Tamara Zudaire

2.8K posts

Tamara Zudaire banner
Tamara Zudaire

Tamara Zudaire

@LangerPath

#Pathologist 🔬 Always and forever learning. Hospital San Pedro. #CytoPath #HemePath #EndoPath

Logroño, España Katılım Mart 2017
904 Takip Edilen1.3K Takipçiler
Sabitlenmiş Tweet
Tamara Zudaire
Tamara Zudaire@LangerPath·
Ferruginous bodies in BAL. Dumbbell-shaped, golden yellow to black with Pap, blue with Perls an golden yellow with H&E. Happy to have seen them for the first time outside of the books! 😁 #cytopath #cytology
Tamara Zudaire tweet mediaTamara Zudaire tweet mediaTamara Zudaire tweet media
English
12
90
219
0
Tamara Zudaire retweetledi
C. Christofer Juhlin
C. Christofer Juhlin@DrJuhlin·
One of our brilliant residents showed me this case. Supraclavicular lymph node. No other clinical information at the moment. Micropapillary to papillary structures, some mitoses, some mucin production. (Short thread follows):
C. Christofer Juhlin tweet media
English
12
151
357
68.7K
Tamara Zudaire retweetledi
Charlie Herndon
Charlie Herndon@DrCycloPath·
#CytoQuiz 🔬 #Pancreas🍤 A) Acinar Cell Carcinoma B) Solid Pseudopapillary Neoplasm C) Pancreatic Adenocarcinoma D) Pancreatic Neuroendocrine tumor #Pathology #Cytology Clue in caption 🧐
Charlie Herndon tweet media
Română
4
8
30
1.8K
Tamara Zudaire retweetledi
Charlie Herndon
Charlie Herndon@DrCycloPath·
🔬 #CytoQuiz 19-year-old with a firm nodule on the index finger. A) Granular Cell Tumor B) Epithelioid Sarcoma C) Epithelioid Angiosarcoma D) Clear Cell Sarcoma
Charlie Herndon tweet media
English
2
13
43
3.4K
Tamara Zudaire retweetledi
Charlie Herndon
Charlie Herndon@DrCycloPath·
#CytoQuiz 🔬🧐 A) Myxoid Liposarcoma B) Extraskeletal myxoid chondrosarcoma C) Myxofibrosarcoma D) Chordoma #Pathology #Cytology Clue in caption 🧐
Charlie Herndon tweet media
Català
2
9
22
1.6K
Tamara Zudaire retweetledi
Adriana Hogeboom
Adriana Hogeboom@AdrianaHogeboom·
70 yo M no relevant PMH. Buccal mucosa ulcer biopsy (see H&E). Waiting on GMS. Do you buy cryptococcus? @ParasiteGal @LangerPath
Adriana Hogeboom tweet mediaAdriana Hogeboom tweet mediaAdriana Hogeboom tweet media
English
4
5
10
531
Tamara Zudaire retweetledi
Shachar Path
Shachar Path@Tiger_heme·
BMB 41 yo male. All these cells are positive for CD3, CD5, CD2, CD7. In the pics you can see the CD4 and CD8. What is your diagnosis? What other stains would you like to see?
Shachar Path tweet mediaShachar Path tweet mediaShachar Path tweet mediaShachar Path tweet media
English
8
16
57
8.1K
Tamara Zudaire retweetledi
Siba El Hussein, MD
Siba El Hussein, MD@SibaElHussein·
More on anaplastic large cell lymphoma (ALCL) mimickers: Enteropathy associated T-cell lymphoma (EATL) may exhibit anaplastic morphology, with pronounced inflammatory background consisting of histiocytes, eosinophils, small lymphocytes, and plasma cells. Furthermore, EATLs with large cell or anaplastic morphology are often CD30+ and sometimes EMA+. In the setting of a localized mass to the gastrointestinal tract and history of celiac disease, EATL would be on top of the differential, even if the morphology and strong CD30-positivity are reminiscent of ALCL. However, in rare instances, where EATL with anaplastic morphology presents with involvement of extra-gastrointestinal organs, this could cause serious diagnostic challenges, as illustrated in this report @Histo_Journal➡️pubmed.ncbi.nlm.nih.gov/26531107/ #hemepath #pathology #pathX #pathtwitter #lymsm #MedEd #SoMe
Siba El Hussein, MD tweet media
Siba El Hussein, MD@SibaElHussein

