




Fatima Shamsuddin
480 posts

@FatimaShamsPath
MD, FRCPath, FIAC






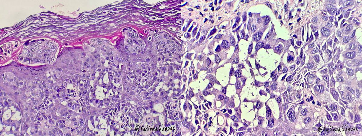
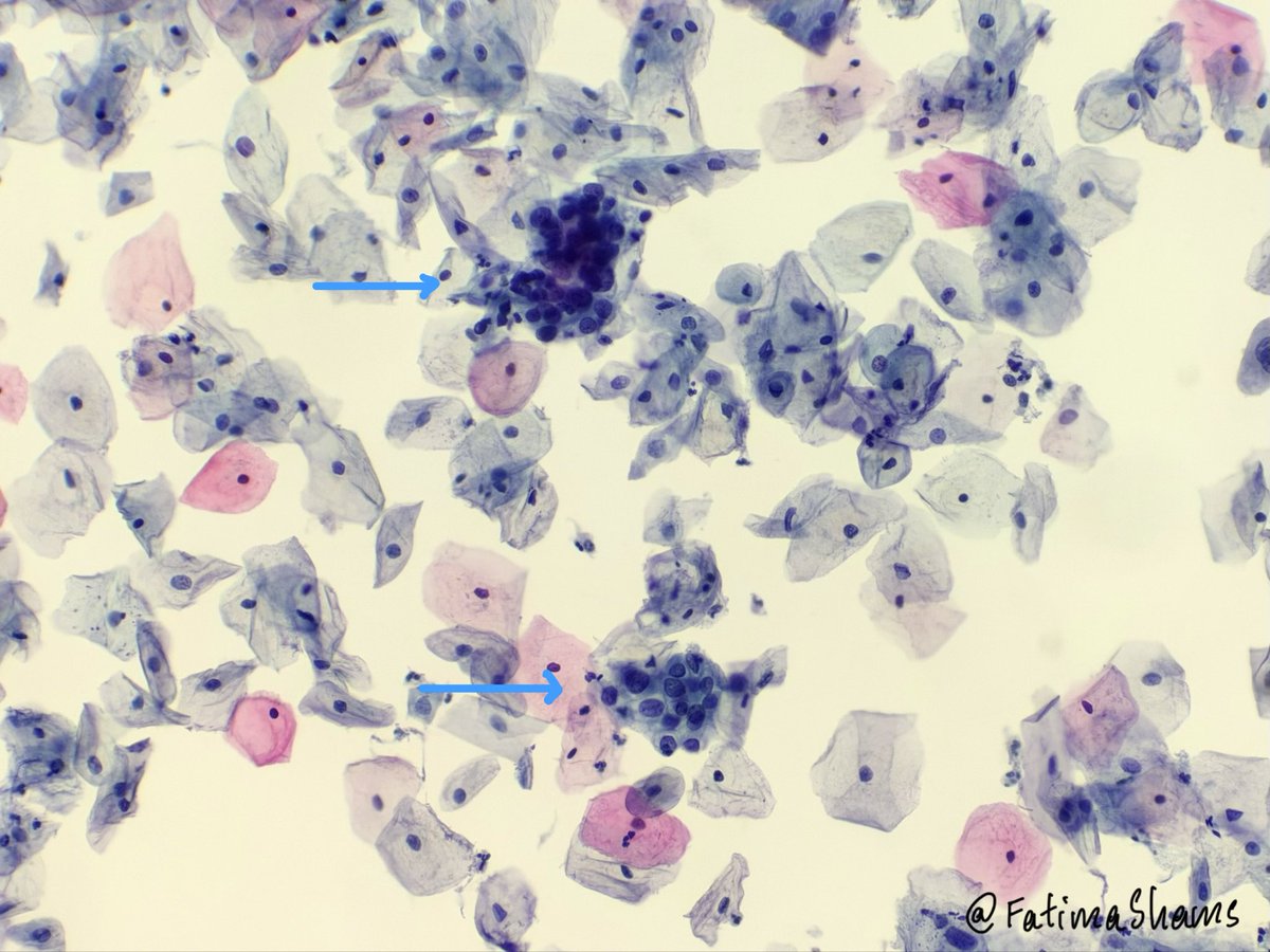
👉 74-year-old female with hematuria and bladder mass ⚓️ Urine cytology showed features suspicious for High-Grade Urothelial Carcinoma (HGUC) with: 🔬 Hyperchromatic crowded cell clusters 🔬 Single scattered atypical cells 🔬 Marked pleomorphism, high N:C ratio 🔬 Irregular nuclear membranes & coarse chromatin 💎 Biopsy confirmed High-Grade Papillary Urothelial Carcinoma showing fused/complex papillae, loss of maturation, diffuse cytologic atypia, and numerous mitoses. A nice histocytologic correlation case highlighting the importance of urine cytology in detecting HGUC. #PathTwitter #Cytopathology #Uropath #Surgpath #UrineCytology #HGUC #UrothelialCarcinoma #Histopathology #MedEd #Pathology








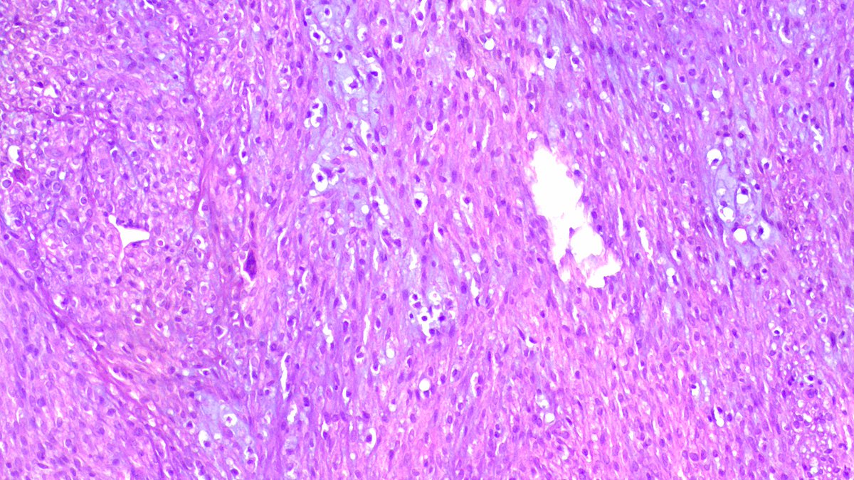
💎 Solitary Fibrous Tumor (SFT) involving the submandibular gland. 🔍 58-year-old male with a 5.5 cm left submandibular gland mass. ⚓️ Grossly, the lesion was a well-circumscribed, fleshy, firm white-tan mass with a solid whorled cut surface. 🔬 Microscopy showed a bland spindle cell neoplasm arranged in a “patternless pattern” with alternating hypo- and hypercellular areas, dense collagenized stroma, and prominent branching/staghorn-like vessels. Tumor cells showed minimal atypia and low mitotic activity. 