Albany IR

342 posts

Albany IR banner
Albany IR

Albany IR

@AlbanyIR

100% clinical IR. At the crossroads of innovation and creativity.

Albany, NY Katılım Ocak 2016
196 Takip Edilen2K Takipçiler
Albany IR
Albany IR@AlbanyIR·
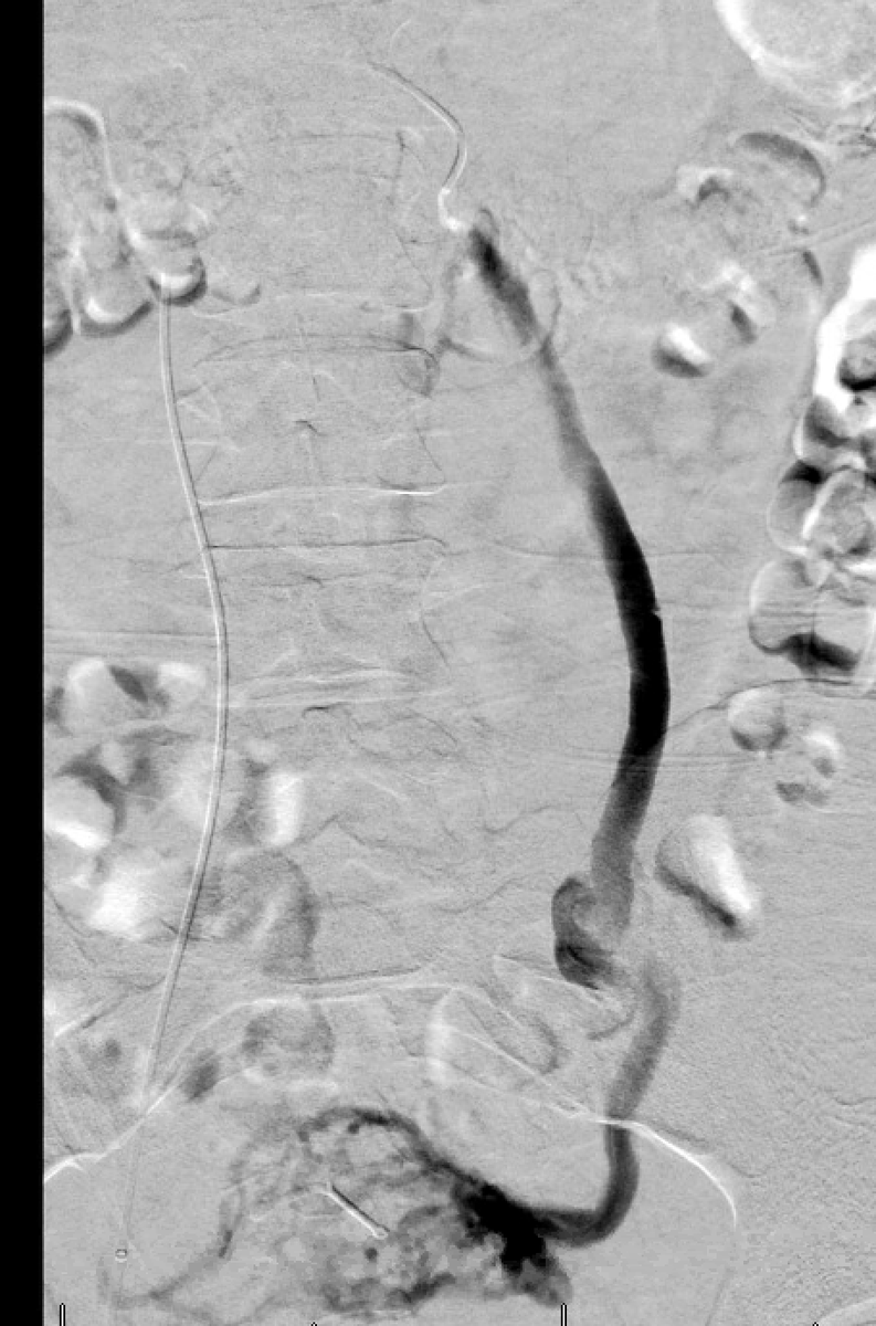
The day continued with a post renal biopsy bleed with active extravasation and a pseudoaneurysm, both of which were easily addressed with LAVA-18. Both patients are doing well after successful procedures. @SirtexMedical @thegestgroup
Albany IR tweet mediaAlbany IR tweet mediaAlbany IR tweet mediaAlbany IR tweet media
English
0
1
13
703
Albany IR
Albany IR@AlbanyIR·
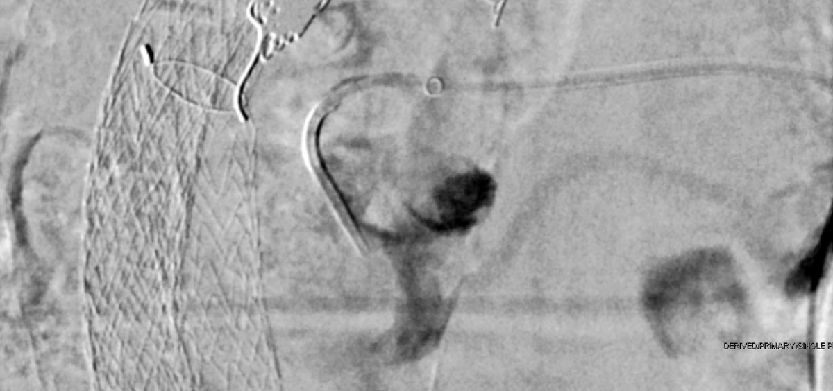
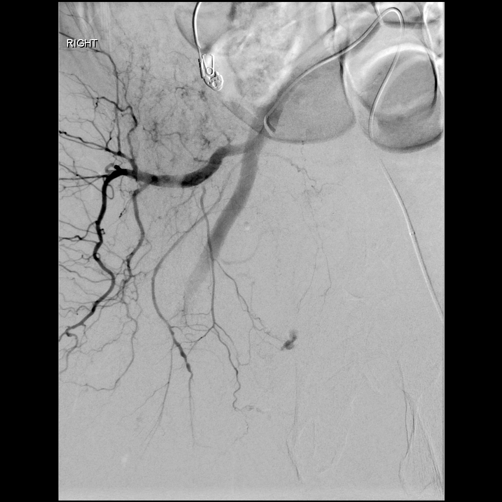
First day with LAVA-18 and it was quite the day. Our first case was a hypotensive patient with a pelvic fracture and active bleeding (with the LAVA coming off the delivery truck right to the angio suite and right into the patient). @SirtexMedical @thegestgroup
Albany IR tweet mediaAlbany IR tweet mediaAlbany IR tweet media
English
1
3
22
2.3K
Albany IR retweetledi
Albany Med Radiology Residency
Albany Med Radiology Residency@AlbanyMedRadRes·
Welcome to the team! Congratulations 👏🏻 👏🏻 👏🏻
Albany Med Radiology Residency tweet media
United States 🇺🇸 English
2
7
40
4.6K
Albany IR
Albany IR@AlbanyIR·
2 years status-post placement of a flow diverting stent to treat an enlarging splenic artery aneurysm. Aneurysm remains thrombosed, splenic artery patent. Great collaborative case with our neurosurgery colleagues. #IRad @SIRspecialists @SIRRFS @AlbanyIR @AMCNeurosurgery
