
@AustinBourgeois @kmadass With additions of many other urologic therapies, “TURP is dead” as said by one of my urology colleagues.
English
Jeremy I. Kim, MD
1.1K posts

@JeremyKimMD
Vascular & Interventional Radiologist | #Prostate artery embolization #PAE, Interventional #Oncology, #Vascular Disease, & #Embolization Specialist








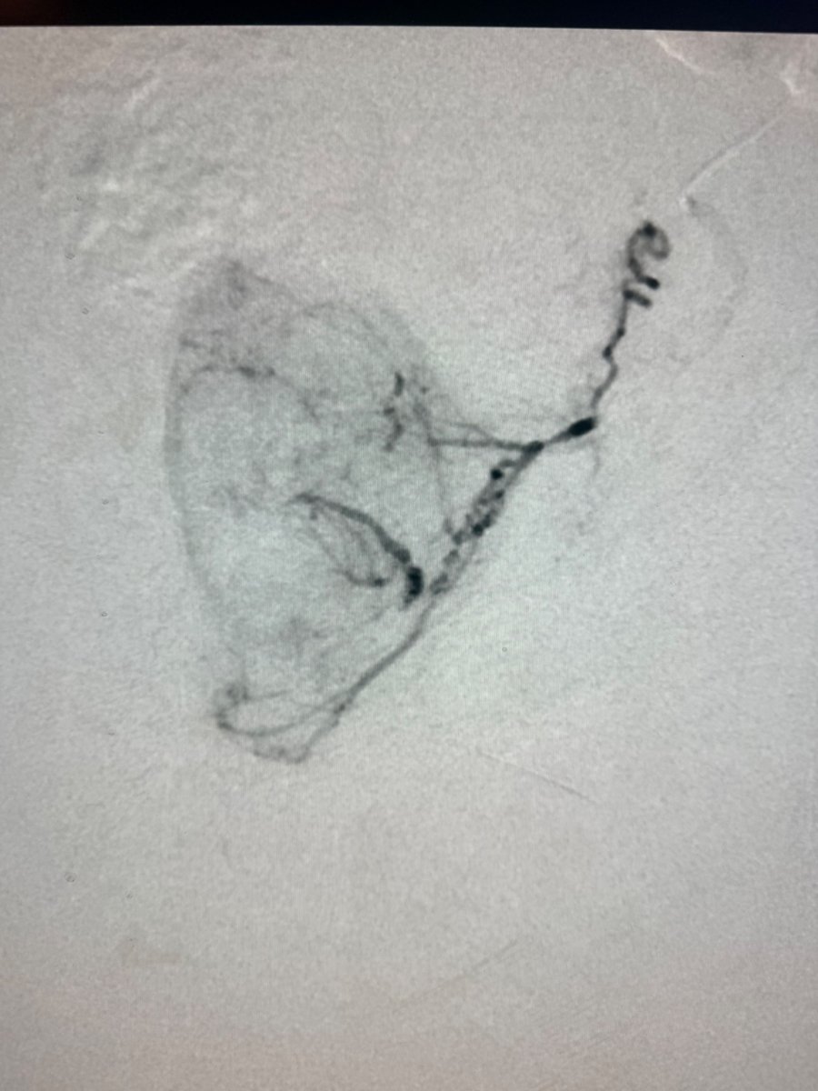
Dr. Kim published a case report in the Journal of Vascular & Interventional Radiology detailing a unique prostate artery embolization procedure. The report highlights the clinical approach & outcomes of this minimally invasive treatment for BPH. @DrGluRu jvir.org/article/S1051-…








Battle of the mini TIPS after Variceal bleeds 6mm v 8mm More rebleeding Less HE equal survival














