Eric R Smith retweetledi

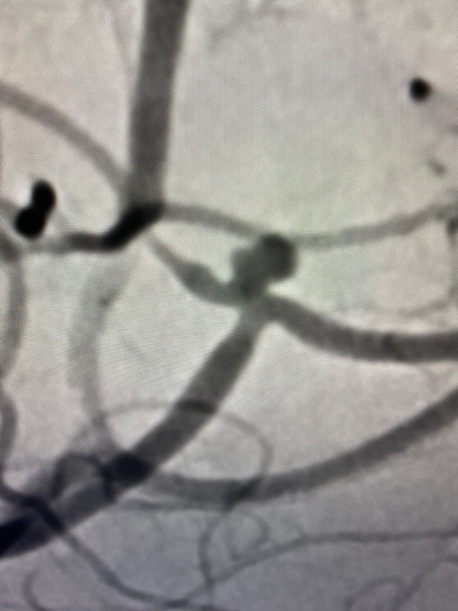
Please check out our new classification system for shunting AV lesions of the spine! We emphasis lesions with high risk features as these cause stroke and hemorrhage. A big thank you to @UCSF_NIR , @UCSFimaging , and @JNIS_BMJ.
doi.org/10.1136/jnis-2…
AshuJadhav@AshuPJadhav
Arteriovenous shunts of the cervical spine: patient demographics, presentation, patterns of high-risk venous drainage, and updated classification jnis.bmj.com/content/early/…
English

























