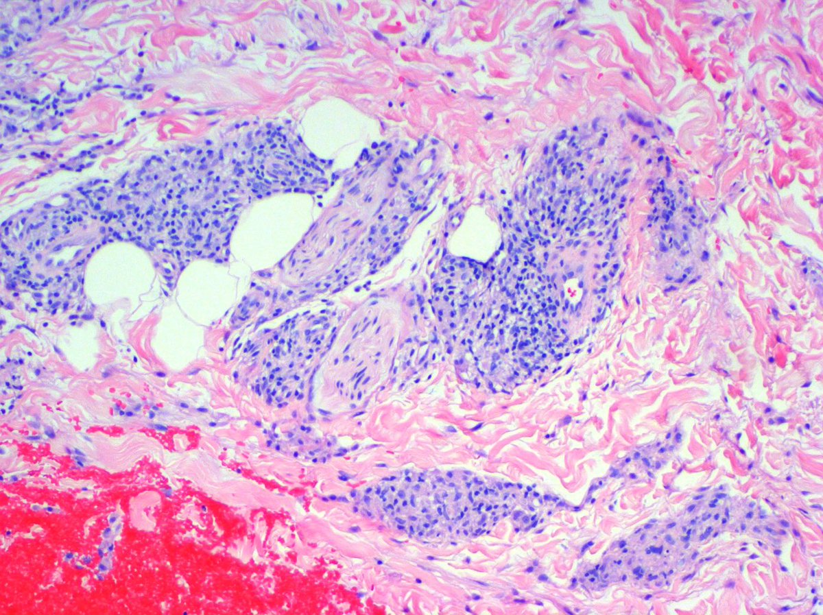
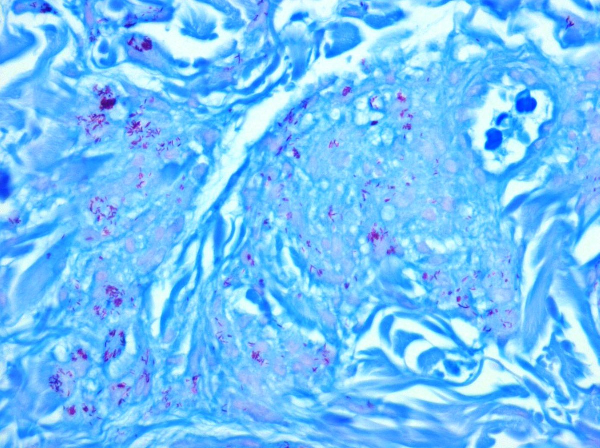
A fascinating case of leprosy!!@DermpathUAMS @MightyDermPath @JMGardnerMD @ginajohnsonmd #dermpath #dermatology #pathology



English

Cookie Monster strikes again! "D" is for #dermpath and that's good enough for me! #pathology #pathart

English


