
@The_Venda_Guy_ bro, why is it I feel like you the poked the bear with your caption on the self congratulatory post, can’t be the only one that had a brief thought about that first line ruffling a few feathers💀
English
Black Rooster🏴
247 posts

@IspokiEsingafi
Enigmatic, Inglorious Bastard.



Tembisa taxi association just lost a customer Congratulations to me🎉🎉🎉🎉🎉






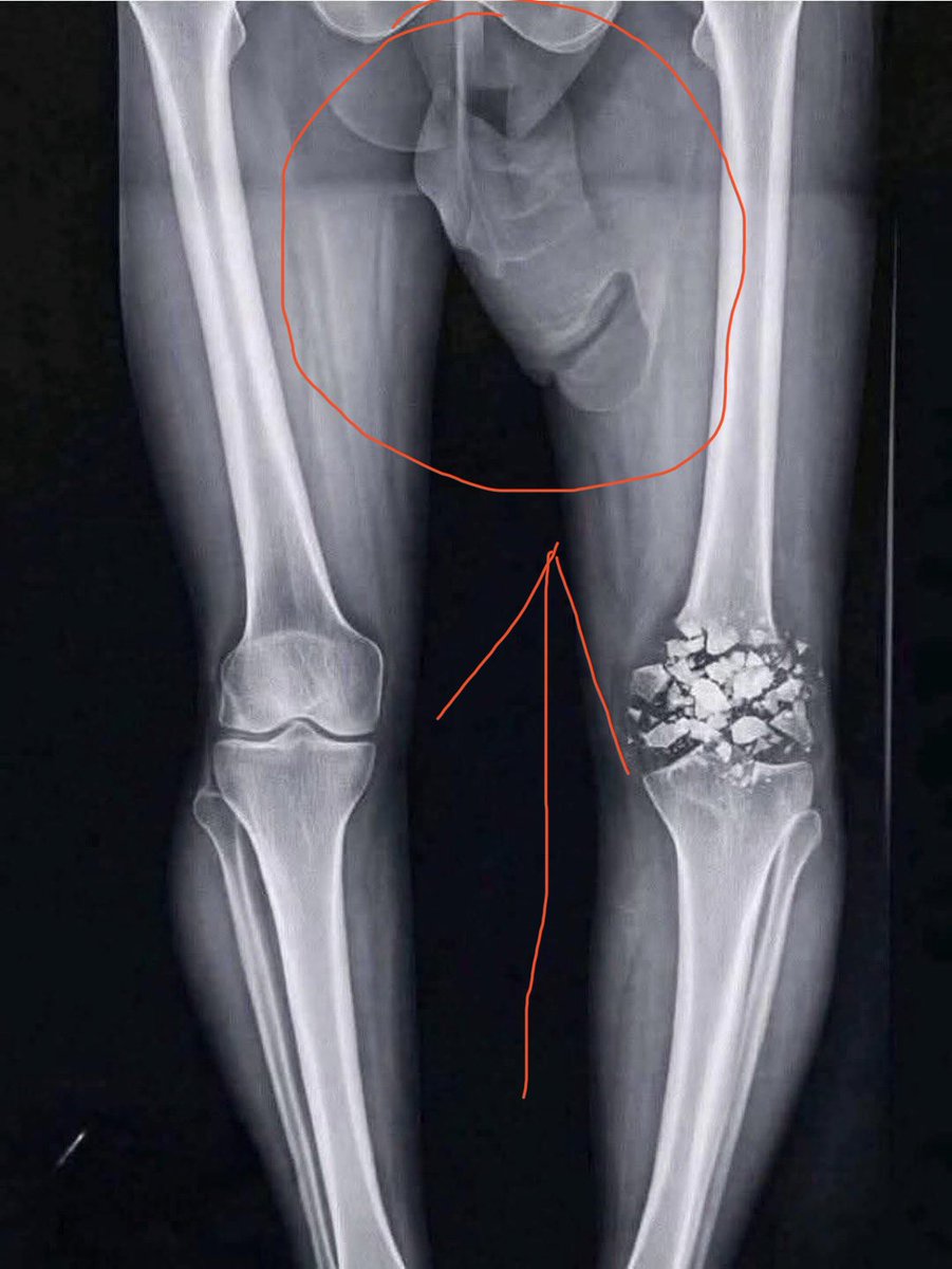
Mbappé ni forzó para un récord ni se borra de partidos importantes. Mbappé lleva tiempo con dolor en la rodilla pero los médicos le decían que todo estaba bien, por lo que el siguió forzando. Ya ha salido a la luz que la resonancia era de la rodilla equivocada. @RMCsport





















#CITRobbery N2 near the NPC factory, Durban.


