AZPath retweetledi

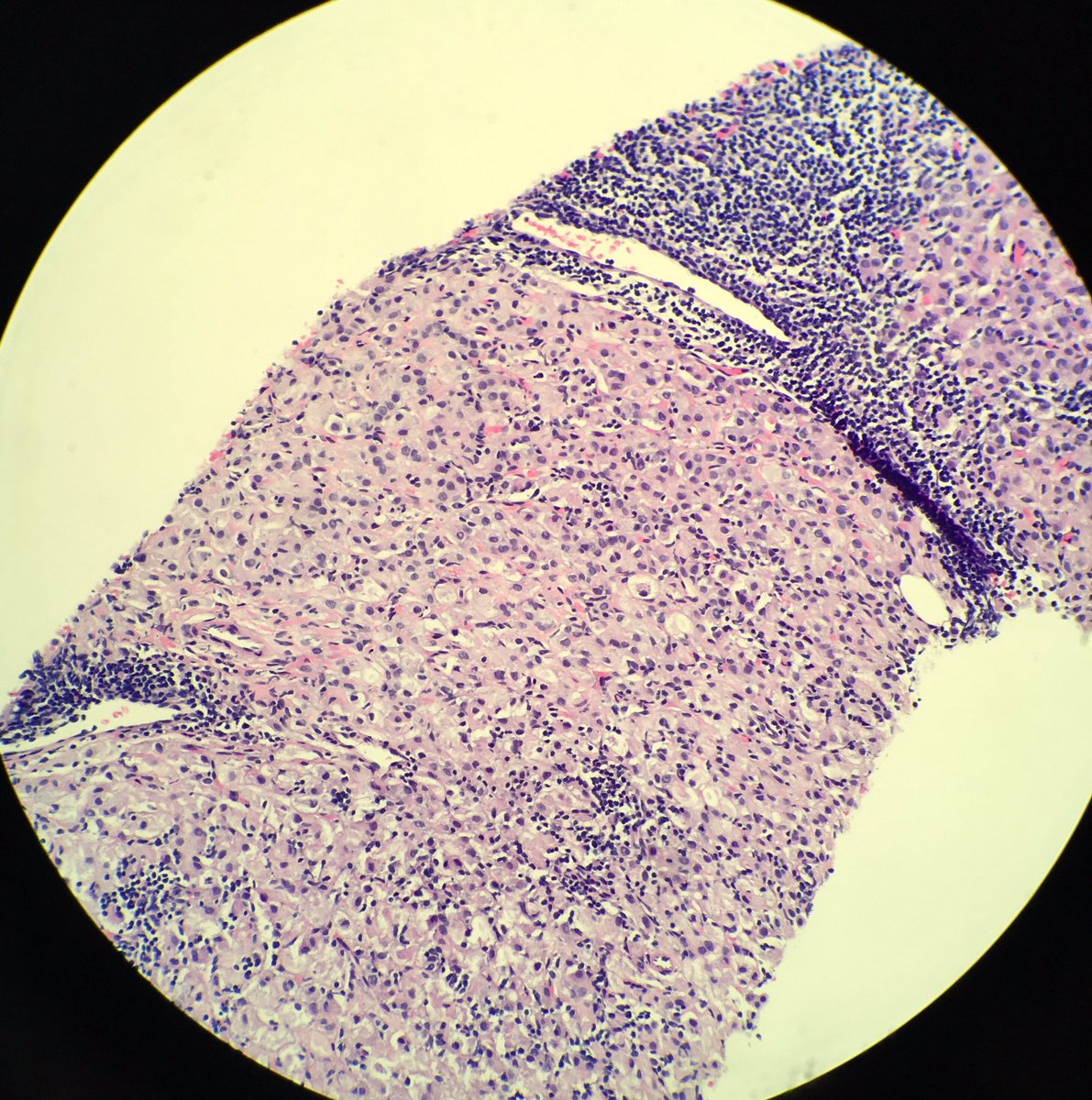
71 yo fem w/ remote hx of breast ca, now w/ enlarged axillary LN. Bx shows tumor cells w/ abundant foamy, pale, eosinophilic cytoplasm, indistinct cell borders, and mild atypia. CK7(+), GATA3(+), e-cad(-)
DX: metastatic lobular carcinoma, histiocytoid variant
#breastpathology




English









































