Tamer Sweed

730 posts

Tamer Sweed

Tamer Sweed

@BhamKneeDoc

Consultant Trauma & Orthopaedic Knee Surgeon. Knee sports l Knee arthroplasty l Trauma (all views are my own)

Birmingham, England Katılım Aralık 2009
494 Takip Edilen428 Takipçiler
Tamer Sweed retweetledi
Tamer Sweed
Tamer Sweed@BhamKneeDoc·
@hkady77 كل سنة وانت طيب يا حاتم عيد مبارك
العربية
0
0
0
13
ICU PHARAOH
ICU PHARAOH@hkady77·
عيد مبارك على الامة الاسلامية ، اللهم أعز الإسلام والمسلمين Eid Mubarak for all Muslims worldwide
ICU PHARAOH tweet media
العربية
1
0
1
44
Andy Metcalfe
Andy Metcalfe@AndyMetOrtho·
👏👏👏🎉🎉🎉 @ChetanKhatri2 for successfully defending his PhD thesis @WarwickCTU on Monday! Many thanks to @MarionKCampbell and Jon P Evans for excellent examining. I failed at the basic task of getting a pic so figured a cat meme had to be the next best thing
Andy Metcalfe tweet media
English
3
4
39
5.4K
Tamer Sweed
Tamer Sweed@BhamKneeDoc·
@Davembmd Applies to so many things in medicine. In the end of the day when things go wrong someone needs to be blamed. One challenge to be faced when using AI as this question will be there. Who to blame if the AI made a wrong report or diagnosis 😊
English
1
1
1
126
Howard Luks MD
Howard Luks MD@hjluks·
Orthopedic Truths #4 The ACL: The ACL is important for some people to remain active. Others tolerate its loss very well. ACL tears are too common in sports. ACL tear prevention programs exist... they work, yet community/ school sports don't utilize them. ACL tears are more common in athletes participating in the same sport year-round. ACL surgery, despite years of research and practice, remains an imperfect solution to a complex problem. Do all ACL tears require surgery? No But yours might. Your child should probably have it. It's the secondary injuries we worry about. What about adults? Many do fine without ACL surgery. Some don't. But it often pays to wait and see. Everyone's knee feels unstable initially. Very often, that stability improves with time and physical therapy. Therefore, for adults, you might want to wait before booking that surgery date. Why is the surgery an imperfect solution? Because the native ACL isn't a straight, single-diameter structure, but our reconstruction is. Secondary injuries can include meniscus tears and cartilage injuries. Those will increase the risk of developing arthritis. The history of reconstruction is wild... and somewhat circular. Back in the 80's and 90's we argued about which graft worked well. We still have those arguments. Now, we added the quad tendon graft to the argument. Would I take hamstrings from a sprinting athlete... no, not really. Am I a quad enthusiast? Not yet. When the MOON group announces their data, then I might. But it took 20 years for that to come out for hamstrings vs BTB. BTB remains the gold standard... and will for a while. But we tried Goretex. We tried other things, too. Those didn't end well. Oh. We have this scope thing. Let’s keep reconstruction via one tunnel. Evolution be damned. The ACL has had the same femoral footprint (attachment) for millions of years. But heck. Let’s put that tunnel here. It worked for some... but many failed. We tried to repair them, but they failed. We developed tools to place the ACL where nature intended it. But going too distal seemed to increase the risk of re-rupture, too. Now we cheat a little back up the wall on the lateral condyle. We tried reconstructing both bundles—certainly, that would work better. I tried them, too, but that didn't work. Fixation... we need screws. The metal screw worked very well. It was predictable and easy to remove. Oh.. I hate seeing screws on the x-ray. Let’s use these awesome bioscrews. Wow…, I haven’t seen a cyst that big before 😩 Sadly... those screws dissolved the bone around the graft, too. Then, we devised some wild, stupid ways to secure the graft that make revision surgery challenging. Thankfully, most of those are gone now. Along the way, we thought we would save our patient's tissue by using cadaveric tissue or allograft. There were disease-spreading issues early on. But that got better. Oops... they fail very often in kids. We don't use them in kids anymore. We can use them in adults. (But your own tissue is better.) Hey... It's been 30 years, so let's repair them again. That still didn't work. Hey... let's put this little sponge in the repair. Okay... That might work... the jury is still out on this. "ACL tears never heal without surgery." But it appears that they do! Enter the cross-brace protocol. It's annoying for the patient. It doesn't pay the surgeon as well. But it appears to work. For some. The jury is still out. More research is needed. But... ACL tears can heal. Rehab. “I let my patients return to sports in 6 mos”. 