🧪 IHC profile: • STAT6 nuclear positive •.CD34: diffuse positive • PanCK & S100: negative • SMA / Desmin: highlighted only vessel walls, negative in tumor cells • Beta-catenin: cytoplasmic granular staining without nuclear positivity 💡 Key points: • SFT is a rare mesenchymal neoplasm in salivary glands, most commonly affecting the submandibular gland and parotid. • The characteristic molecular alteration is the NAB2::STAT6 fusion, resulting from inversion at chromosome 12q13 and leading to nuclear STAT6 expression which is highly sensitive and specific for SFT. • Most SFTs behave indolently, but risk stratification depends on factors such as size, mitotic activity, necrosis, and patient age. Rare cases may recur or metastasize. 📚 Important morphologic clues favoring SFT: ✔ Patternless architecture ✔ Ropey collagen ✔ Staghorn vasculature ✔ Bland spindle cells ✔ Diffuse CD34 positivity & nuclear STAT6 positivity Case courtesy @annsmiley78 #PathTwitter #SurgPath #HeadNeckPath #SalivaryGlandPathology #SoftTissuePathology #SolitaryFibrousTumor #SubmandibularGland #Histopathology #Pathology #MedEd











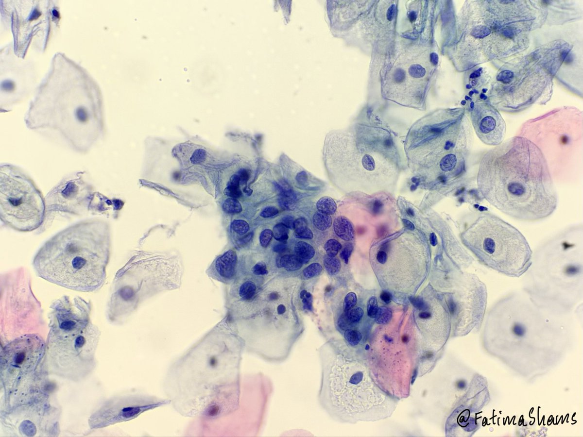
