
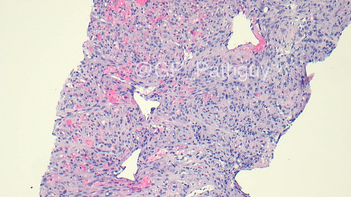
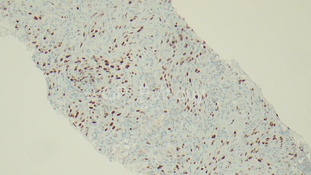
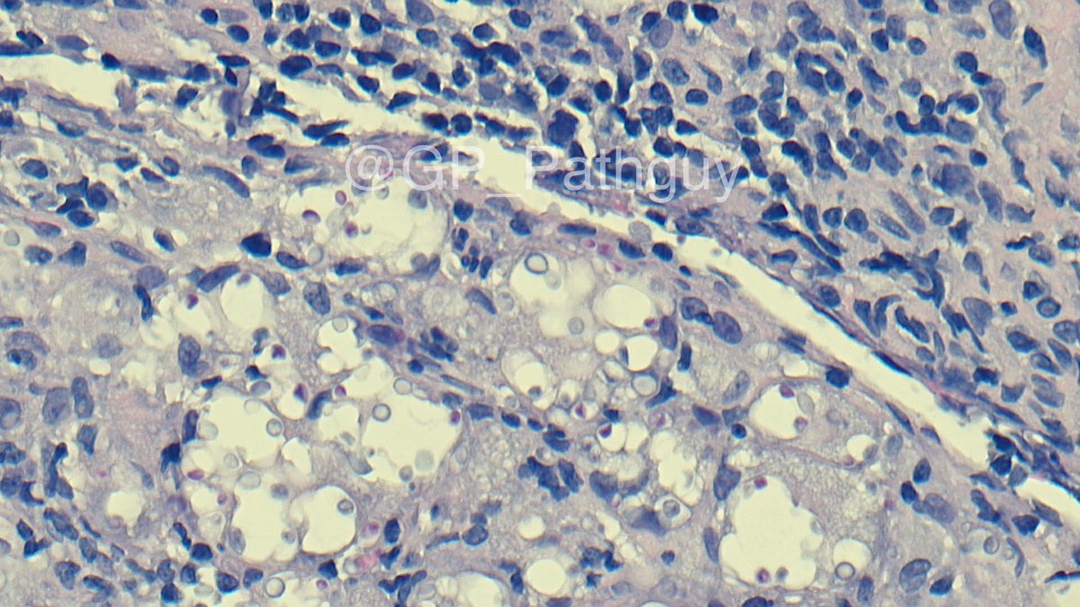
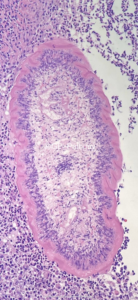
Schistosoma haematobium in a high-grade urothelial carcinoma resection. Weirdly present in the ureters and seminiferous tubules as well. Critters are among us. @UTHSC_ID @natesumMRSA

English
Glenn Murray
169 posts

@GP_Pathguy
Husband, father and hematopathologist. Views are my own.














We're looking for a heme & molecular-trained pathologist at @UNMPathology. See description at Path Outlines link: #job_7714" target="_blank" rel="nofollow noopener">pathologyoutlines.com/jobs#job_7714
Application link at: unm.csod.com/ux/ats/careers… Happy to speak to any interested #hemepath #molpath folks about the position!

