🩸Continuing with the theme of ALCL-mimickers, extranodal NK/T-cell with anaplastic morphology is an underrecognized variant that seems to be highly aggressive & potentially misdiagnosed 🩸Below is a photo of a case of extranodal NK/T-cell lymphoma with a striking anaplastic morphology & homogenous CD30 expression by IHC; It is also positive for MUM1 expression, which is typically seen in ALCL 🩸One way to bring extranodal NK/T-cell lymphoma back to the differential, in the setting of a CD30-positive "anaplastic-looking" lymphoma, particularly in the head & neck area, is to perform EBER systematically in T-cell lymphoma cases. EBER is typically positive in extranodal NK/T-cell lymphoma & negative in ALCL Photo credits & more on this variant➡️journals.lww.com/ajsp/fulltext/… #hemepath #PathTwitter #lymsm #MedTwitter #pathX #surgpath #ENTpath

English
0
41
78
7.8K
Tamara Zudaire retweetledi
Siba El Hussein, MD
Siba El Hussein, MD@SibaElHussein·
Illustration of a case of Burkitt lymphoma in the intestine with characteristic variable/ patchy SOX11 expression pattern. SOX11 may come in handy in tricky cases when you need more evidence to push for Burkitt lymphoma vs other mimickers #hemepth #lmsm #pathtwitter #PathX #MedX
Siba El Hussein, MD tweet mediaSiba El Hussein, MD tweet mediaSiba El Hussein, MD tweet mediaSiba El Hussein, MD tweet media
English
1
35
98
5.7K
Tamara Zudaire retweetledi
Siba El Hussein, MD
Siba El Hussein, MD@SibaElHussein·
Unicentric Castleman disease-plasma cell variant:Preserved overall lymph node architecture and marked plasmacytosis in interfollicular areas,with a subset germinal centers showing regressive changes reminiscent of Castleman disease-hyaline vascular variant #Hemepath #HemepathMDA
Siba El Hussein, MD tweet mediaSiba El Hussein, MD tweet mediaSiba El Hussein, MD tweet mediaSiba El Hussein, MD tweet media
English
4
35
75
0
Tamara Zudaire retweetledi
Kyle Bradley, MD
Kyle Bradley, MD@KyleBradleyMD·
What do you see in the interfollicular region of this lymph node? What is the most likely etiology for this finding? #hemepath
Kyle Bradley, MD tweet mediaKyle Bradley, MD tweet media
English
19
73
214
0