Pleural fluid CYTOLOGY. 📌 Clinical: Male patient with known urothelial carcinoma of bladder with metastases to lung, chest wall, and bone, presenting with pleural effusion. 🔬 Cytology (Pap & DQ): •Moderate cellularity •Clusters and sheets of atypical epithelial cells in a hemorrhagic background •Cells show high N:C ratio, nuclear irregularity, coarse chromatin, and prominent nucleoli •No definite gland formation 🧫 Cell block: •Cohesive clusters of malignant epithelial cells with similar morphology 🧪 IHC: •BerEP4+, CK7+ •GATA3+, p63+ •CK20: focal weak+ •Calretinin– (excludes mesothelial origin) 🔹 Diagnosis: Malignant effusion – metastatic carcinoma consistent with urothelial origin 🔹 Teaching points 💡 ✔️ GATA3 + p63 co-expression → strong clue to urothelial carcinoma ✔️ In pleural effusion, always differentiate from lung adenocarcinoma & squamous carcinoma ✔️ BerEP4+ / Calretinin –ve → epithelial, not mesothelial ✔️ CK20 may be variable/focal in urothelial carcinoma #PathTwitter #Cytopathology #PleuralFluid #EffusionCytology #UrothelialCarcinoma #MetastaticCarcinoma #DiagnosticPathology












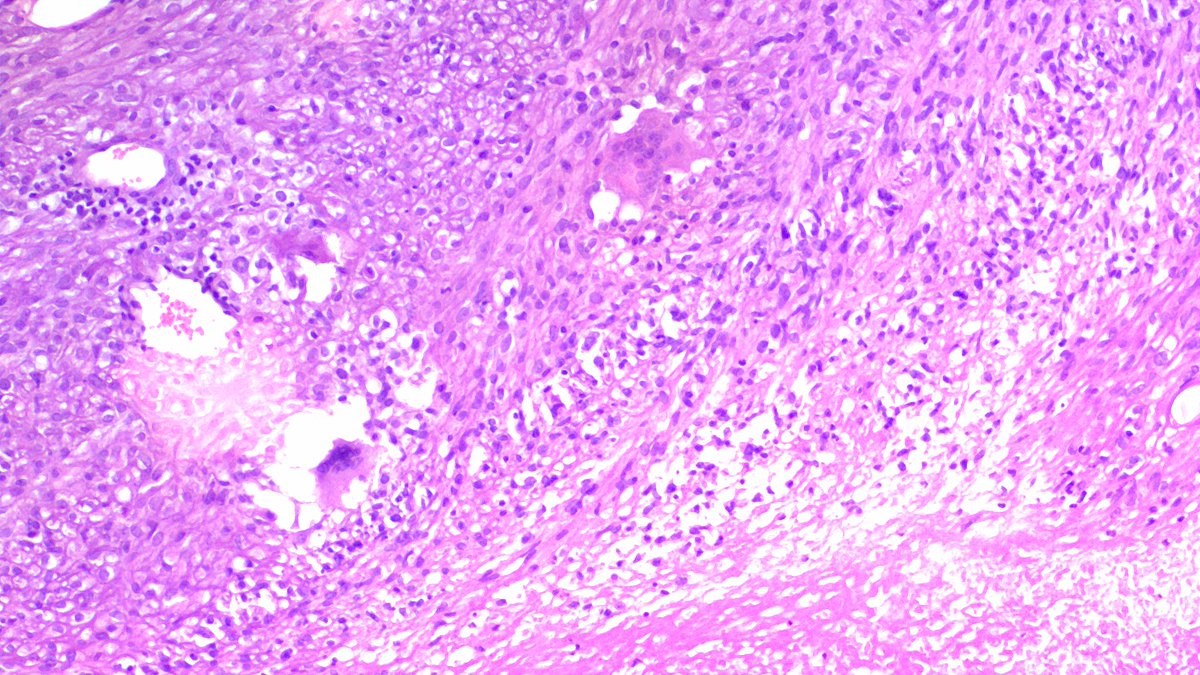
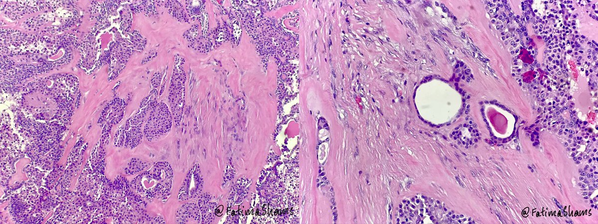
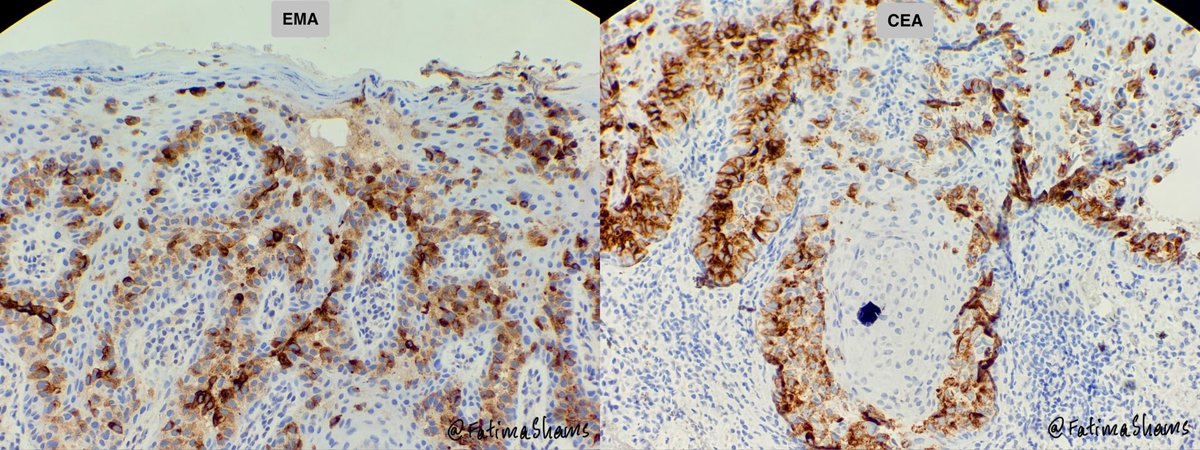
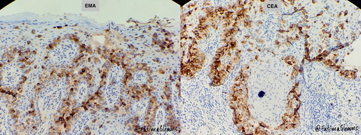
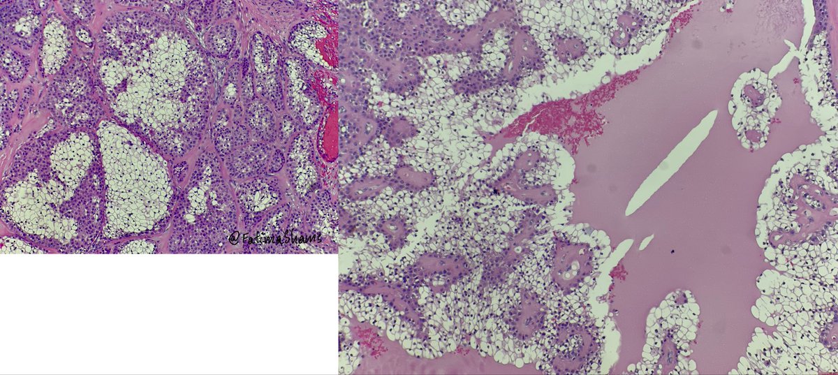