Albany IR tweet mediaAlbany IR tweet mediaAlbany IR tweet mediaAlbany IR tweet media
English
0
4
27
0
Albany IR retweetledi
Ramkrishna Patel
Ramkrishna Patel@ramswishna·
Pelvic venous congestion/insufficiency...under-dx'ed source of pelvic and abdominal pain for women. This pt cried"happy tears" bc she had to fight for 3 years to get the diagnosis and get this procedure. Great post pic with sclerosant in the varices! @chrisrstark @AlbanyIR
Ramkrishna Patel tweet mediaRamkrishna Patel tweet media
English
0
3
9
0
Albany IR retweetledi
Ramkrishna Patel
Ramkrishna Patel@ramswishna·
Did a great endoleak case today @AlbanyIR with @gsiskin...enlarging sac with new type II leak on CTA. Coil embolized the outflow lumbar artery and filled the space with EVOH! Excellent education on the principles of different embolics and when to use them!
Ramkrishna Patel tweet mediaRamkrishna Patel tweet mediaRamkrishna Patel tweet media
English
1
3
31
0
Albany IR retweetledi
Bilal Arif, MD
Bilal Arif, MD@BilalArif001·
Found out I matched Radiology 4 days ago, today I found out I matched in INTERVENTIONAL RADIOLOGY in NY @AlbanyIR !!!!!!!
English
8
3
168
0
Albany IR retweetledi
Albany Med Radiology Residency
Albany Med Radiology Residency@AlbanyMedRadRes·
Beyond excited for our residents to step up for their covid vaccines this week. It’s all smiles under these masks for our Integrated IR residents. Thank you #science, #Pfizer, #Moderna 👏🏻🙏🏻
Albany Med Radiology Residency tweet mediaAlbany Med Radiology Residency tweet media
English
1
2
13
0