Sabitlenmiş Tweet
Jesus Beltran-Perez MD 🇲🇽👨🏻⚕️☢️💉📍🇺🇸
635 posts

Jesus Beltran-Perez MD 🇲🇽👨🏻⚕️☢️💉📍🇺🇸
@JesusBPMD
Interventional Radiologist UTHSA class 2025. Peds IR fellow Cincinatti Children’s 25-26
Cincinnati, OH Katılım Şubat 2018
1.8K Takip Edilen597 Takipçiler

@lopezdoriga Brunch y terminar la mudanza. Saludos Don Joaquín.
Español

Que todos tengamos un gran sábado familiar. ¿Qué plan para hoy?
Las noticias en lopezdoriga.com
Foto de Jonas Degener en Unsplash

Español

Immensely happy to share that I will be joining Arkansas Children’s Hospital as Pediatric Interventional Radiology Faculty, Assistant Professor next year! Vamos!!!! 🔥#IamIR #PediatricInterventionalRadiology


English


Celebrating @JesusBPMD - a dedicated interventional radiologist! Board Eligible IR/DR PGY-5 at UTHSA, soon enriching lives at Cincinnati Children's. Honored to be represented by professionals like you! 🌟 #HealthcareHeroes #ShowusyourINFAB

English

@InfabCorp Thank you Guys!!! 🫶🏼 great apron, I love it!
San Antonio, TX 🇺🇸 English

Incoming Pediatric Interventional Radiology Fellow at @CincyChildrens 25-26, top 1 in the nation #honored #thrilled

Texas, USA 🇺🇸 English


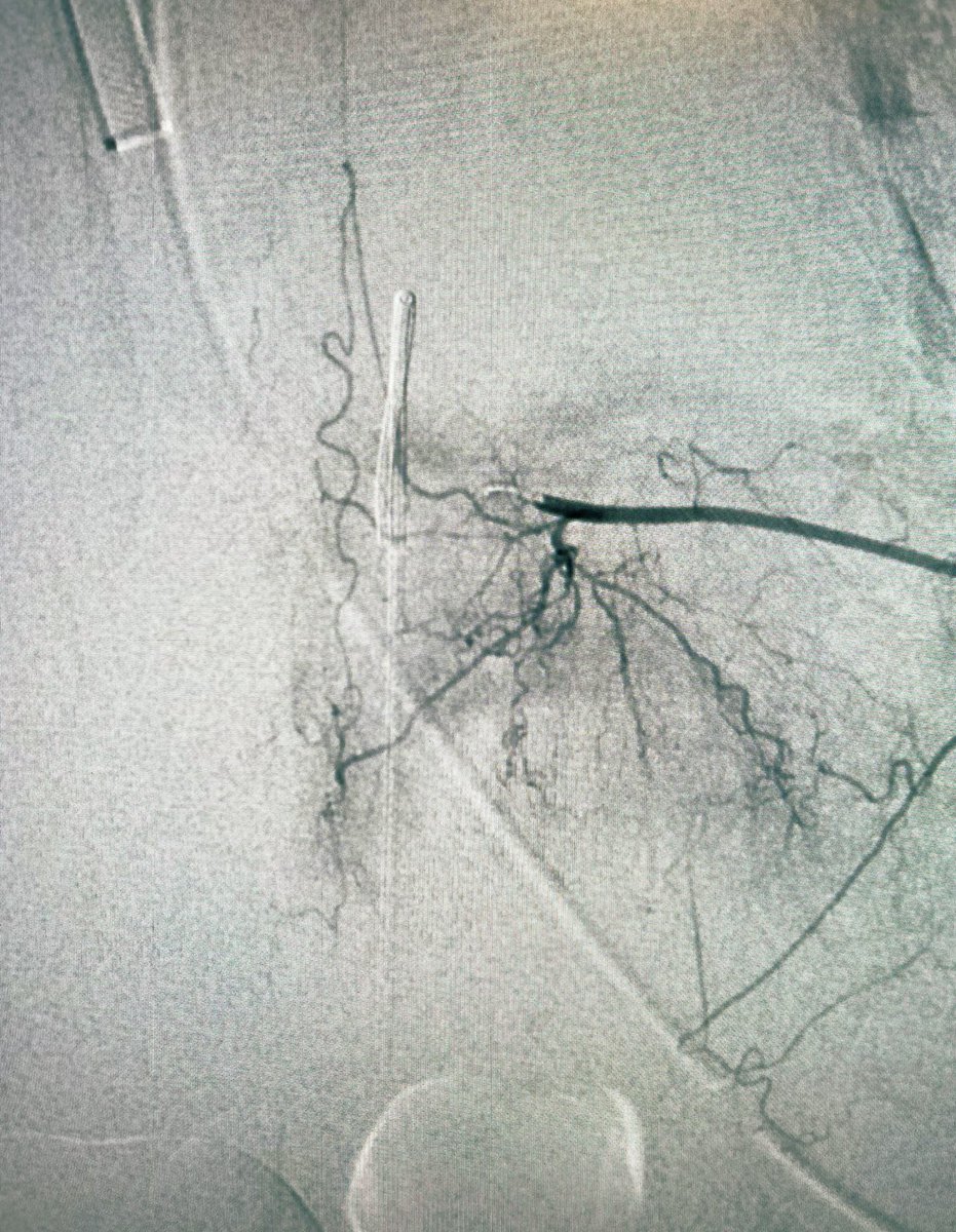
@OGdukeneurosurg Beta Thalassemia
New Orleans, LA 🇺🇸 Eesti


@DrIouliaKolovou Muchas gracias!!!!!!
San Antonio, TX 🇺🇸 Español



