🙄. Just don't! Don’t mess with the biology of healing. Kids should wait 12-24 mos to return to sports. I don't think that most parents understand the recurrent tear rate. Most kids I see out there are not properly/fully rehabilitated after surgery. It's hard when our lovely insurance companies approve 8 PT visits for an ACL patient. Multinational/well-researched protocols exist for the rehab of an ACL athlete. But they're not used often. Ah... this messy little ligament has generated reams of "research" over the years. Much of it is nonsense, but some solid data exists. The controversies around how to manage these athletes persist. I would have thought we would have been further along, but here we are. Stay tuned... I imagine we are still having the same conversations in 20 years. Ask your school to implement ACL tear prevention programs.
English
79
164
933
228.2K
Tamer Sweed
Tamer Sweed@BhamKneeDoc·
@DrJN_SportsMed May benefit from lateral facetectomy, but needs a frank discussion about expectations
English
1
0
1
975
James Noake
James Noake@DrJN_SportsMed·
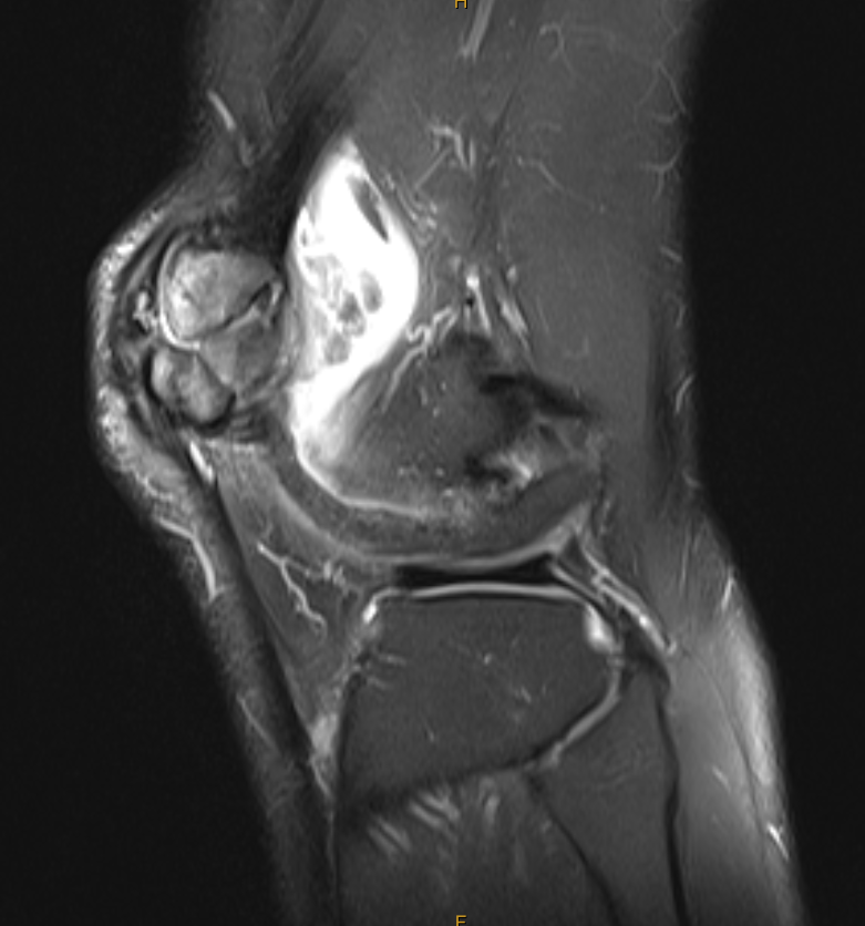
Consent ✅ High level squash player Left superolateral (retro) patella knee pain Lunge, jump, short sprint bursts 🧎‍♂️🧎‍♂️ Now stairs, sitting, night pain Always had "knobbly knees" 😆 Xray & MRI - complex type 2 bipartite patella ('tripartite'), increased TTTG ++, lateral drift, dysplasia Oedema across the bipartite synchondrosis & lesser patella moieties Severe lateral patella chondropathy & synovial thickening / inflammation ....therefore multiple potential pain drivers
James Noake tweet mediaJames Noake tweet mediaJames Noake tweet mediaJames Noake tweet media
English
7
5
46
13.2K
Usman Ahmed 🦴🔨
Usman Ahmed 🦴🔨@OrthopaedicOz·
It’s amazing that since @dimplesticks left my kids have been as much of an inspiration & source of strength for me as I have been for them. Eid Mubarak everyone
Usman Ahmed 🦴🔨 tweet media
English
14
1
168
10.9K
Dr. Pablo Gelber
Dr. Pablo Gelber@doctorgelber·
Two common knee conditions that are not seen that often together ACL & MPFL Have you personally faced many?
English
28
66
397
62.6K
Dr. Edward Oates
Dr. Edward Oates@traumaticum·
One for the Brains Trust... why did this fail and what would you do differently? mid 50s male, industrial fall from a height, isolated extremity injury, NV intact, closed. Large and heavy chap. Failed at 5 weeks. more ⬇️ #orthotwitter #orthoX #orthopedics #orthopedics
Dr. Edward Oates tweet mediaDr. Edward Oates tweet media
English
26
7
79
39.7K
Tamer Sweed
Tamer Sweed@BhamKneeDoc·
@kneeguyuk Agree. My first reaction was wow how didn’t he snap his ACL 😊
English
0
0
1
59
Tamer Sweed
Tamer Sweed@BhamKneeDoc·
@OrthopaedicOz @Davembmd I had a funny experience. I went to the innovation department in a trust I worked many years ago with a design for an instrument, they said o course but it will ours. It was a rediculous joke I never told them what it was and got produced somewhere else 😊
English
0
1
2
326
Usman Ahmed 🦴🔨
Usman Ahmed 🦴🔨@OrthopaedicOz·
@Davembmd Very true. The NHS policy is pretty much similar after a couple of innovations were lost. I can understand some ownership if they are facilitating development, but no ownership if the hospital does nothing
English
1
0
2
59
Dr. Edward Oates
Dr. Edward Oates@traumaticum·
previously it was running a version of 3.5-turbo, which offers fast (and more affordable) processing, but has a clunky and somewhat disconnected data synthesis. it has been bugging me for a while knowing that 4.0 (beta) does a far better synthesis, but i couldnt financially justify giving that processing power away for free. but to hell with it. the power is there to create really good quailty reviews. the price issue will sort itself out long term
English
1
0
2
240