احمد
8.4K posts

احمد
@AB_drmd
الحساب يقدم معلومات طبية باللغة العربية 💎| متابعتك تشرفني 🤍 | المعلومات في الحساب ليست نصائح طبية ❌| أعتذر عن تقديم الاستشارات الطبية | للتواصل: DM
Topics arranged in Highlights Katılım Haziran 2023
308 Takip Edilen29.8K Takipçiler

✅الـ Lyme Disease هو مرض معدٍ ينتقل عن طريق لدغة قراد معين اسمه Ixodes Tick، واللي يكون حامل لبكتيريا اسمها Borrelia Burgdorferi، وهذا المرض منتشر بشكل أكبر في أمريكا الشمالية وأوروبا في المناطق الغابية والعشبية، والقصة تبدأ لما القراد يلدغ الإنسان وينقل له البكتيريا.
- أول علامة تظهر وهي الأشهر والأهم في التشخيص هي طفح جلدي شكله غريب ومميز جداً يسمى Erythema Migrans، وتخيل دايرة حمراء تكبر وتتوسع من مكان اللدغة وفي وسطها منطقة فاتحة اللون وحوالينها حلقة حمراء، يعني يطلع شكل عين الثور (Bull's-Eye Rash) بالضبط، وهذا الطفح يظهر عادةً بين ثلاثة أيام لثلاثين يوم بعد اللدغة، وفي نفس الوقت المريض يحس بأعراض تشبه الإنفلونزا من حمى وتعب وصداع وألم في العضلات والمفاصل، ولو ما اتعالج المريض في هذي المرحلة المبكرة، البكتيريا تبدأ تنتشر في الجسم وتدخل المرحلة الثانية.
- في المرحلة الثانية (Disseminated Stage) تقدر تأثر على القلب وتسبب ما يسمى Lyme Carditis وأخطر مضاعفاته إن يصير عندك Heart Block يعني الإشارة الكهربائية في القلب تتعطل وتبطأ، وكمان تأثر على الجهاز العصبي وتسبب ما يسمى Lyme Neuroborreliosis وتشمل التهاب السحايا (Meningitis) وشلل في عصب الوجه (Facial Nerve Palsy أو Bell's Palsy).
- في المرحلة الثالثة المتأخرة (Late Disseminated Stage) أشهر مضاعفاتها التهاب المفاصل المزمن (Lyme Arthritis) وأكثر مفصل يتأثر هو الركبة.
تشخيص المرض يكون في البداية سريري بالأعراض والطفح المميز، ولو احتجت تأكيد مخبري تطلب فحص اسمه ELISA وتأكده بفحص ثاني اسمه Western Blot.
أما العلاج ف يختلف حسب المرحلة، ففي المرحلة المبكرة وعند البالغين العلاج الأول هو مضاد حيوي اسمه Doxycycline لمدة عشرة لأربعة عشر يوم، وعند الأطفال دون الثماني سنوات والحوامل يُستخدم Amoxicillin أو Cefuroxime لأن الـ Doxycycline ممنوع لهم، ولو المرض وصل للجهاز العصبي أو القلب وصار عندك Heart Block شديد، العلاج يكون بمضاد حيوي وريدي (IV) اسمه Ceftriaxone لمدة أسبوعين لثلاثة أسابيع، وكذلك الـ Lyme Arthritis الشديد المقاوم يحتاج Ceftriaxone وريدي، والخبر الحلو إن لو اتشخص مبكر وأخذ المريض علاجه الصح، التعافي يكون تام في الغالب والمضاعفات تتجنب بالكامل.

احمد@AB_drmd
🚨🚨🚨ايش علاج مرض Lyme؟
العربية

✅الـ Apple Core Lesion هو مصطلح إشعاعي مشهور جداً يوصف شكل معين يظهر في صور الأشعة لما يكون عندك ورم خبيث في القولون أو المستقيم (Colorectal Carcinoma)، وتخيل معي حبة تفاح أكلت لبها وخليت بس اللب الأوسط فيها، هذا بالضبط وش يشوفه الدكتور في صورة الـ Barium Enema أو الـ CT Colonography، لأن الورم في هذي الحالة ما يكون نامي لبرا القولون بس، بل يلف نفسه حول جدار القولون من كل الجهات (Circumferential/Annular Growth) ويضيق التجويف الداخلي (Lumen) بشكل حلقي وتام، ف لما تحقن صبغة الباريوم في القولون وتاخذ الأشعة، تشوف إن منطقة معينة من القولون ضاقت فجأة بشكل حاد وتحولت من أنبوب واسع لتضييق شديد وقصير بأطراف متعرجة ومحدبة تشبه طرفي لبة التفاحة، وهذا الشكل بالذات هو العلامة التحذيرية الكبرى لأن هذا النوع من الأورام يسمى Stenosing Annular Carcinoma، ويكون قد دمر الغشاء الداخلي للقولون (Mucosa) وأحدث تقرحات (Ulcerations) على الأطراف وهذا اللي يعطي المظهر الخشن والمتعرج في الأشعة، والخطورة إن هذا التضييق الشديد يمكن يوصل لانسداد معوي كامل (Complete Bowel Obstruction) يحتاج جراحة طارئة، وأكثر مكان يظهر فيه هذا الشكل هو الـ Sigmoid Colon والـ Rectum، والمريض عادةً يجي بشكايات تعب من زمان مثل تغير في عادات التبرز (Change in Bowel Habits) ودم في البراز (Rectal Bleeding) وألم بطن وخسارة وزن، وهذا اللي يخلي الطبيب يطلب الأشعة ويلاقي هذي الصورة الكلاسيكية اللي ما تخطئها العين.

