Jackie Birkness-Gartman retweetledi

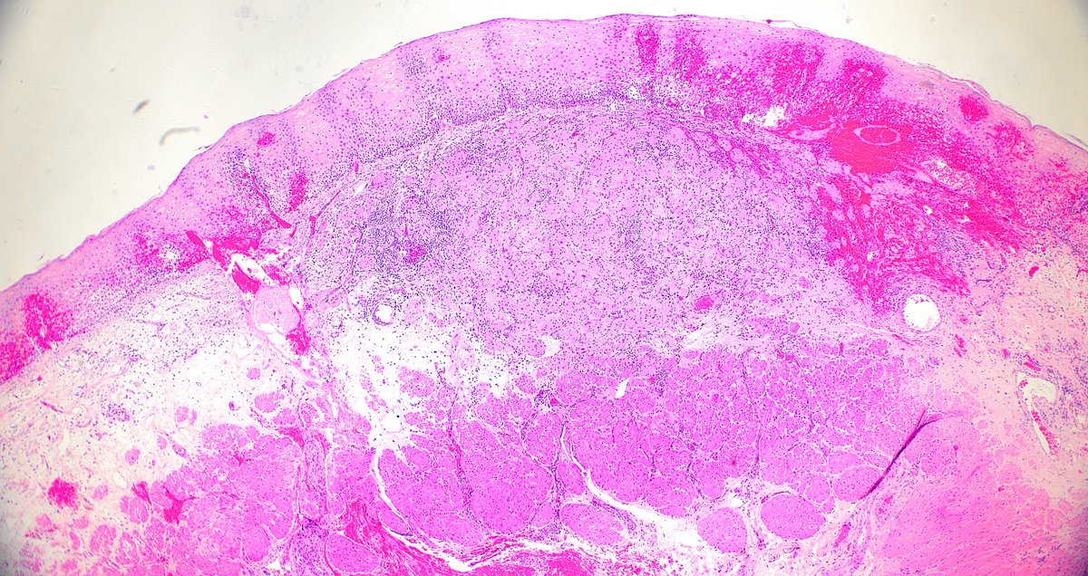
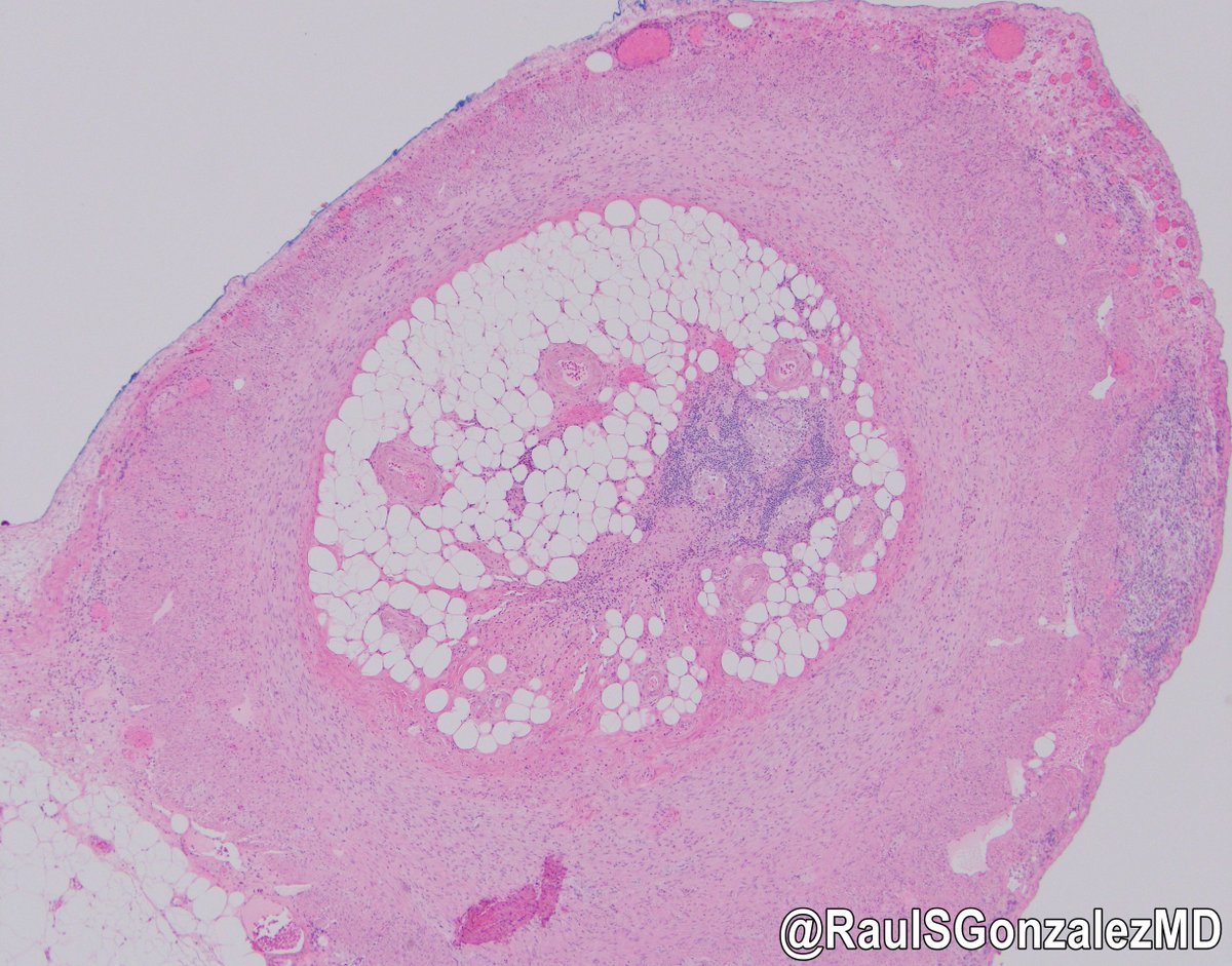
Context is everything! Radiation-associated epithelial atypia can be treacherous 😱! Learn the latest from @JBirkness (PMID: 36495943) and other incredible expert pathologists at our 25th Annual Johns Hopkins GI/Liver Pathology CME Course (virtual!) hopkinscme.cloud-cme.com/course/courseo…

English













