
Aron Flagg, MD
835 posts

Aron Flagg, MD
@AronFlaggMD
Pediatric hematologist/oncologist excited about transplant, leukemia, infectious diseases, and how they all intersect. Opinions are my own.
New Haven, CT Katılım Ocak 2016
276 Takip Edilen614 Takipçiler

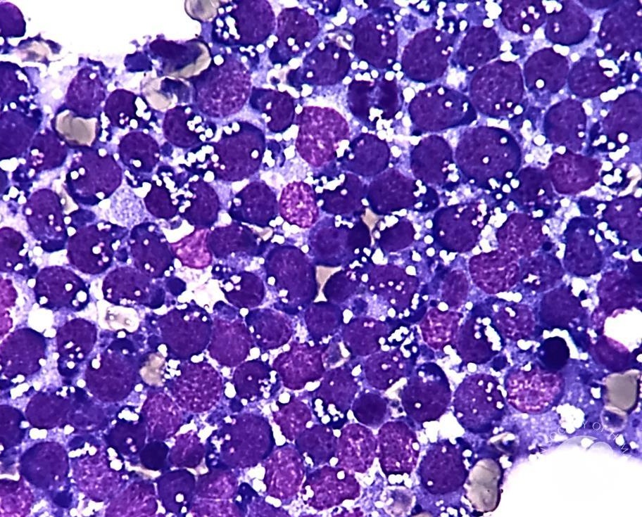
@nihardesai89 @ASH_hematology @drsanjeev1980 @DrAkhilX @GonzaloBentoli1 Would not call this starry sky on marrow aspirate, but classic L3 morphology cells c/w Burkitt leukemia. Confirm with flow cytometery and FISH for MYC transloc. Features of tumor lysis syndrome, check uric acid. Rasburicase, aggressive fluids, correct electrolytes, chemotherapy.
English

A 28-year old man, presents with 2 weeks of high grade fever + weight loss + abdominal pain 😭
Labs show ⤵️Hgb, ⤴️ WBC, ⤴️creatinine, ⤴️LDH, ⤴️K.
Bone marrow 👇🏽
Diagnosis?
Management?
📸 @ASH_hematology image bank

English

Great talk from friend and colleague Juan Vasquez about his lab’s work in targeting Krebs cycle oncometabolites in cancer. @YalePediatrics Grand Rounds. @YaleCancer @YaleMed @YaleMedicine

New Haven, CT 🇺🇸 English

Way to go, Justin!
Tommy Fund@TommyFundCT
The @TommyFundCT presented Justin Gardner, MEd School Support Coordinator with a generous grant to fund two @Yale student interns to support the educational needs of patients unable to attend school while in treatment. Supply resources for the interns were also donated.
Madison Center, CT 🇺🇸 English

@MayoClinicINFD You had me at chitterlings 💜 #randoIDbuzzwords
English

Are you even a hematologist if you aren’t circulating the arteries of the hospital in a RBC costume? I might have an increased zone of central pallor and poikilocytosis - time to stock up on iron! @YalePediatrics @YaleMed @YaleCancer @YNHH #HalloweenHematologist #Halloween

Madison Center, CT 🇺🇸 English

@StefThomasMD I continue to propose someone (not me) should open up a splenomegaly and/or eosinophilia clinic for all these things that are almost always not hem/onc problems
Madison Center, CT 🇺🇸 English

@acweyand GVHD + leukemia relapse is always a tough one too 😕
English

@GomezDLeonMD @CIBMTR Thanks for the acknowledgment! It has been quite interesting to see how this area has evolved.
English

HCT for SCD in US from 1991-2020 @CIBMTR. Main reason for #BMTsm recurrent VOC since 2012 instead of stroke. Alternative donors on the rise, 44 asymptomatic patients. #Tandem23 378 @AronFlaggMD



English

Really proud of our @YaleMed @YalePediatrics Peds BMT team (@LakshmananKris7, Niketa Shah, and stellar resident Rohaum Hamidi) for a whopping *5* posters at #Tandem23 focusing on #bmtsm for #SickleCell!

English

Will #Tandem23 finally answer this most important question…
Florida, USA 🇺🇸 English

@DrOliverKaram @YalePediatrics @mnellismd @Cornell @BloodNet_PALISI @EcmoPedi @PALISInet Congrats - great news!
English

Thank you @YalePediatrics for your tremendous support! This award will allow us to make a huge difference in the care we provide! And it is such a pleasure to work with @mnellismd from @Cornell, as well as @BloodNet_PALISI , @EcmoPedi and @PALISInet
Yale Pediatrics@YalePediatrics
.@DrOliverKaram, Nellis, Receive R34 Award for Platelet Transfusion Strategies Pilot Study m.yale.edu/7p57
New Haven, CT 🇺🇸 English

This nicu nurse is spot on.
Dr. Glaucomflecken@DGlaucomflecken
Hanging out with the neonatologist
English

@vSYMPHONY_med @KayleenABailey @adit_tal @DrSMoerdler @PrakashSatwani1 @Jennife65973172 @clotnophobia @gabe_robbins Great to see you here!
English

WELCOME TO OUR TWITTER ACCOUNT
🩸🦠The mission of v-SYMPHONY is to enhance the fellowship experience among the NY/NJ/CT Pediatric Hematology/Oncology Departments!
🩺 Members: @KayleenABailey @adit_tal @DrSMoerdler @PrakashSatwani1 @Jennife65973172 @clotnophobia @gabe_robbins

English

Definitely not me up late leveraging time zone differences to get my #ASH22 abstract in 😬 🤷🏻♂️
GIF
English




