NoviRad, Inc.

5 posts

NoviRad, Inc. banner
NoviRad, Inc.

NoviRad, Inc.

@NoviRad_Inc

Next-gen Technology for Interventional Radiology

Houston, TX Katılım Eylül 2020
7 Takip Edilen45 Takipçiler
NoviRad, Inc.
NoviRad, Inc.@NoviRad_Inc·
It is a tremendous honor for @NoviRad_Inc to be highlighted in Dr. Stuart Silverman’s featured lecture on the future of abdominal #IRad at the @SocietyAbdRad 2026 meeting! Contact us to learn more about the development of our first-in-kind intelligent drainage catheter system!
NoviRad, Inc. tweet mediaNoviRad, Inc. tweet media
English
0
2
2
233
AJ Gunn
AJ Gunn@ajgunnmd·
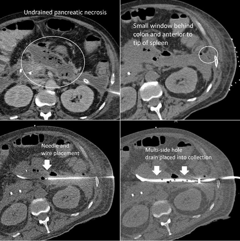
Even “simple” image-guided procedures can have huge impacts on patient care. Here, an undrained component of pancreatic necrosis was causing persistent fevers & elevated white count. #IRad used a small opening behind the colon but anterior to spleen to place a drain.
AJ Gunn tweet media
English
4
8
64
12.8K
NoviRad, Inc. retweetledi
Elie Balesh, MD
Elie Balesh, MD@eliebalesh·
Congratulations to the @NoviRad_Inc team for closing an oversubscribed angel round, with 10+ #IRad investors committed to our mission of improving percutaneous drainage procedures through patient-centered #innovation.
English
2
3
17
0