Sergio Calleja
24.8K posts

Sergio Calleja
@Montecoya
Obrero especializado de la Sanidad Pública, sector neurológico. Lo que queda, podrido, entre los restos. No compro en Amazon.


The repugnant Israeli mother fuckers are destroying Beirut again -- and the south of Lebanon. After violating the "cease-fire" for far more than a year. What a repulsive racist entity. All in time.

CNN: Breaking news. Cuba's electrical grid has suffered a complete and total collapse. This is according to the country's power operator. It's the first nationwide blackout since the US effectively shut off the flow of oil to Cuba



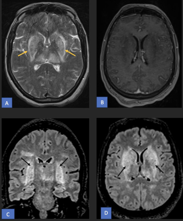
This is a 60-year-old woman with a history of ischemic stroke 5 years ago, previously presenting with aphasia and right-sided weakness, with complete recovery. She now presents with recurrent aphasia and right-sided weakness. In the ED, she was found to have a urinary tract infection with sepsis. MRI brain DWI showed no new diffusion restriction. After 2 days of antibiotics, her neurological deficits completely resolved. Question: What do you see on the MRI? How do you explain her recurrent aphasia and right-sided deficits despite no new imaging changes? #Neuroradiology #Neurology #Stroke #UTI #FOAMed












As @amnesty, we want to remind @vonderleyen & EU leaders that human rights is the foundation of the rules-based order. Double standards and selective application of international law leave Europe more vulnerable, less credible and undermines its very raison d'être (1/2)



Patients with intracranial athero should now be targeted to LDL<55 mg/dl, given the new ACC/AHA lipid guidelines. This should be adopted in CAPTIVA and other ongoing trials, as well as routine practice @BrianHoh1 @ESOstroke @WorldStrokeOrg @AHAScience
















