André Poci
71 posts

André Poci
@AndrePoci
🇧🇷 Vascular & Endovascular surgeon , Aortasurgery lover / father and husband / mountain biker 🚵🏼
Sorocaba, Brasil Katılım Eylül 2019
161 Takip Edilen258 Takipçiler

FEVAR with Diameter Reducing Ties plus 4 preloaded through-and-through wires for a small lumen case. Access from above. #AortaEd @gracemulatti @paulomenezesf @cfbechara @fonseca_alan5 @AndrePoci

English

70 y, male, symptomatic splenic artery aneurysm. Open surgery, uneventful. Minimal bleeding. #vascularsurgery #oldfashionsurgery #tothebucket #aneurysm


Sorocaba, Brasil 🇧🇷 English

@farkomd In fact, embolization would be my first option, but the patient had abdominal pain, and the public system did not have coils available in the hospital. We ended up doing the best with the resources we had.
English

This is a spleen attached to a splenic artery aneurysm. Treatment could’ve been done with coils leaving the spleen in the body, the aneurysm excluded and a major operation avoided IMHO
André Poci@AndrePoci
70 y, male, symptomatic splenic artery aneurysm. Open surgery, uneventful. Minimal bleeding. #vascularsurgery #oldfashionsurgery #tothebucket #aneurysm
English

@FurquimThyago @vinesteves @cleversonzuk @w_jyg @KPujdak @evandrofilhobr @sbhci @acasatavi 👏🏼👏🏼👏🏼👏🏼👏🏼
QME

This was a special case. Retired cardiologist! 95y! Didn’t want any intervention till becomes symptomatic! Minimalist aproach! Now he will get to 100y! Tks to my friend @vinesteves that help us! @cleversonzuk @w_jyg @KPujdak @evandrofilhobr @sbhci @acasatavi
Itu, Brasil 🇧🇷 English
André Poci retweetledi

48y, ílio-popliteal dvt, symptomatic. angiographic control after ClotTriever. No thrombolytic, no cti needed. @InariMedical


Sorocaba, Brasil 🇧🇷

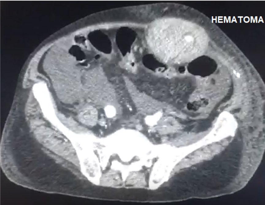
Embolization of the inferior epigastric artery in a huge abdominal wall hematoma caused by paracentesis in a patient with liver cirrhosis.
#MedTwitter




English

@AndrePoci Congratulations! Beautiful neck. Diseased bifurcation. Tube or bifurcated?
English

@seleno_glauber We were able to do the infrarenal clamping, it was a stable paciente non rupted.
Sorocaba, Brasil 🇧🇷 English

@AndrePoci Did you achieve a infrarenal approach at first attempt or begun with a supraceliac clamping?
PS: I’ve never seen such a left kidney displacement. Amazing.
English



















