Cathy Bonham

70 posts

Cathy Bonham banner
Cathy Bonham

Cathy Bonham

@CathyBonham

Physician, Mom, Scientist. Interested in sarcoidosis, immunity and pulmonary fibrosis. Thankful for every breath! My tweets are my own.

Charlottesville, VA Katılım Mayıs 2017
262 Takip Edilen206 Takipçiler
Cathy Bonham
Cathy Bonham@CathyBonham·
@snyder_md @AMWADoctors Pulm crit, 4 kids 1. pump on commutes 2. buy extra parts don't bother cleaning @ work 3. ask for room w computer + phone. if no ask female faculty how they did it. they will help you. 4. partner feeds YOU + washes parts 5. go to bed early while partner feeds pumped bottle
English
0
0
0
91
Cathy Bonham retweetledi
FSR
FSR@StopSarcoidosis·
Join us on June 8 for The Heart of Sarcoidosis: Forging the Path One Beat at a Time, CME. Engage with leaders in the field and expert panelists as they dissect the complexity of cardiac #sarcoidosis. The event is free of charge. Learn more and register: loom.ly/_W7ppm0
FSR tweet media
English
0
4
17
5.1K
Cathy Bonham retweetledi
Divya C. Patel
Divya C. Patel@DivyaCPatelDO·
Love this group of lovely colleagues and friends! If you are in training and considering career options, join the #sarcoidosis team. We have mentorship and collaboration from all over the world.
English
2
2
13
1.7K
Cathy Bonham
Cathy Bonham@CathyBonham·
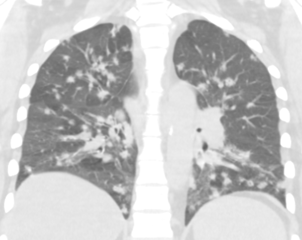
@jonherochung I find that patients with this distribution of airway-predominant disease due to sarcoidosis are the ones who become very exercise limited in longitudinal follow up - and harder to treat. Clinically can be very different vs. upper lobe distributive sarc. Great image Jonathan!
English
1
0
4
123
Cathy Bonham retweetledi
Jonathan Chung, MD
Jonathan Chung, MD@jonherochung·
A reminder that sarcoidosis can primarily affect the airways. In this case, there is florid air-trapping and peribronchial nodules and bronchial wall thickening.
Jonathan Chung, MD tweet mediaJonathan Chung, MD tweet media
English
3
8
39
2.8K
Cathy Bonham
Cathy Bonham@CathyBonham·
Thanks to UVA facilities for making our #BlueUp4PF dreams come true....@UVA_PCCM Capped off our 4th Annual #PulmonaryFibrosis patient conference this weekend with a cool looking blue hospital! @PFFORG
UVA Health@uvahealthnews

This weekend, the south tower of UVA Medical Center is illuminated in blue as we host our annual #PulmonaryFibrosis patient education conference. Pulmonary fibrosis, which causes lung scarring, is the number 1 reason why people need a lung transplant. @PFFORG #BlueUp4PF

English
0
3
15
0
Cathy Bonham retweetledi
Kyle B. Enfield MD FCCM FSHEA
Kyle B. Enfield MD FCCM FSHEA@KBEnfieldMD·
Coming to a pubmed search near you, work by @UVA_PCCM's Dr.s Kadl, Sommerville, Sturek, and @CathyBonham (among others) looking at transcription signatures that correlated with disease severity. A labor of love during a very difficult time.
Kyle B. Enfield MD FCCM FSHEA tweet media
English
1
2
22
0
Cathy Bonham retweetledi
Madison Carter
Madison Carter@madisonlcarter·
Pearly Young, 77, was killed today in #Buffalo shopping for groceries. For 25 years she ran a pantry where every Saturday she fed people in Central Park. Every. Saturday. She loved singing, dancing, & being with family. She was mother, grandma, & missionary. Gone too soon 🕊
Madison Carter tweet media
English
5.1K
57.8K
267.4K
0