

Broad Institute
15.1K posts

@broadinstitute
A multidisciplinary community of researchers on a mission to improve human health.






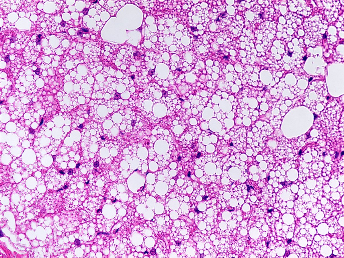
🧵 Introducing SpatialFusion: a lightweight #multimodal #FoundationModel for pathway-informed spatial #niche mapping. 📄 doi.org/10.64898/2026.… It combines #histopathology and #SpatialTranscriptomics to identify functional microenvironments in tissue. Here’s what we found 👇





Join us March 18 at 6PM ET in Cambridge, MA (or online) for a Broad Discovery Series talk with Heidi Greulich and Matthew Meyerson, “The story behind a new therapy for lung cancer patients.” Register: broadinstitute.swoogo.com/Discovery26















Join us this Tuesday, February 24 at 6PM ET in Cambridge, MA (or online) for a Broad Discovery Series talk with Heidi Greulich and Matthew Meyerson, “The story behind a new therapy for lung cancer patients.” Register: broadinstitute.swoogo.com/Discovery26



