Sravan CPS retweetledi

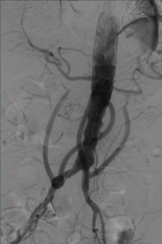
A 62/M COPD pt with Type 5 TAAA under went Hybrid TEVAR. Link for surgery in this link -youtu.be/cVKjV5J8YFk
#aortEd @PrajnaKota @Vascular_India @vascularsrgn

YouTube




English
Sravan CPS
688 posts

@CpsSravan
Asst Prof in Vascular Sx SJICR, NUH Singapore Fellow, JIVAS Vascular resident, music lover & gamer









This organ is going to be replaced. Retroperitoneal exposure. First branch superiorly, the left renal artery. The IMA has been clipped and divided. Good exposure through small flank incision. #AortaEd






































