Sabitlenmiş Tweet
علي سعيد
2.2K posts

علي سعيد
@Ali9_saeed
طب وجراحة الفم والاسنان مع مرتبة الشرف🦷 First place Dean List 🥇
Messy. إنما الامم الأخلاق Katılım Ekim 2013
874 Takip Edilen422 Takipçiler
علي سعيد retweetledi

هل نحن امام كارثة وطنية أم واقع صادم ؟؟؟؟؟
- هناك اكثر من ٥٠٠٠ طبيب أسنان عاطلين عن العمل: من المسؤول؟
- بعض الأطباء مضى على تخرجه ٨ سنوات ولم يحصل على وظيفة حتى الآن: أين المسؤول؟
- هل من المعقول ان نرى اطباء أسنان يعملون في وظائف لا تليق بمن أمضى ٧ سنوات على مقاعد الدراسة: من المسؤول؟
- هل تم تطبيق قرار إعطاء طبيب الأسنان راتب ٩٠٠٠ كحد ادنى: اين المسؤول ؟
- هل هناك تحايل على هذا القرار بعمل عقد ملحق بنصف الراتب ودوام جزئي: اين المسؤول؟
- هل ما زالت الجامعات تخرج اطباء أسنان باعداد كبيرة سنوياً دون ايجاد وظائف شاغرة لهم : من المسؤول؟
- هل من الصعب ايجاد وظائف حكومية في كل القطاعات لاستيعاب هؤلاء الاطباء والطبيبات : اين المسؤول؟
- هل من الممكن انشاء مراكز وعيادات اسنان لهؤلاء الاطباء: من المسؤول؟
- هل وصلنا الى حد الاكتفاء من الحاجة الى طبيب الأسنان وقوائم انتظار المرضى تزداد يوميا : اين المسؤول؟
هل من مستمع ؟؟؟؟؟؟؟
هل من مجيب ؟؟؟؟؟؟؟
العربية

تأكد من الروابط الإلكترونيّة قبل تحجز موعد للفحص الفني الدوري .. جميع خدماتنا تقدّم من خلال منصة وتطبيق (سلامة المركبات) الرسمية.
vi.vsafety.sa
onelink.to/5ajjby

العربية

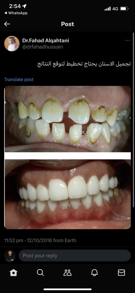
@drfahadhussain @Studioekhbariy دكتور من فضلك هل عملت هذه الحاله وانت استشاري ام وانت طالب ؟ نحتاج الخطة العلاجية كامله وسبب سلوك هذا النهج السهل و المادي المسمى لديكم ب "الابتسامات".
سلامي وشُكري للمعمل، الشيء الوحيد الواضح في الحاله هو شغله🫱🏻🫲🏽🫱🏻🫲🏽

العربية

كثرة الاخطاء في طب الاسنان
قلة الاطباء المؤهلين
ارتفاع اعداد الخريجين الباحثين عن عمل @Studioekhbariy لقاء
العربية

@drfahadhussain @Studioekhbariy اعتقدالسبب واضح جدا وماهو الا جشع وخوف على عيادتك الخاصه التي لايوجد فيها سعودي الا انت.انا طبيب سعودي حديث تخرج من جامعة سعوديه ولي سنه كامله الان في القطاع الخاص ودخلي متاكد يفوق دخلك انت والبشوات الي معاك والحمدلله بجودة وبدون اي شكوى و-بما يرضى الله-😉اعطي دورات متقدمة برضو😂

العربية

@abdulhamid_199 Palatal root of the Max first molar is the root most often displaced into the antrum.
English

@Ali9_saeed الف مبروك يا دكتور علي
الله يسهل لك امورك ويتمم لك على خير
العربية


@Ali_hani97 الله يبارك فيك حبيبي د علي، شكرًا لك حبيبي لدعمك ودعواتك دايمًا 😍❤️❤️
العربية

@Ali9_saeed الف مبروك د. علي، فخورين فيك و عقبال القبول النهائي 😍❤️❤️
العربية

@Ali9_saeed الف الف مبروك
لا تفوتك النصائح التالية للمقابلة الشخصية في البورد
twitter.com/alhadab/status…
فيصل الحدب@alhadab
لا تروح المقابلات الشخصية في #Matching2023 بدون ما تشوف هذا الفيديو ‼️ مهم جداً . #البورد 🔴 #ماجستير #المقابلات_الشخصية 🔴
العربية

@F_Almughalliq الله يبارك فيك د. فاطمة، وبالتوفيق لك ان شاء الله 🙏🏻
العربية

















