Sabitlenmiş Tweet

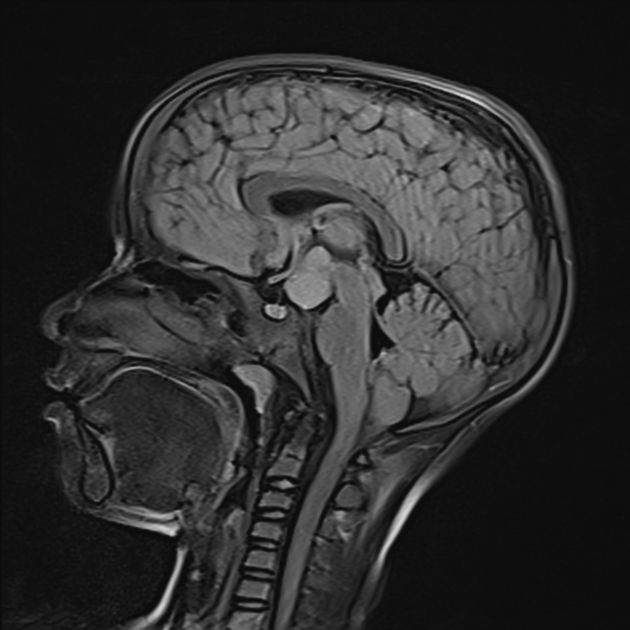
Gelastic seizures, marked by bouts of uncontrollable laughter, are classically linked to hypothalamic hamartomas. They may also be associated with Pallister-Hall syndrome (caused by a GLI3 mutation on chromosome 7). Present in infancy. EEG often normal due to deep seizure focus.
#neurotip #neuropediatrics #epilepsy


English






















