Luca Barca MD retweetledi

💡ICOT Clinical case of the week🧠
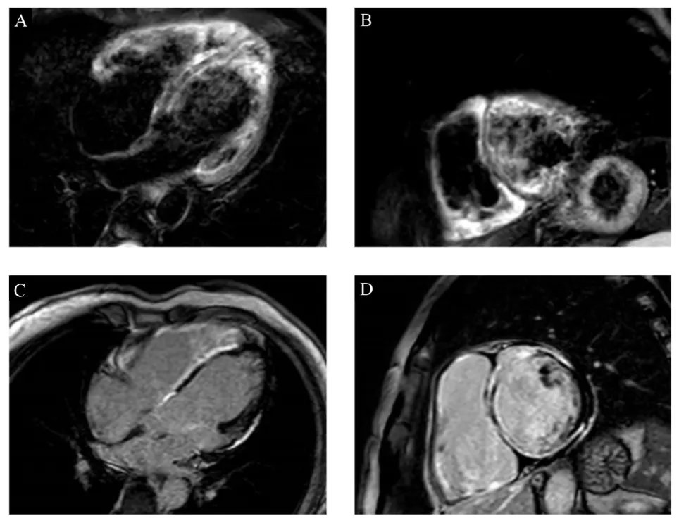
🫀 RISCONTRO OCCASIONALE DI TROMBO IN AURICOLA ATRIALE DESTRA IN UN GIOVANE PAZIENTE CON SCOMPENSO CARDIACO CONGESTIZIO E IN RITMO SINUSALE🫀
📌Caso clinico: italiancot.it/2023/06/03/ris…
#cardiology #cardiologia #cardiovascular #cardiac #ITcardiology



Italiano



















