Neuroradiology bites
187 posts

Neuroradiology bites
@Neuroradbites
#radres #FOAMrad #RadEd #neurology #Neurosurgery
Katılım Ağustos 2021
1.1K Takip Edilen3.9K Takipçiler

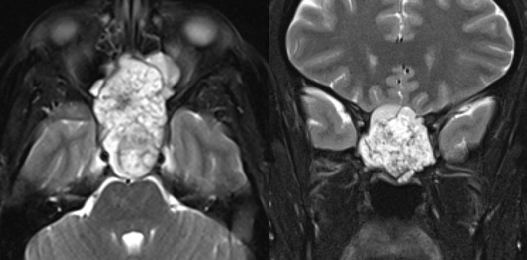
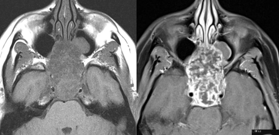
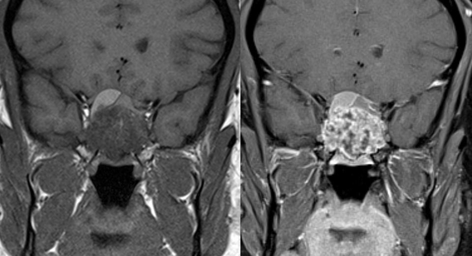
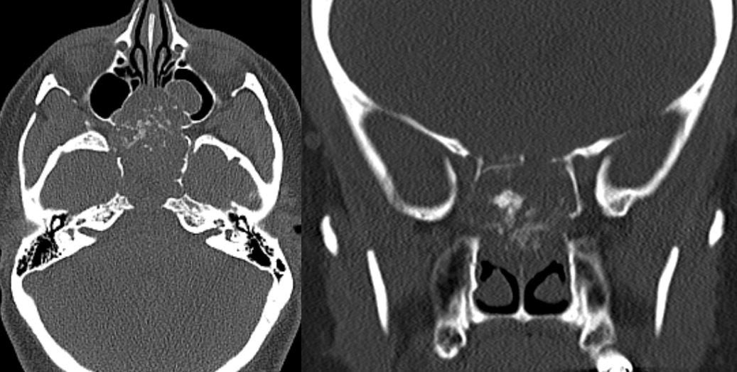
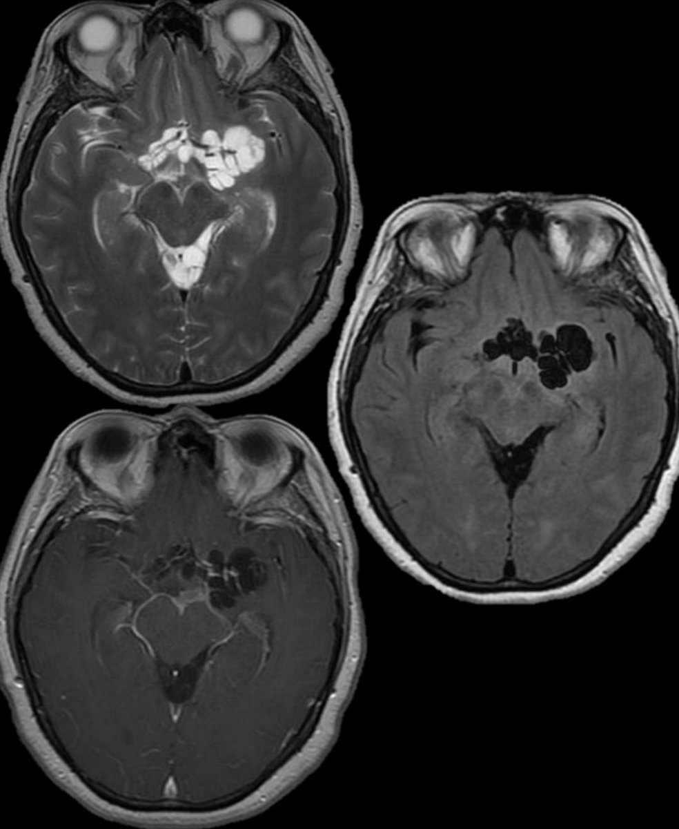
11 yo male with history of growth retardation and myopia presents with bradycardia and loss of consciousness.
#radres #Neurology #neuroscience #neurosurgery #Radiología #raded

English

@doctorgrieco @BSIR_News @BMA_JuniorDocs @gmcuk @RCRadiologists @Doc_IonaCollins @r1chardf1tzg3r1 Sorry if this comment is making you appear in a negative light in front of your IR colleagues and feel free to delete but know that there is a good reason people speak from faceless accounts.
English

@Neuroradbites @BSIR_News @BMA_JuniorDocs @gmcuk @RCRadiologists @Doc_IonaCollins @r1chardf1tzg3r1 Not cool saying this from a faceless account
English

Resounding support for the motion 111 YES vs 8 No
BSIR AGM calls for a pause in Physician Associate recruitment until regulation by an organisation OTHER than the GMC and until scope is defined
@BSIR_News @BMA_JuniorDocs @gmcuk @RCRadiologists @Doc_IonaCollins @r1chardf1tzg3r1

English

@DrEilidhMaria @doctorgrieco @BSIR_News @BMA_JuniorDocs @gmcuk @RCRadiologists @Doc_IonaCollins @r1chardf1tzg3r1 twitter.com/doctorgrieco/s…
Dr Chris Grieco - Dottir.app@doctorgrieco
@BSIR_News @RCRadiologists @ClinRadiology article from the to be President of BSIR is based on false information and an anecdotal case sample of 1 physician associate. Not good enough. The 2,200+ jobless applicants to radiology in 2023 deserve better. @r1chardf1tzg3r1
QME

@TSM_Humanist @Tejzai6 HOA is a syndrome characterised by a periosteal reaction of the long bones. It can be primary (pachydermoperiosteitis) or secondary. Clubbing is the result of soft tissue proliferation associated with HOA. So HOA does not equal clubbing!
English

@Tejzai6 HOA is Clubbing! Smart not using the word clubbing.
Well what if you place lovibond angles of two fingers against each other ?
English

These nails are known as ? Please don’t say “Clubbing”
Mention two signs that you look for ?
*Medical Students only.
#MedEd #MedTwitter

English

What is the most likely diagnosis in this 40 y/o F w/ subacute right lateral visual field defect? 🧠
#ent #neuroradiology #neurosurgery #radres #futureradres #MedEd




English

@mskteachingroom Intramuscular Myxoma - if multiple a/w fibrous dysplasia in Mazabraud syndrome
Română
Neuroradiology bites retweetledi

@drmankad Especially in supratentorials tumors I feel like an ancient astronomer looking at the sky with an optical telescope, while in the next room, the pathologists, are looking at the heavens with the Hubble 😅
English

Henssen, D., Meijer, F. Cerebral aneurysm in a giant perivascular space. Neuroradiology 62, 271–272 (2020). doi.org/10.1007/s00234…
Română

Tumefactive perivascular spaces containing an ICA aneurysm.
#radres #FOAMed #neurotwitter #Neurology #Neurosurgery

English

Check out this case from @Radiopaedia
radiopaedia.org/cases/83651
English






