احمد@AB_drmd
🚨🚨🚨العلامة هذه تشوفها في اي مرض؟ A. Ulcerative colitis B. Colorectal carcinoma C. Crohn disease D. Intussusception
العربية

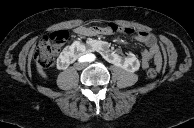
✅الـ Horseshoe Kidney هو تشوه خلقي يصيب الكلى، و فكرته ببساطة إن الجنين وهو لسا في بطن أمه وعمره بضع أسابيع، الكليتين بدل ما تصعد كل وحدة لمكانها الصحيح على اليمين واليسار، يلتصق طرفهم السفلي (Lower Poles) ببعض وتتحد وتكون شكل حدوة الحصان (U-Shape) وهذا هو اللي خلاهم يسمونها بهالاسم، والكلية الملتحمة هذي تبقى اوطى من مكانها الطبيعي لأن شي اسمه الـ Inferior Mesenteric Artery يوقف صعودها ويمنعها من إنها تكمل رحلتها لفوق، والنتيجة إن الكلية تتعلق في منتصف البطن قدام العمود الفقري.
الحين وش اللي يصير للمريض؟ كثير من الناس ما يحسون بأي شي وتُكتشف الكلية بالصدفة في أشعة، لكن المشكلة الرئيسية إن الـ Ureter اللي هو الأنبوب الناقل للبول يطلع من مكان غلط ويصير عنده انحناء أو انضغاط، وهذا يسبب ركود البول (Urinary Stasis) وبالتالي يرفع خطر تكون حصى الكلى (Nephrolithiasis) والتهابات المسالك البولية المتكررة (Recurrent UTIs) وحالة خطيرة اسمها Hydronephrosis وهي إن البول يتراكم ويضغط على الكلية ويورمها، وكمان المريض يكون أكثر عرضة لنوع من أورام الكلى اسمه Wilms Tumor خصوصاً عند الأطفال، والتشخيص يكون بالـ Ultrasound أو الـ CT Scan اللي يظهر فيه الشكل المميز لحدوة الحصان بوضوح.

احمد@AB_drmd
🚨🚨🚨ايش الpathology الموجوده في الاشعة؟
العربية

✅الطحال (Spleen) هو اللي يسمونه "بنك الدم" في الجسم، لأن هذا العضو الصغير اللي يشبه حبة الفول و يجلس في الجهة اليسرى من البطن تحت الضلوع مباشرة، عنده وظيفة خرافية وهي إنه يخزن كمية لا بأس فيها من كريات الدم الحمراء (Red Blood Cells) و كمان الصفائح الدموية (Platelets)، و لما يحتاج الجسم دم بسرعة، مثلاً في حالات النزيف أو الصدمة (Shock)، الطحال يضغط على نفسه و يطلق هالمخزون في الدورة الدموية فوراً زي ما تفتح خزينة البنك، و فوق هذا كله الطحال يشتغل ك مرشح (Filter) ينظف الدم من كريات الدم الحمراء القديمة و التالفة و يكسرها، و يطلع منها الحديد (Iron) و يرجعه للجسم عشان يستخدمه مرة ثانية في تصنيع كريات جديدة، و كمان عنده دور مهم في المناعة (Immunity) لأنه يحتوي على خلايا مناعية تسمى Lymphocytes و Macrophages تقدر تحارب البكتيريا، و لهذا اللي يخلي طحاله يُستأصل (Splenectomy) يصير أكثر عرضة للإصابة بالتهابات خطيرة خصوصاً من البكتيريا المغلفة (Encapsulated Bacteria) مثل Streptococcus pneumoniae.

احمد@AB_drmd
🚨وش العضو اللي يسمونه بنك الدم؟
العربية
احمد retweetledi

@You9F_ @IhabFathiSulima كل عام و انت بألف خير و صحة و سلامة دكتورنا الغالي 🙏🏻
العربية

@dryousef811 و انت و الاهل بألف خير و صحة و سلامة يارب. من السالمين و الغانمين 🙏🏻
العربية
احمد retweetledi
احمد retweetledi
احمد retweetledi

















