Reginald Hill

1.8K posts

Reginald Hill banner
Reginald Hill

Reginald Hill

@MouseModeler

Los Angeles, CA Katılım Şubat 2011
179 Takip Edilen495 Takipçiler
Reginald Hill
Reginald Hill@MouseModeler·
@Aiims1742 @NatureMaterials Thanks for tagging me! We are aiming to publish our follow up work examining how this affects 1) the metastatic niche and 2) macrophages in the Spring of 2025.
English
0
1
3
206
Reginald Hill retweetledi
Anirban Maitra
Anirban Maitra@Aiims1742·
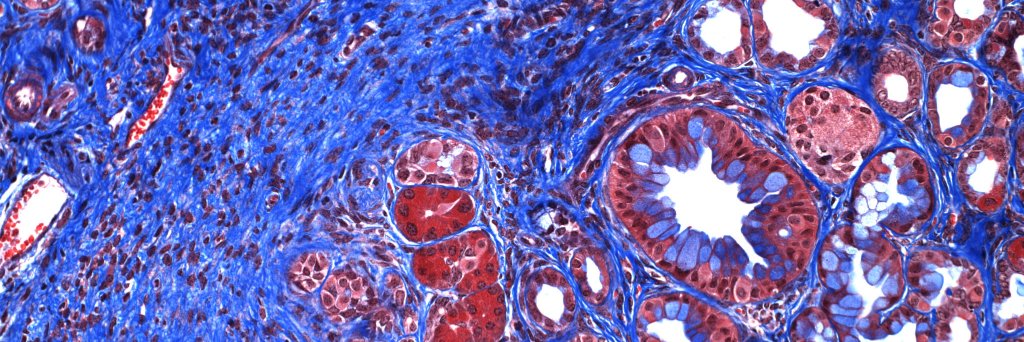
Small dataset from four patients but still useful to #PancreaticCancer researchers - single cell RNA-seq of MATCHED primary tumor & liver metastases. Most published series including our own have been with unmatched primary & metastatic cases. In @NatureComms nature.com/articles/s4146…
Anirban Maitra tweet media
English
3
65
230
36K
Reginald Hill retweetledi
Anirban Maitra
Anirban Maitra@Aiims1742·
Happy Barbenheimer weekend to all who celebrate! 🎥 🍿🔬
Anirban Maitra tweet mediaAnirban Maitra tweet media
English
0
6
30
3.5K