Neda Wick, MD

1K posts

Neda Wick, MD banner
Neda Wick, MD

Neda Wick, MD

@NedaWickEdPath

• 🔬🧠 Assistant Professor in Neuropathology • AP/CP Board Certified • 📚💙 Passionate about #MedEd • Interested in Medical Informatics • 🧬 💻 #1x_Dx

Se unió Şubat 2015
1.9K Siguiendo1.9K Seguidores
Neda Wick, MD
Neda Wick, MD@NedaWickEdPath·
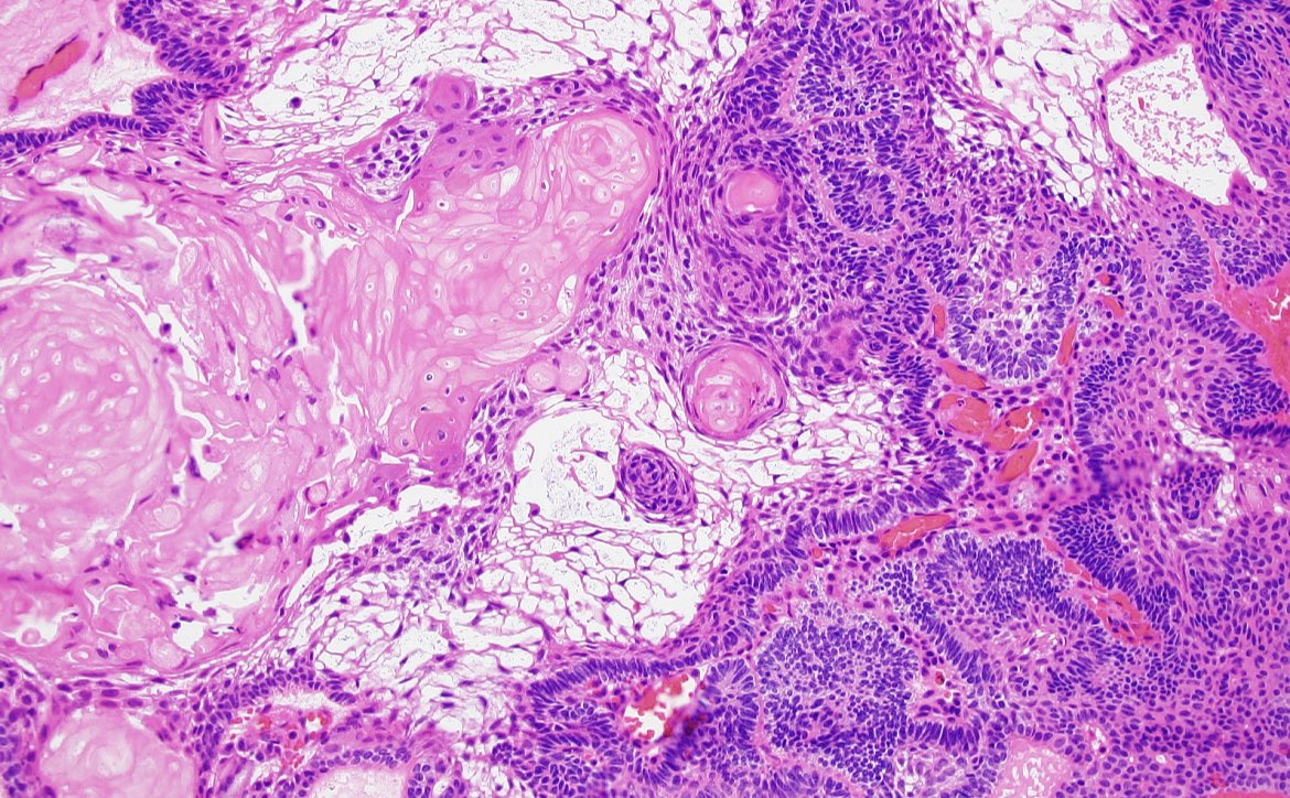
@JaredAhrendsen Beautiful photos! Curious… do you frequently see this degree of acute inflammation in papillary craniopharyngioma?
English
1
0
3
68
Jared T. Ahrendsen MD, PhD (AP/NP/FP)
Papillary craniopharyngioma is also benign (WHO grade 1) but occurs exclusively in adults and is less common. Composed of non-keratinizing squamous epithelium around fibrovascular cores. DDX includes Rathke cleft cyst, but papillary cranio has BRAF V600E.
Jared T. Ahrendsen MD, PhD (AP/NP/FP) tweet media
English
1
4
10
879
Jared T. Ahrendsen MD, PhD (AP/NP/FP)
#Neuropath case 5 - Craniopharyngioma. Let’s start w the adamantinomatous type- “wet” keratin, calcifications, basaloid epithelium with inner stellate reticulum. Bimodal age distribution (kids and adults). Benign (WHO grade 1) sella tumor. CTNNB1 (b-catenin gene) mutations.
Jared T. Ahrendsen MD, PhD (AP/NP/FP) tweet media
English
1
19
70
3.1K
Neda Wick, MD
Neda Wick, MD@NedaWickEdPath·
Happy #NationalWomenPhysiciansDay ! I am so proud to have such an incredible group of colleagues and inspiring leadership at @UABPathology - including our incoming chair @DrCristinaMagi ! #pathology
UAB Pathology@UABPathology

