Chloe EH Scott retweetledi

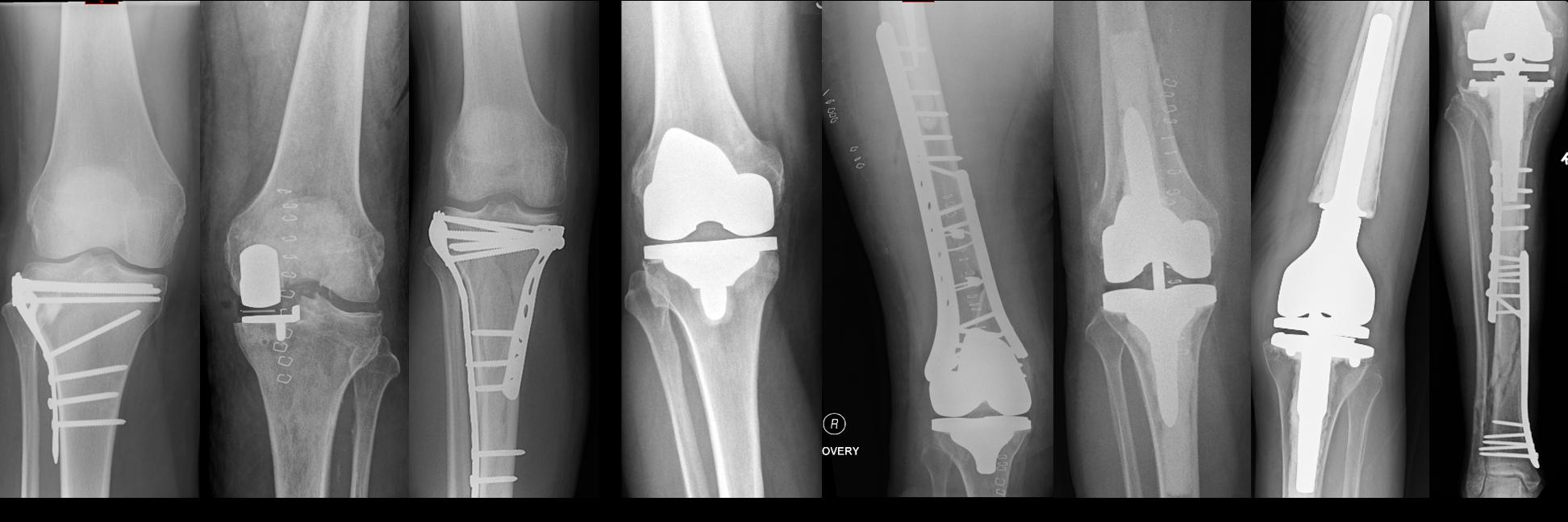
Fix or replace has been the question for distal femur fractures. But what happens when the fixation fails?
This systematic review compares:
• Primary DFR
• Salvage replacement after failed fixation
📚 Full article:
#fig1" target="_blank" rel="nofollow noopener">arthroplastytoday.org/article/S2352-…



English


























