David Léon MD

25 posts

David Léon MD banner
David Léon MD

David Léon MD

@IdCathThat

Assistant Professor. Diagnostic and Interventional Radiology @ Baylor College of Medicine

Katılım Kasım 2021
141 Takip Edilen72 Takipçiler
David Léon MD
David Léon MD@IdCathThat·
Gonadal vein embolization for pelvic congestion syndrome using the new #PODXL
David Léon MD tweet media
English
1
0
4
162
David Léon MD
David Léon MD@IdCathThat·
Percutaneous stenting as treatment for chylothorax from superior vena cava syndrome: A case report - Arta Kasaeian, Taylor Hoffman, Mohammad Ghasemi Rad, David Wynne, David Léon, 2025 journals.sagepub.com/doi/10.1177/20…
Română
1
0
2
77
David Léon MD
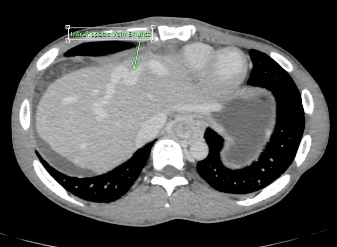
David Léon MD@IdCathThat·
Successful Direct intrahepatic portocaval shunt using gun sight technic! Altered hepatic venous anatomy precluded standard TIPS
David Léon MD tweet mediaDavid Léon MD tweet mediaDavid Léon MD tweet mediaDavid Léon MD tweet media
English
0
0
1
98
David Léon MD
David Léon MD@IdCathThat·
Successful PVR-TIPS! Coronal CT and Trans-splenic access venogram showing chronically thrombosed portal vein. TIPS was placed using standard gun sight technique! @SIRRFS @SIR_ECS
David Léon MD tweet mediaDavid Léon MD tweet mediaDavid Léon MD tweet mediaDavid Léon MD tweet media
English
1
0
4
490
David Léon MD
David Léon MD@IdCathThat·
Vascular Plug Assisted Retrograde Transvenous Obliteration (PARTO) for Gastric Varix Bleeding Patient. CT shows large gastric varix (circle) and gastrorenal shunt (arrow). A pericardiophrenic draining vein was embolized prior to varix obliteration @SIRRFS @SIR_ECS
David Léon MD tweet mediaDavid Léon MD tweet mediaDavid Léon MD tweet mediaDavid Léon MD tweet media
English
0
0
2
211
David Léon MD
David Léon MD@IdCathThat·
Coil embolization of traumatic internal mammary artery pseudoaneurysm
David Léon MD tweet mediaDavid Léon MD tweet media
Română
0
0
4
204
David Léon MD
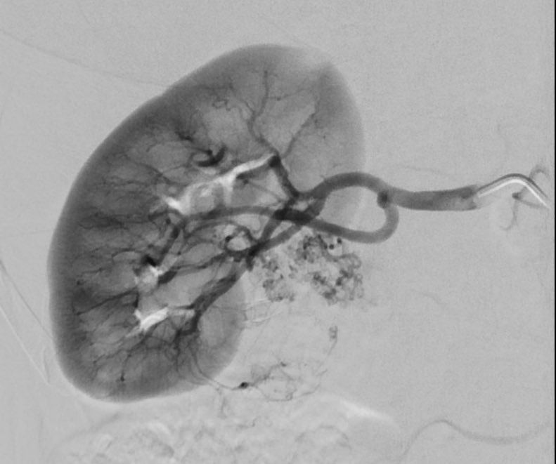
David Léon MD@IdCathThat·
A renal angiomyolipoma (AML) requiring treatment because high bleeding risk (figure 1). Angiogram shows the "sunburst" appearance of the mass (figure 2). After treatment with 100% alcohol and lipiodol the mass is completely devascularized (figure 3).
David Léon MD tweet mediaDavid Léon MD tweet mediaDavid Léon MD tweet media
English
1
1
3
889
David Léon MD
David Léon MD@IdCathThat·
Great view of the anterior spinal artery seen from an intercostal artery injection
David Léon MD tweet media
English
0
0
2
0
David Léon MD
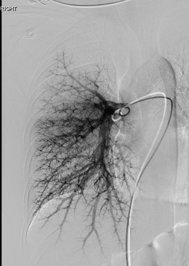
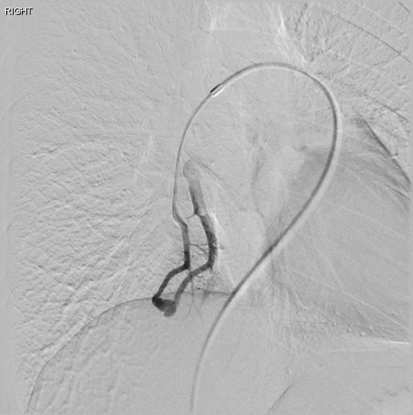
David Léon MD@IdCathThat·
Pulmonary AVM embolization in a patient with HHT using MVP and Ruby coils
David Léon MD tweet mediaDavid Léon MD tweet mediaDavid Léon MD tweet mediaDavid Léon MD tweet media
English
0
0
3
0
David Léon MD
David Léon MD@IdCathThat·
Cureus | Percutaneous Transhepatic Embolization of a Bleeding Colic Vein in a Cirrhotic Patient With Massive Hematochezia: A Case Report and Literature Review cureus.com/articles/99150…
English
0
1
3
0