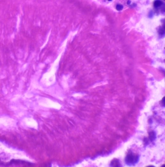
❄️ Frozen to Final: Diagnostic Correlation Case: 75M with massive compressive thyroid mass (9 cm) with tracheal invasion 🧊 Frozen: Malignant tumor (subtype deferred) 💎 Final diagnosis: Medullary Thyroid Carcinoma 🔬 Key features: • Nests, trabeculae, cords • Polygonal cells, granular cytoplasm • Salt & pepper chromatin • Lymphovascular invasion 🧪 IHC: Calcitonin+, CEA+, Synapto+, Chromogranin+, INSM1+ CK7+, CK20-, TTF1 (diffuse) Thyroglobulin–, PAX8– 🧬 Molecular: • Activating RET mutations in majority (germline in hereditary cases – MEN2A/MEN2B; somatic in sporadic) • RAS mutations (HRAS/KRAS) in RET–negative tumors • Routine: recommend RET mutation testing ± germline screening (important for family counseling) 📊 Prognosis: • Variable; worse with: Older age, large tumor, extrathyroidal extension (like tracheal invasion here) and distant metastasis • 10-year survival ~70–80% overall, but ↓ significantly in advanced disease • Calcitonin doubling time = key prognostic marker 💡 Pearl: When morphology & clinical picture mismatch on frozen → call “malignant” & defer typing. IHC + serum calcitonin clinches MTC. #PathTwitter #Surgpath #EndocrinePath #ThyroidPath #MedullaryThyroidCarcinoma #FrozenSection #Histopathology #Pathology Case courtesy @annsmiley78









