

Keith Stockerl-Goldstein, MD 😷
46K posts

@CyclingDoctor
Washington U. School of Medicine. Assoc Director Hem/Onc Fellowship. Myeloma, Amyloidosis, Leukemia, Lymphoma & BMT physician and researcher. Tweets are my own.






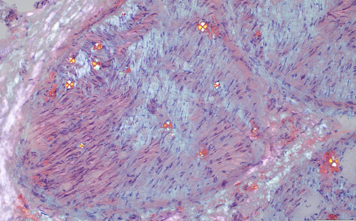
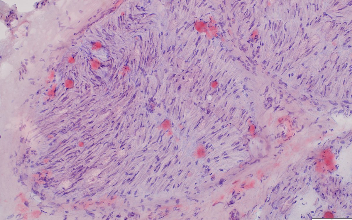
The Phase III CARES trial of #anselamimab in #ALAmyloidosis did not meet its primary endpoint, but showed clinically meaningful benefit in a predefined high-risk subgroup. More details to follow at upcoming meetings. @BU_Amyloidosis astrazeneca.com/media-centre/p…





Congratulations to one our outstanding @WashUHemOncFell Emily Podany @podanymd on the publication of her article "Racial Differences in ctDNA Profiles, Targeted Therapy Use, and Outcomes in Metastatic Breast Cancer" in @JAMANetworkOpen @WashUOncology jamanetwork.com/journals/jaman…


Last year, $9B of the $35B that the National Institutes of Health (NIH) granted for research was used for administrative overhead, what is known as “indirect costs.” Today, NIH lowered the maximum indirect cost rate research institutions can charge the government to 15%, above what many major foundations allow and much lower than the 60%+ that some institutions charge the government today. This change will save more than $4B a year effective immediately.








