Sabitlenmiş Tweet

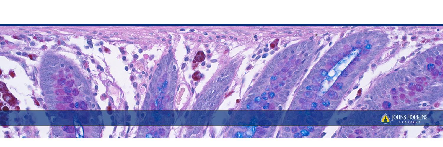
Registration is open for the JHH 25th Annual GI/Liver Pathology CME course! The course is entirely online, with a live Q&A session 11/2/25. See comment for this year's "hot topics". Register today! hopkinscme.cloud-cme.com/course/courseo…
English



















