Ms Minton retweetledi
Ms Minton
140 posts

Ms Minton
@MsNMinton
👩🏻🔬 Science, 🧪 Chemistry & 🔢 Maths teacher @FingalCC
Dublin City, Ireland Katılım Şubat 2009
494 Takip Edilen159 Takipçiler

Watching Queens of the Stone Age 🤘 Need to see them live again soon, unreal rock band! #QOTSA #glastonbury2023
English
Ms Minton retweetledi
Ms Minton retweetledi

A massive well done to my 5th year student Marius who is currently no. 1 on the leader board for the DLT Capital computational thinking challenge 2023 with 8 days to go representing @FingalCC 👏🏼👏🏼

English

@ms_abehan @FingalCC @MsByrne19 Very true! They are excellent! Really easy for students to use and so, so clear!
English

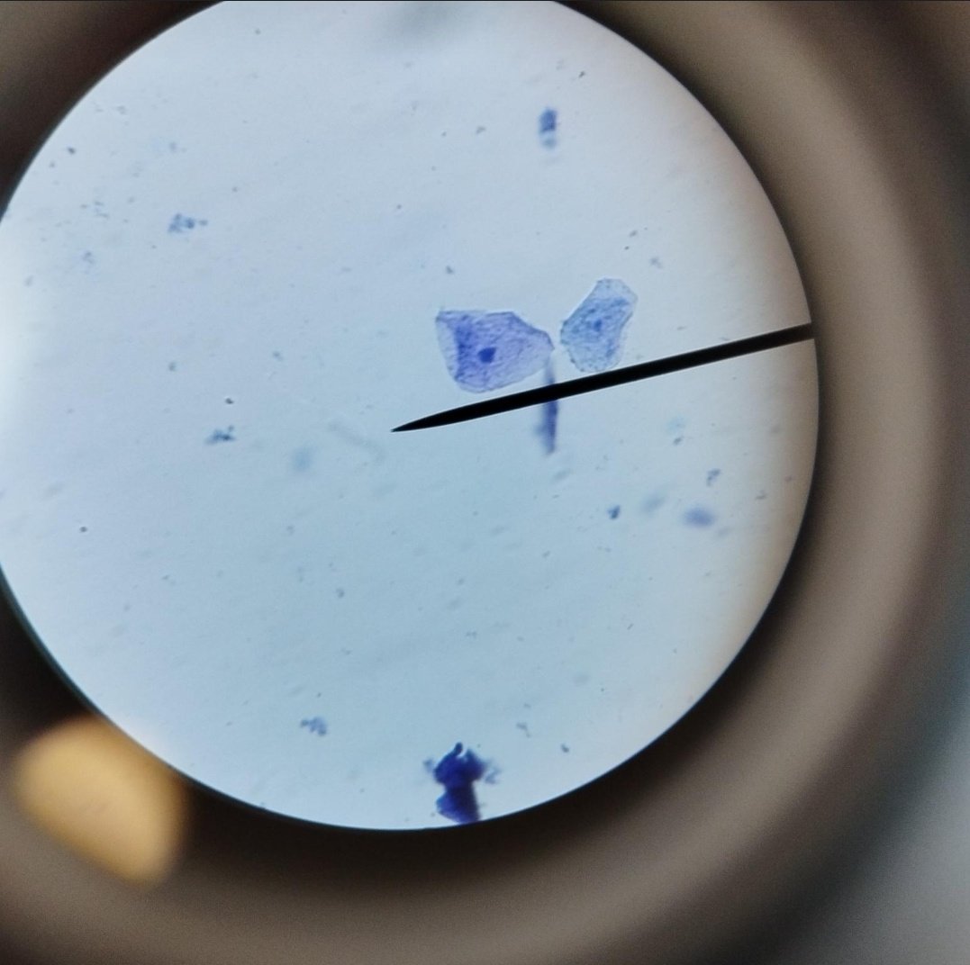
Fantastic cheek cell slides made by 3rd year students this week. We took photos, put them on the board, labelled and annotated their own cells! A nice revision activity that led to possible exam question discussion. 🔬🥼 @FingalCC @MsByrne19



English
Ms Minton retweetledi

Blown away by the incredible talent, #excellence and sense of #community at this evening’s #ddletb Festival of Music - what a fantastic production! Well done to all our wonderful students and a huge thanks to our music department.

English
Ms Minton retweetledi
Ms Minton retweetledi

Well done to the @FingalCC Senior Soccer team who beat Pobalscoil Neasáin 4-3 today in the Metropolitan League North Region Semi Final. Goals from Colin Rossiter (3) and Nickson Okosun (1). The lads will now play St. Vincent's in the final ⚽ @FCCExtraCurric
English
Ms Minton retweetledi

Just one more sleep until the return of our annual Christmas Craft Fair. Don't forget to bring any spare change you may have to school tomorrow - you are in for an impressive selection of stalls to choose from. #studententerpriseinaction

English
Ms Minton retweetledi

Thank you so much to all students who got involved and to the very deserving winners 🏆 #ScienceWeek2022
Fingal Comm College@FingalCC
Well done to all students who entered our ‘Science Poster Competition’, and congratulations to our winners for their fabulous designs. What an impressive end to our #ScienceWeek2022 organised by @MsNMinton and the Science Department. #excellenceineducation
English

Well done to the 5th Year students who took on the final #mathsweek2022 challenges with great enthusiasm! Lovely to see students working together and applying their knowledge. @sinead_mcguirk thank you for your help! @FingalCC @mathsweek #IUseMaths



English
Ms Minton retweetledi

@aokeeffe22 @FingalCC This is only a sample of the fabulous work the students produced. 👌
English

@cscanlonsci @DrJohnODonoghue @IrishSciTeach @ms_abehan Thanks for this reminder @cscanlonsci I actually have a copy of this! I will give it to you @ms_abehan! 🧪
English

Delighted to get a copy of the Bridging the Gap TY Chem book today from the authors - nice variety of topics covered! Hopefully it helps #JuniorCycle science students transition to #LeavingCert a little easier along with the great TY modules that teachers are running #ChemEd

English
Ms Minton retweetledi

A thousand thank you’s to our incredible team of staff and students for their countless contributions to our Open Evening tonight and to the many visitors who came to explore and experience our school #community. It was wonderful to meet you all. #collaboration #care #teamfingal
English

Great view of Jupiter this evening. If you get a chance, look up, its the brightest object in the sky tonight. Time to put a telescope on the Christmas list I think! 🔭 #JupiterOpposition2022 @FingalCC @cscanlonsci @The_Urell @ms_abehan @cirzie @MartinaDonnell6
NASA@NASA
Stargazers: Jupiter will make its closest approach to Earth in 59 years! Weather-permitting, expect excellent views on Sept. 26. A good pair of binoculars should be enough to catch some details; you’ll need a large telescope to see the Great Red Spot. go.nasa.gov/3R9CzBR
English









