LEADconnection.org®

957 posts

LEADconnection.org® banner
LEADconnection.org®

LEADconnection.org®

@LEADconnection1

Engaging Every Voice for Optimal Lead Management

Worldwide Katılım Eylül 2014
162 Takip Edilen340 Takipçiler
LEADconnection.org®
LEADconnection.org®@LEADconnection1·
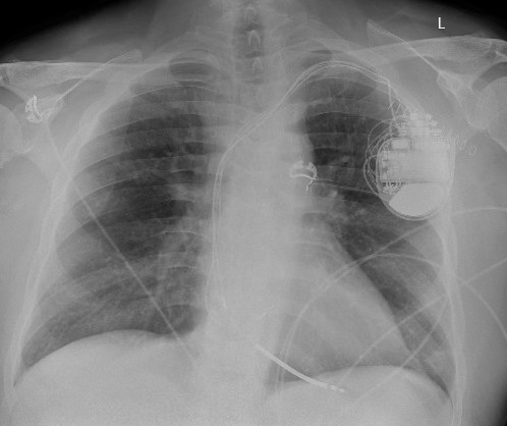
🚨 Case Spotlight: 70F with symptomatic bradycardia underwent dual-chamber pacemaker implant → chest pain + hypotension day 1 post-op 📸 Imaging: RV lead perforation + pericardial effusion 💬 Login & Join the discussion: LEADconnection.org #EPeeps #CIED #LeadManagement
English
0
0
1
78
LEADconnection.org® retweetledi
Sergio Pinski
Sergio Pinski@SergioPinski·
Last case at Cleveland Clinic Florida. Patient with ischemic cardiomyopathy and heart block, referred for "biventricular" ICD. #dontdissthehis instead.
Sergio Pinski tweet mediaSergio Pinski tweet mediaSergio Pinski tweet media
English
4
9
71
22.7K