Tamara Zudaire retweetledi
Shachar Path
Shachar Path@Tiger_heme·
Axillary LN, 29 yo woman. What are the arrows pointing at?
Shachar Path tweet mediaShachar Path tweet mediaShachar Path tweet mediaShachar Path tweet media
English
9
25
91
15.8K
Tamara Zudaire retweetledi
Siba El Hussein, MD
Siba El Hussein, MD@SibaElHussein·
Follicular lymphoma with BCL2 rearrangement by FISH & unusual overexpression of CCND1 by IHC (CD5 & SOX11 negative; CCND1 rearrangement negative by FISH). This rare finding has been reported previously➡️shorturl.at/lzDOU but is worth to be aware of #hemepath #lymsm #PathX
Siba El Hussein, MD tweet mediaSiba El Hussein, MD tweet mediaSiba El Hussein, MD tweet mediaSiba El Hussein, MD tweet media
English
1
32
77
5.6K
Tamara Zudaire retweetledi
Siba El Hussein, MD
Siba El Hussein, MD@SibaElHussein·
Large B-cell lymphoma involving the testicle with a germinal center-like phenotype (CD10+BCL6+MUM1-): May occur in < 10% of primary large B-cell lymphoma of the testis, however, it should raise the suspicion of disseminated systemic DLBCL #hemepath #lymsm #surgpath #Pathx #MedX
Siba El Hussein, MD tweet mediaSiba El Hussein, MD tweet mediaSiba El Hussein, MD tweet mediaSiba El Hussein, MD tweet media
English
4
29
87
6.4K
Tamara Zudaire retweetledi
Siba El Hussein, MD
Siba El Hussein, MD@SibaElHussein·
Primary large B-cell lymphoma of the CNS: Cyclin-D1 highlights endothelial cells in brain tissue, however its pattern of expression could be misinterpreted as positivity in neoplastic cells. Comparison to MUM1 & PAX5 is helpful to avoid this pitfall #hemepath #lymsm #PathX
Siba El Hussein, MD tweet mediaSiba El Hussein, MD tweet mediaSiba El Hussein, MD tweet mediaSiba El Hussein, MD tweet media
English
1
30
71
4.5K
Tamara Zudaire retweetledi
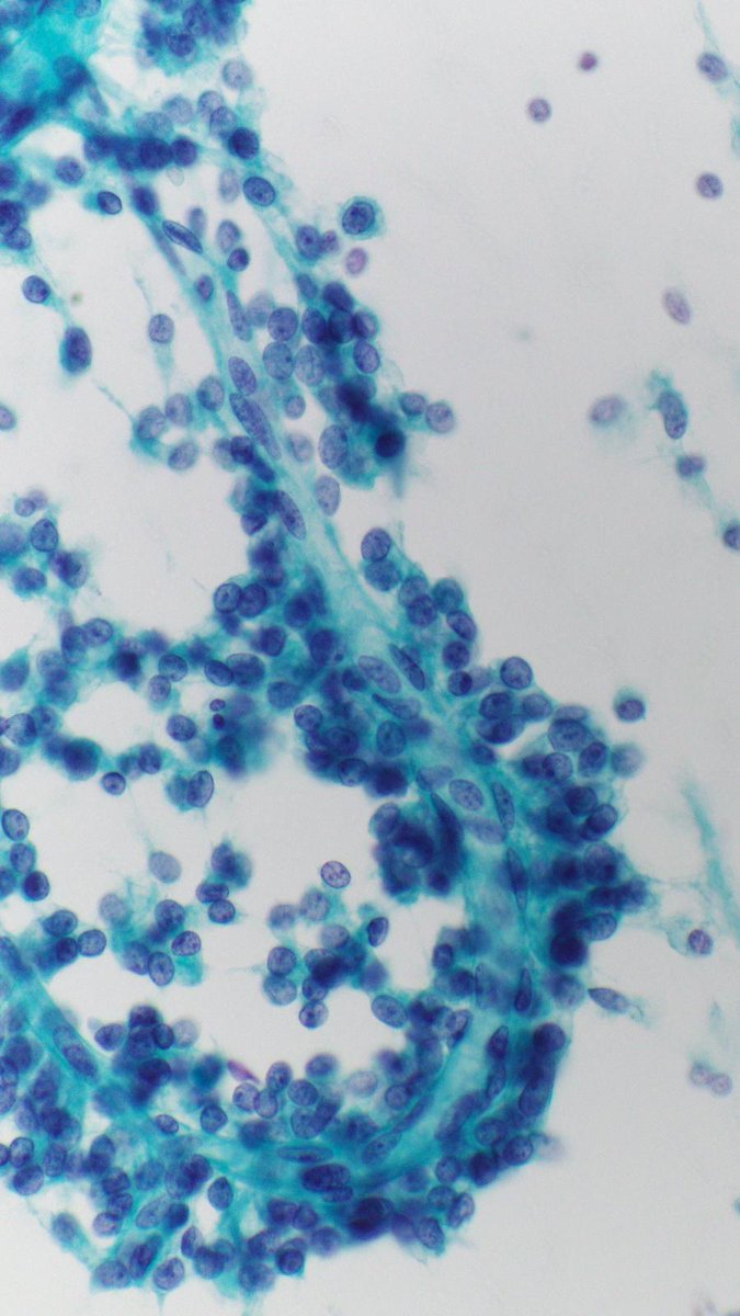
Syed Z. Ali
Syed Z. Ali@sza_jhcyto·
Salivary gland "Acinic Cell Carcinoma" may occasionally assumes a very "histiocytic" appearance on FNA, as nicely shown in this case. DD in such scenario includes - Mucoepidermoid CA, Secretory CA, Metastatic RCC and Benign cyst with macrophages.
Syed Z. Ali tweet mediaSyed Z. Ali tweet media
English
9
51
129
0