Sabitlenmiล Tweet

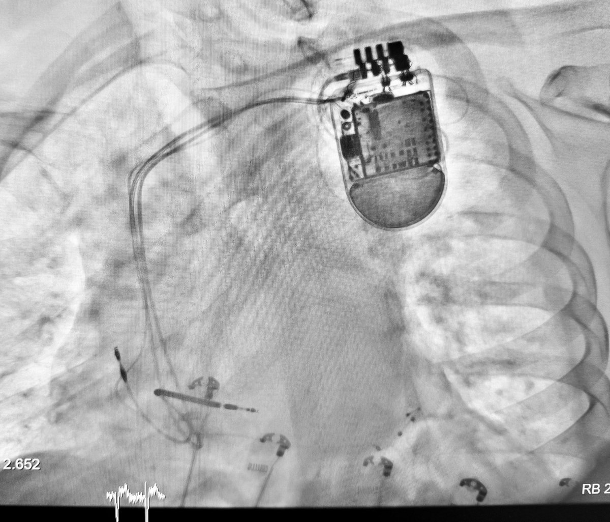
Upgrade from an DDD ICD to CRT-D #Abbott in a patient with ischemic cardiomyopathy and 100% RV stimulation. Initial QRS 200ms, final 104 ms. Hospital Dr. Jose Molina Orosa Lanzarote @ArritmiasJMO #Cardiology




English
๐ป๐๐๐๐ ๐ถ ๐ผ๐๐๐๐๐๐
2.1K posts

@Laila_G
Cardiac Electrophysiologist MD/PhD. Certified by EHRA Invasive Cardiac EP. Love to travel, read, animals & all kinda sports. GenX. H. J Molina Orosa. Lanzarote









































