Alicia Núñez Abreu, MD🔬🇩🇴 retweetledi
Alicia Núñez Abreu, MD🔬🇩🇴
5.5K posts

Alicia Núñez Abreu, MD🔬🇩🇴
@Alipathy
🔬#Pathologist @HospitalHOMS @hospitalCabral5 #Renalpathologist #ElectronMicroscopy #Professor @PUCMM
Santiago, Dominican Republic Katılım Temmuz 2010
1.1K Takip Edilen2.2K Takipçiler
Alicia Núñez Abreu, MD🔬🇩🇴 retweetledi

Love this beautiful chorus of a song by my daughters' favorite singer #oliviarodrigo
The things I did
Just so I could call you mine
The things you did
Well I hope I was your favorite crime
English

@WillyFogPath @edusqo A mí no me gusta lo que hay para cenar 😂
Español

@sijiezheng @SethiRenalPath Not sure about it but I bet HT is causing the TMA.
Great pictures by the way, thanks for sharing.
English

@SethiRenalPath Is TMA causing malignant HTN or vice versa in this case?
English

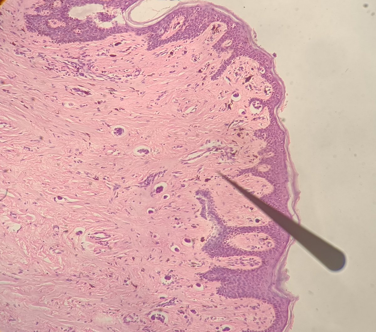
Just posting this beauty find in an ovaric teratoma. Not rare but cutie for a sunday morning.#pathology #teratoma

English

@Kenny92954457 Cervicitis crónica quística polipoide?
Español


@Histopatolomon @KMirza @nucleololailo @edusqo @DraEosina @HermelinMD @tlabiano @angelpanizo1 @luishcruzc Gracias Pascual. De hecho, días más tarde vi más cortes donde hay ductal infiltrante nottingham 2 en relación a esta lesión de areola. Increíble como resultan las cosas. 🤗
Español

@Alipathy @KMirza @nucleololailo @edusqo @DraEosina @HermelinMD @tlabiano @angelpanizo1 @luishcruzc Sí, Paget, ten en cuenta que hay invasión. Esta puede venir desde la epidermis hacia la dermis, el tumor en la epidermis sería in situ y desde ahí invade la dermis. Es un Paget invasivo. Hay que descartar que la dermis esté invadida por tumor infiltrante profundo directamente.
Español

Hello #pathtweeplers do you think this breast ductal carcinoma has pagetoid invasion? Thoughts please. #breastpathology #pathology #ductalcarcinoma @Histopatolomon @KMirza @nucleololailo @edusqo @DraEosina @HermelinMD @tlabiano @angelpanizo1 @luishcruzc



English

@Histopatolomon @KMirza @nucleololailo @edusqo @DraEosina @HermelinMD @tlabiano @angelpanizo1 @luishcruzc Es areola 🤗
Español

@Alipathy @KMirza @nucleololailo @edusqo @DraEosina @HermelinMD @tlabiano @angelpanizo1 @luishcruzc ¿Es areola o pezón?
Español

@OGdukeneurosurg Impressive. Please share pathologist diagnosis.
English

@yro854 @ParasiteGal @Histopatolomon @luishcruzc @kriyer68 @edusqo @JMGardnerMD @KMirza @nucleololailo @TristanRutland7 @smlungpathguy @CArnold_Coach Thanks so much dr Yale!
English