Honoring #NationalWomenPhysiciansDay today, we celebrate the many female faculty who make up @UABPathology including our incoming chair, @DrCristinaMagi, the department's *first-ever* female chair. We are so proud of all that you accomplish & contribute to the field of pathology.

English
0
0
4
424
Neda Wick, MD retuiteado
UAB Pathology
UAB Pathology@UABPathology·
Honoring #NationalWomenPhysiciansDay today, we celebrate the many female faculty who make up @UABPathology including our incoming chair, @DrCristinaMagi, the department's *first-ever* female chair. We are so proud of all that you accomplish & contribute to the field of pathology.
UAB Pathology tweet media
English
0
1
30
1.5K
Neda Wick, MD retuiteado
UAB Pathology
UAB Pathology@UABPathology·
We have so much to be thankful for this Thanksgiving. We could not do anything we do without each member of our @UABPathology family!
English
0
4
16
1.2K
Neda Wick, MD retuiteado
UAB Pathology
UAB Pathology@UABPathology·
Happening now- @KMirza speaking @UABPathology Grand Rounds explaining the importance of social media and networking in #MedEd
UAB Pathology tweet media
English
0
5
29
2.5K
Neda Wick, MD
Neda Wick, MD@NedaWickEdPath·
‘Please DON’T turn off your cell phone. Thank you!’ - Attended an amazing grand rounds talk by @KMirza @UABPathology ! An inspiring and insightful talk on my favorite topic #MedEd 📚 🔬! ‘Bricolage - a construction of whatever materials are at hand’ - let’s build #MedEd!
English
0
1
9
751
Neda Wick, MD retuiteado
UAB Pathology
UAB Pathology@UABPathology·
#UABCyto case by Dr. Mike Robinson: 55 y/o M. Right thyroid nodule (1.8cm) FNA: colloid and groups of round to polygonal cells w/ granular cytoplasm and round centrally/eccentrically placed nuclei. This is a follicular neoplasm, oncocytic type (formerly a Hurthle cell neoplasm).
UAB Pathology tweet mediaUAB Pathology tweet mediaUAB Pathology tweet mediaUAB Pathology tweet media
English
0
5
13
1.6K
Neda Wick, MD retuiteado
Craig Horbinski
Craig Horbinski@CraigHorbinski·
This might LOOK like a pilocytic astrocytoma, but it's actually piloid gliosis adjacent to an ependymoma. Tricky! #pathology #neuropath #PathTwitter
Craig Horbinski tweet media
English
4
48
190
11.3K
Neda Wick, MD retuiteado
UAB Pathology
UAB Pathology@UABPathology·
Our Division of Genomic Diagnostics & Bioinformatics announces a new next-generation sequencing comprehensive genomic profiling Solid500 test that identifies and delivers genomic signatures for tumor mutation and supports guideline-based therapy decisions. buff.ly/3XTG2tj
UAB Pathology tweet media
English
0
2
8
884
UAB Pathology
UAB Pathology@UABPathology·
Annoy a pathologist in one tweet. 🔬
Birmingham, AL 🇺🇸 English
66
28
95
55.9K
Neda Wick, MD
Neda Wick, MD@NedaWickEdPath·
@UABPathology Specimen: Endometrial biopsy Clinical history provided: “Female” Pathologist…🔬🤔: Hmm yes, this specimen is indeed consistent with a clinical history of “female” 👍🏼
English
1
0
10
482
Neda Wick, MD
Neda Wick, MD@NedaWickEdPath·
So excited for this new chapter @UABPathology !🔬Thankful for my training @UTSW_Pathology and especially thankful for my #neuropath family! 🧠 Couldn’t imagine a more fulfilling career than #pathology #neuropath #MedEd !
UAB Pathology@UABPathology

New Faculty Alert! @UABPathology is proud to announce the appointment of Neda Wick, MD, as assist. prof. in the Division of Neuropathology, effective July 1. Dr. Wick is poised to make significant contributions to the department's research & educational endeavors. Welcome to UAB!

English
0
1
29
2.4K