
Alabama Orthopedic Imaging has begun accepting fellowship applications for 2027-28.
Spend an incredibly fun and busy year with us.
Website: mskfellowship.com
X: x.com/mskfellowship
Instagram: instagram.com/mskfellowship/

English
Alabama Orthopedic Imaging
477 posts

@MSKfellowship
Established in 2006, the Alabama Orthopedic Imaging Fellowship has proudly trained MSK radiologists now located throughout the U.S.

























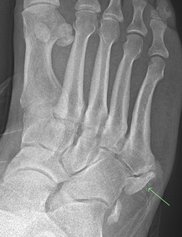
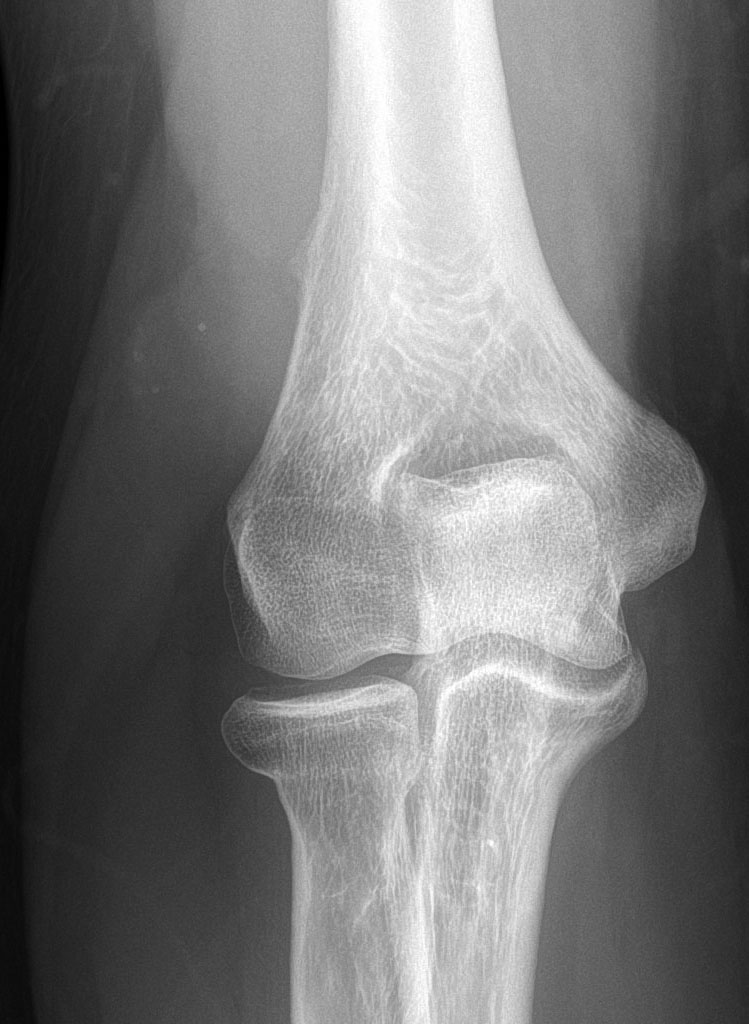
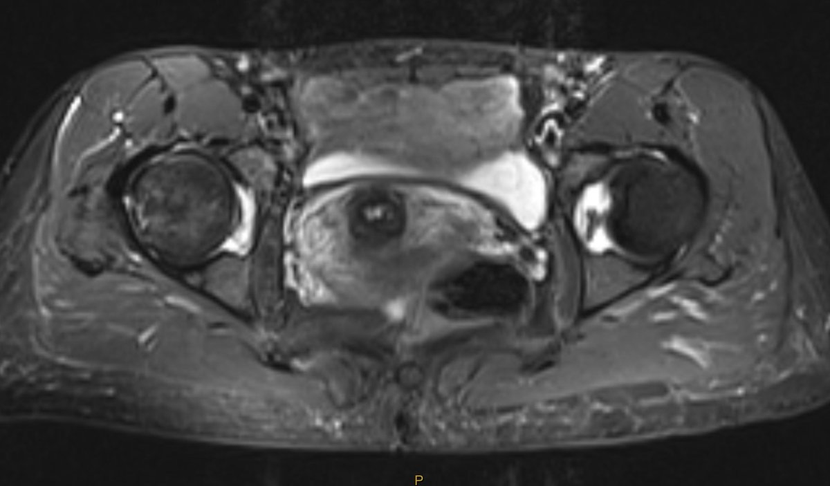
