Sabitlenmiş Tweet

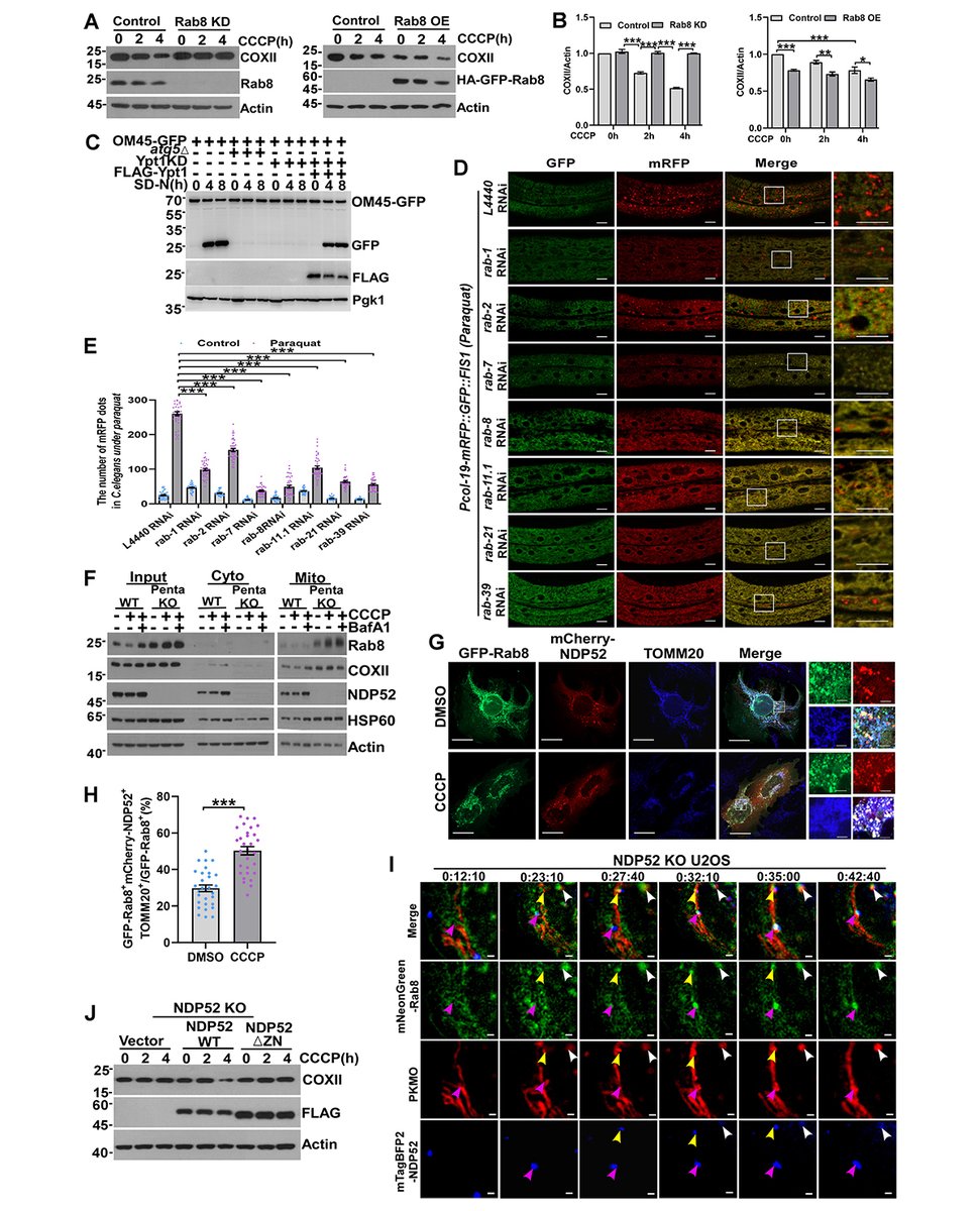
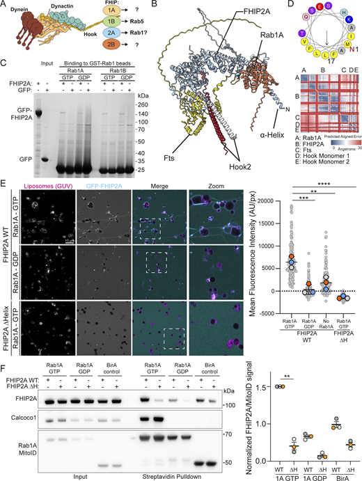
Articles in our latest collection focus on the roles of ATG9 and LC3 interacting regions, plus mechanisms of selective #autophagy involving Rab GTPases, #mitophagy, and #pexophagy. 👉 hubs.la/Q040Nfh60

English
Journal of Cell Biology
15.9K posts

@JCellBiol
The Journal of Cell Biology (JCB) publishes peer-reviewed research on all aspects of cellular structure and function. Est. 1955 - @RockUPress






































