Matthew Koff PhD
118 posts

Matthew Koff PhD
@DrBiomech
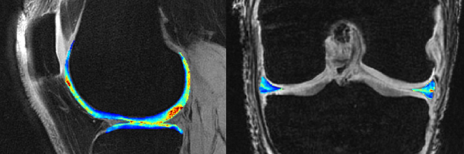
Associate Scientist @ Hospital for Special Surgery. Biomedical engineer doing MSK MRI for meniscus, cartilage, ligament, and total joint replacement.























⚠️ Deadline Tomorrow ⚠️ Volunteer to be on an ORS Committee or Section Committee...It's a great way to network and gain experience within our diverse & engaged community! Apply by Dec 31 Committee: bit.ly/3uwCoI8 Section: bit.ly/3WMznPI

Are you looking to be more involved in your ORS Research Section? Apply to volunteer to be an ORS Research Section Officer or be on a Section Committee! @OrsSpineSection @OrsMeniscus @ORSPCMSection @ors_tendon @ORSPCMSection @isfrfractures bit.ly/3htzLDV

To provide a platform to our trainees (B.S., M.S., Ph.D. and post-doc) to showcase their research to the community, the @OrsMeniscus Section will have a virtual session THIS WEDNESDAY 12/7! Secure your spot here: ors.org/online-current…


At the end of this month, join the @OrsMeniscus Section to discuss sex and race disparities in the musculoskeletal field, and how they may affect meniscus health. Registration Fee: ORS Members: FREE Non-Members: $49 ors.org/online-current… @jaymilanpatel

Join @OrsMeniscus Section and hosts @Prof_JRobinson & @jaymilanpatel for a virtual session on 9/29! They will feature three speakers that are experts in assessing sex & race disparities in the development, injury, & treatment of musculoskeletal tissue: ors.org/online-current…