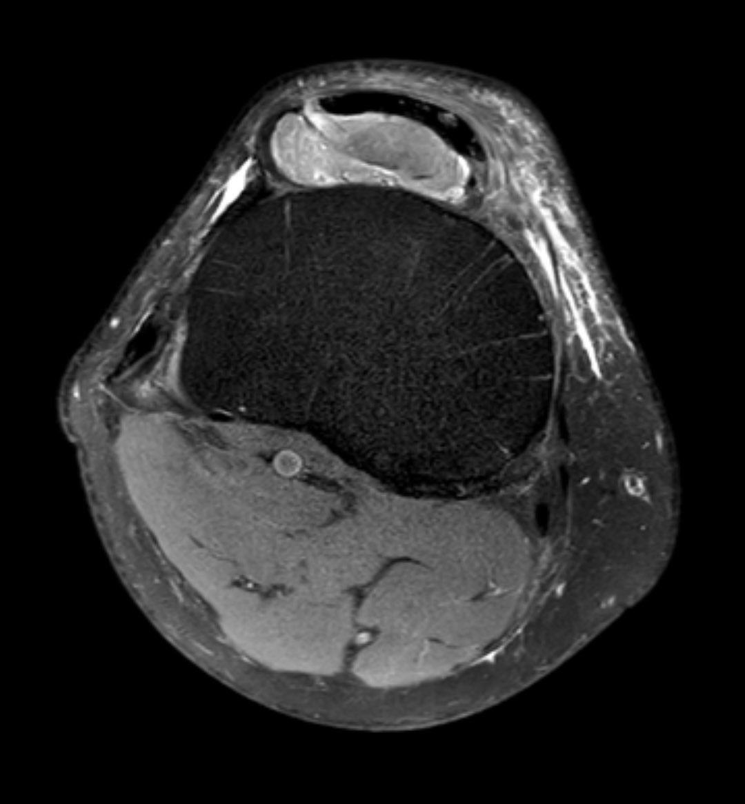
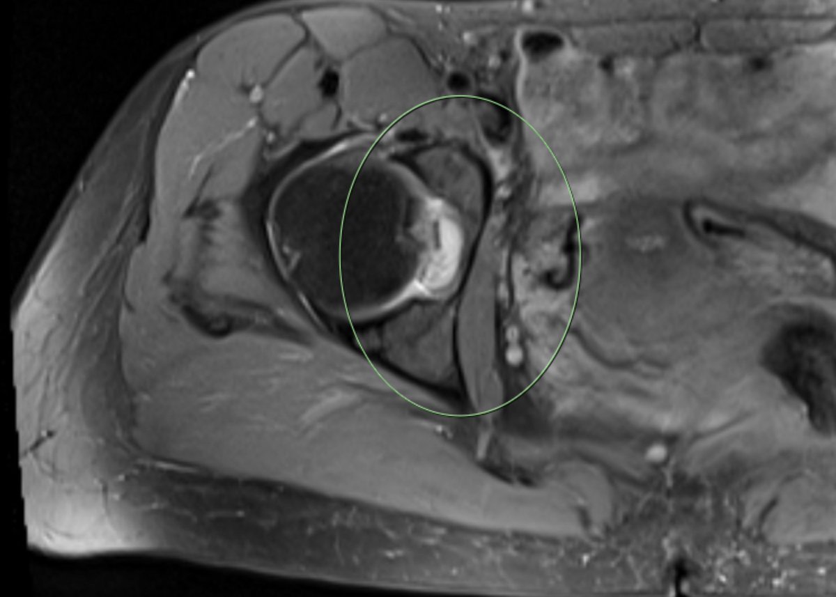
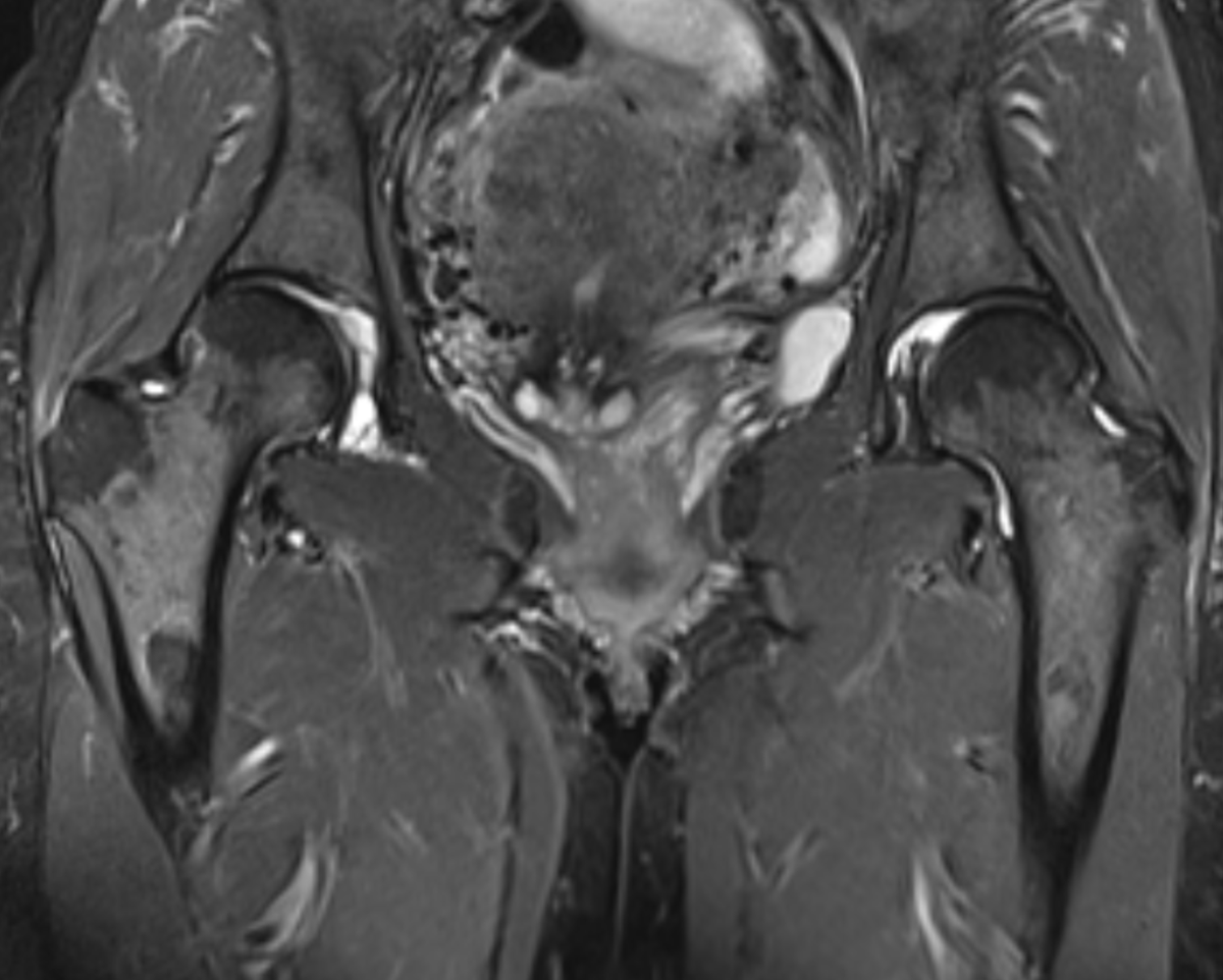
#CaseOfTheWeek‼️🥳‼️ ☢️🩻☠️Case#22☠️🩻☢️ #Mass 📲➡️➡️#Diagnosis❔❓❔ #FOAMRad #RadEd #MedEd #OrthoEd #OrthoTwitter @ssr_rwg @UWRadRes @ISSVA_org