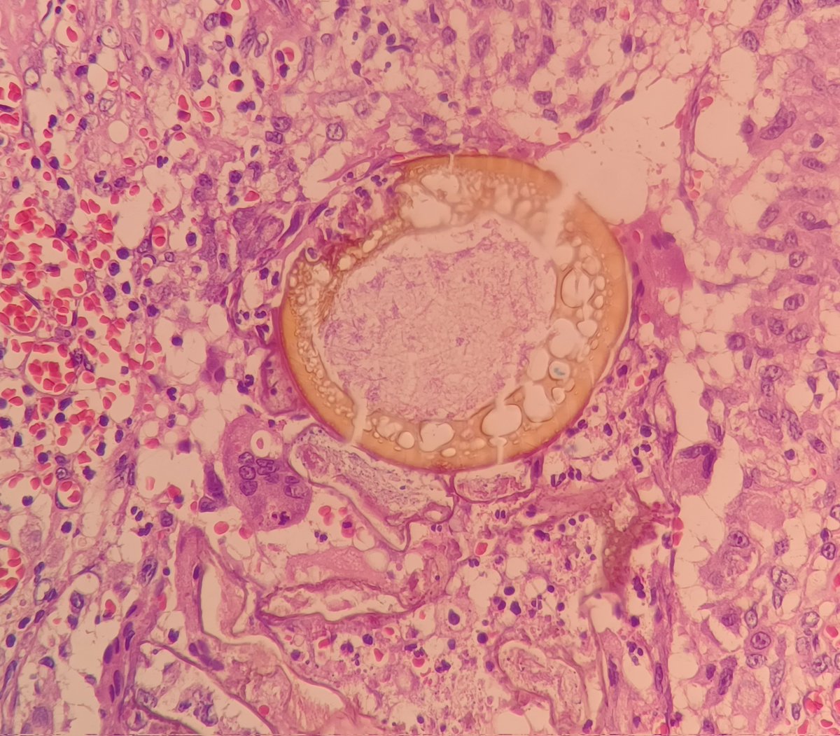
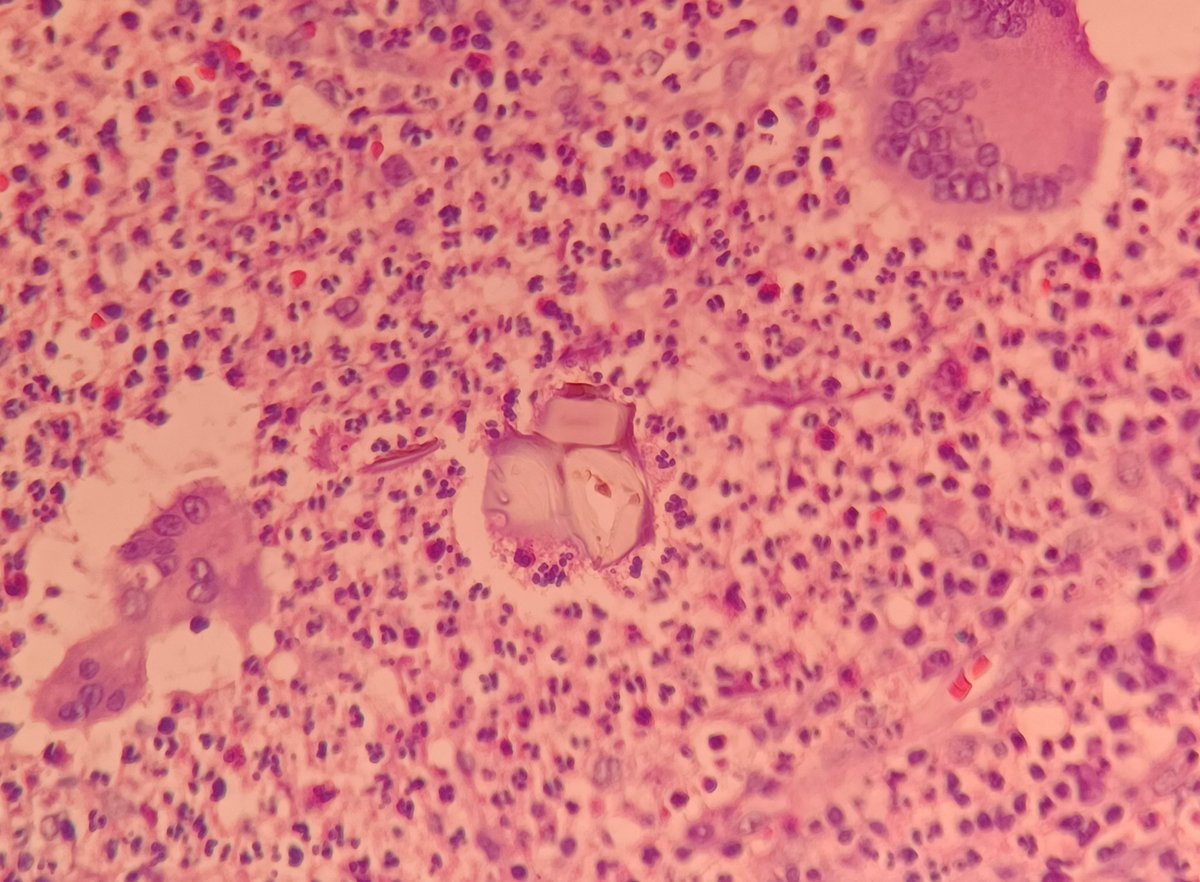
@Alipathy @ParasiteGal @Histopatolomon @luishcruzc @kriyer68 @edusqo @JMGardnerMD @KMirza @nucleololailo @TristanRutland7 @smlungpathguy @CArnold_Coach Food material, probably a seed. 3rd image shows crystalline material. These structures together with severe inflammation strongly suggest GI perforation.
English

Sigmoid mesentery. What are your thoughts? Do you think is a parasite? What kind? @ParasiteGal @Histopatolomon @luishcruzc @kriyer68 @edusqo @JMGardnerMD @KMirza @nucleololailo @TristanRutland7 @nucleololailo @smlungpathguy @CArnold_Coach #parasite #parasitology




English

@Histopatolomon @ParasiteGal @luishcruzc @kriyer68 @edusqo @JMGardnerMD @KMirza @nucleololailo @TristanRutland7 @smlungpathguy @CArnold_Coach Thanks Pascual. I Was thinking about parasite but surely it could be a vegetable.
English

@Alipathy @ParasiteGal @luishcruzc @kriyer68 @edusqo @JMGardnerMD @KMirza @nucleololailo @TristanRutland7 @smlungpathguy @CArnold_Coach This appears to be pigmented food material, probably vegetable, with acute inflammation and giant cells, suggesting perforation of a diverticulum.
English

@Alipathy @ParasiteGal @Histopatolomon @luishcruzc @kriyer68 @edusqo @JMGardnerMD @KMirza @nucleololailo @TristanRutland7 @smlungpathguy @CArnold_Coach I would have guessed fecal material in a ruptured tic. Maybe plant seed.
English















