

Edel O'Toole
2.3K posts

@EdelOToole
Clinical academic dermatologist, interested in rare and common genetic skin diseases. Co-director of @HARPClinicalPhD #Blizard #QMUL #RoyalLondonHospital












Sadly it seems the Resident Doctor strikes are inevitable, and as usual @wesstreeting blames RDs and @theBMA for being unreasonable, that there’s no money. So I thought it’d be helpful to look at the workgroups Wes IS funding: ACPs 1/


















A new @ScienceTM study reveals how S. aureus skews the skin immune response toward an inflammatory IL-17 signature involving CD4+ and MAIT cells in children with RDEB, and sheds light on the link between different strains and disease severity. scim.ag/45VfCMm



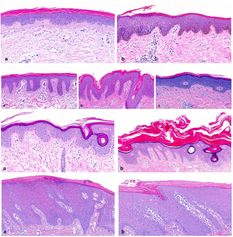
🚨 The September 2025 issue of the BJD is here! 🚨 Issue highlights include a review of palmoplantar epidermal differentiation disorders, tirabrutinib in systemic sclerosis, and psychosocial burden in alopecia areata. Read more: academic.oup.com/bjd/issue


