Naomi Hardy retweetledi

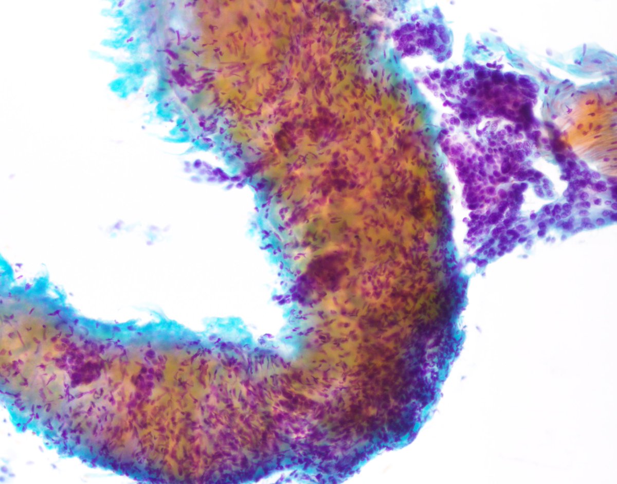
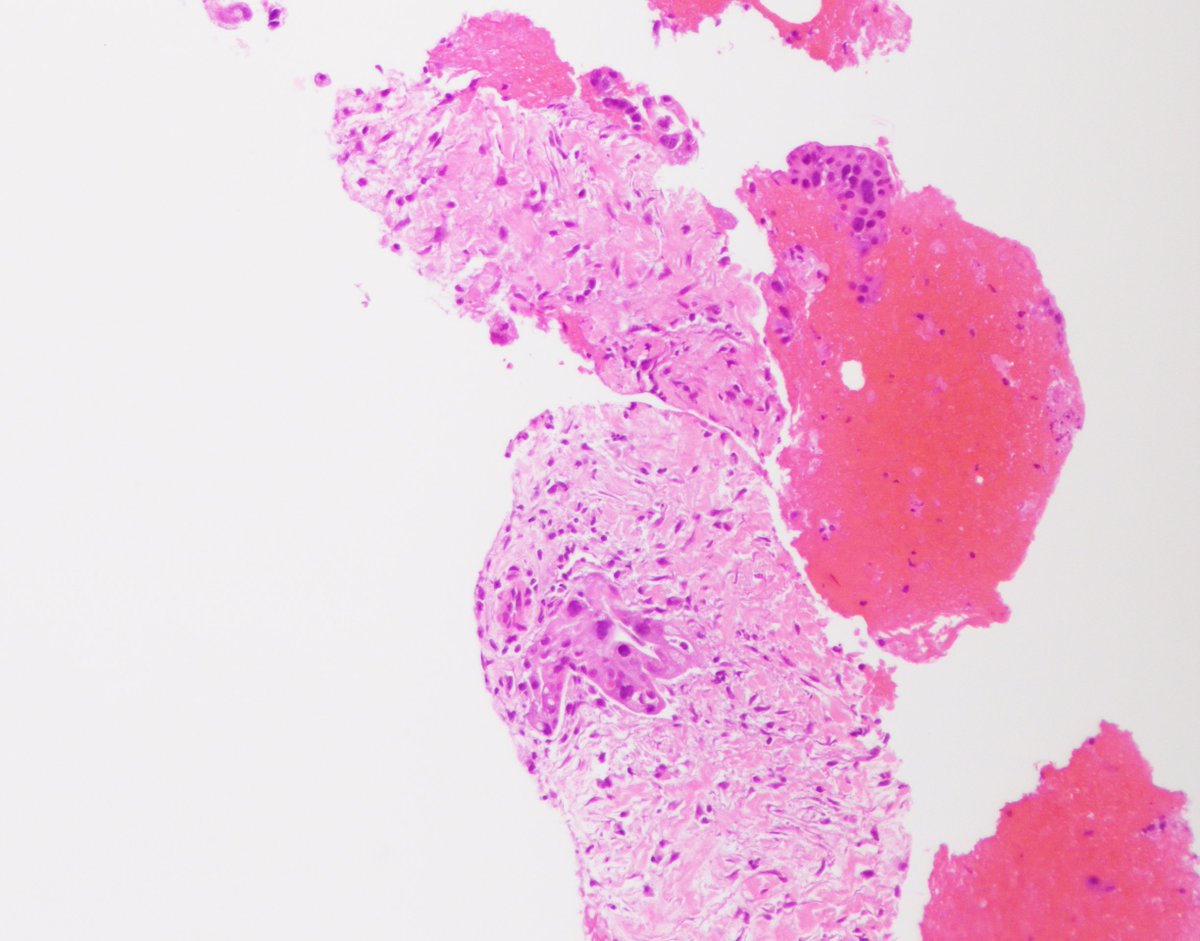
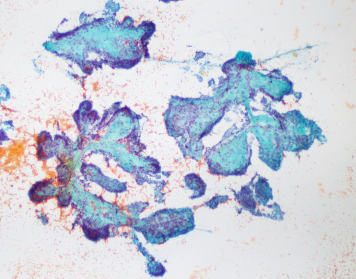
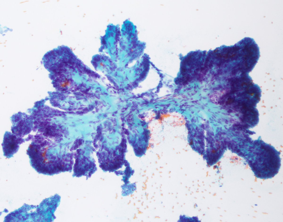
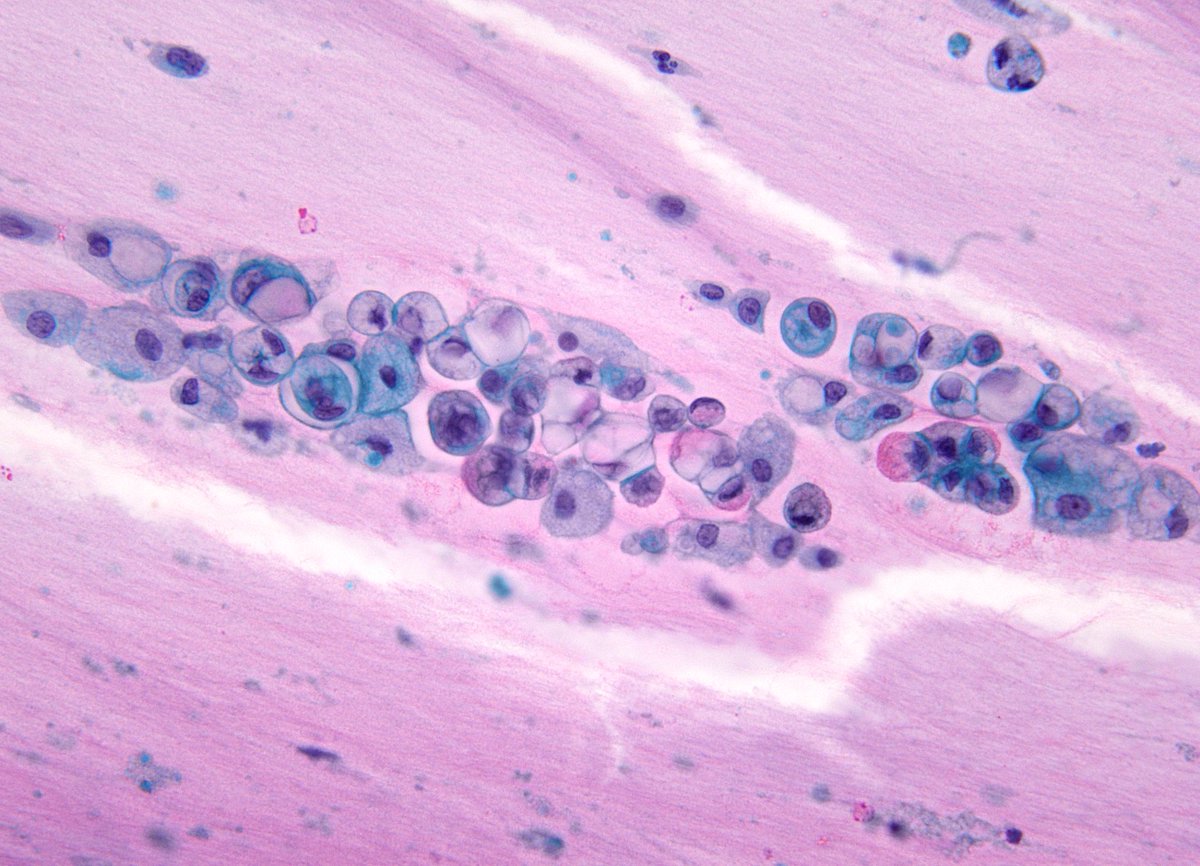
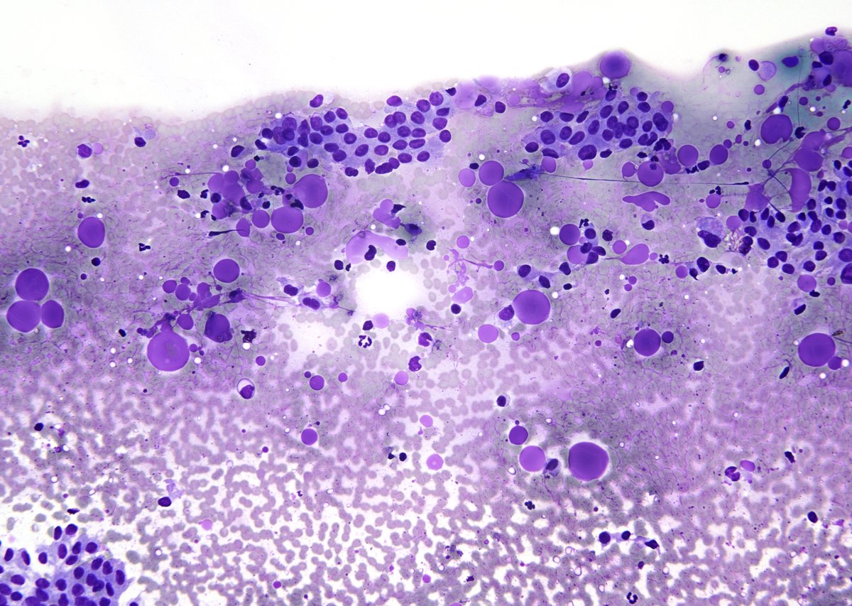
🔬 Neuroendocrine Type Atypia (right half of image) in an Oncocytic (Hurthle-cell) thyroid neoplasm ~ #Pathology #Histology #Thyroid #ENTpath

English
Naomi Hardy
1.7K posts

@NHardy_path
Pathologist, board certified in cyto and derm, Lankenau Medical Center Main Line Health Philadelphia






























