Oral Path Opinion
203 posts

Oral Path Opinion
@OralPathOpinion
Specialist oral pathologist. Tweeting excerpts from the oral path textbook that, let's face it, I'll never get around to actually writing. #oralpath #entpath
UK Katılım Ocak 2014
1.3K Takip Edilen1.9K Takipçiler

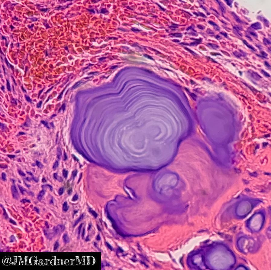
@JMGardnerMD Psammomatoid juvenile ossifying fibroma
English

Ethmoid bone lesion in a young girl. Your diagnosis? What are these stunning concentric ring structures??? Answers & more pics: kikoxp.com/posts/10498. Thx to @ConnorZuraski for sharing this case with me! #BSTpath #pathologists #pathology #pathTwitter #oralpath #dental #dentist




English
Oral Path Opinion retweetledi

BSOMP Case of the Month for December 2022 is now live.
Visit bsomp.org.uk/cotm for case history, histology wholeslide image, diagnosis & learning points.
@theBSOMP @pathogenesisDP
#BSOMP #COTM #oralpathology #pathology #PathTwitter #pathogenesisdigitalpathology


English

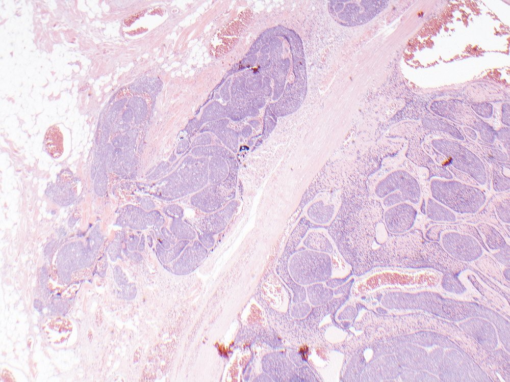
Basal cell adenocarcinoma of parotid showing jigsaw puzzle pattern, hyaline globules, focal squamous eddies and, most importantly, invasion into periglandular fat. Wide sampling essential to find those invasive foci #pathology #oralpath #entpath




English

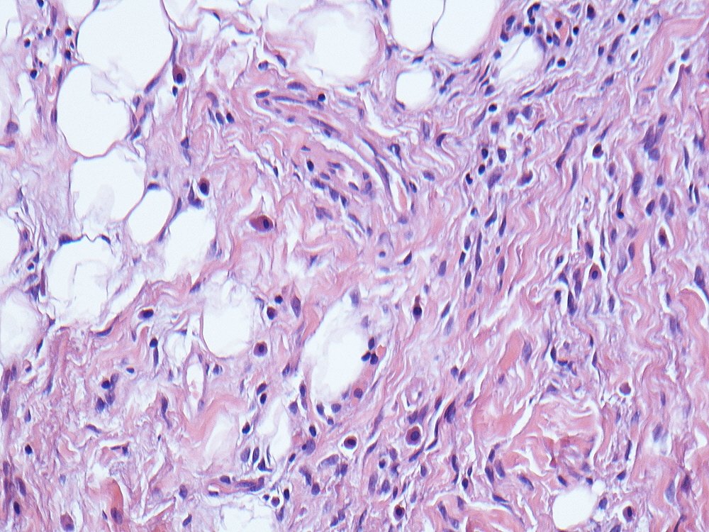
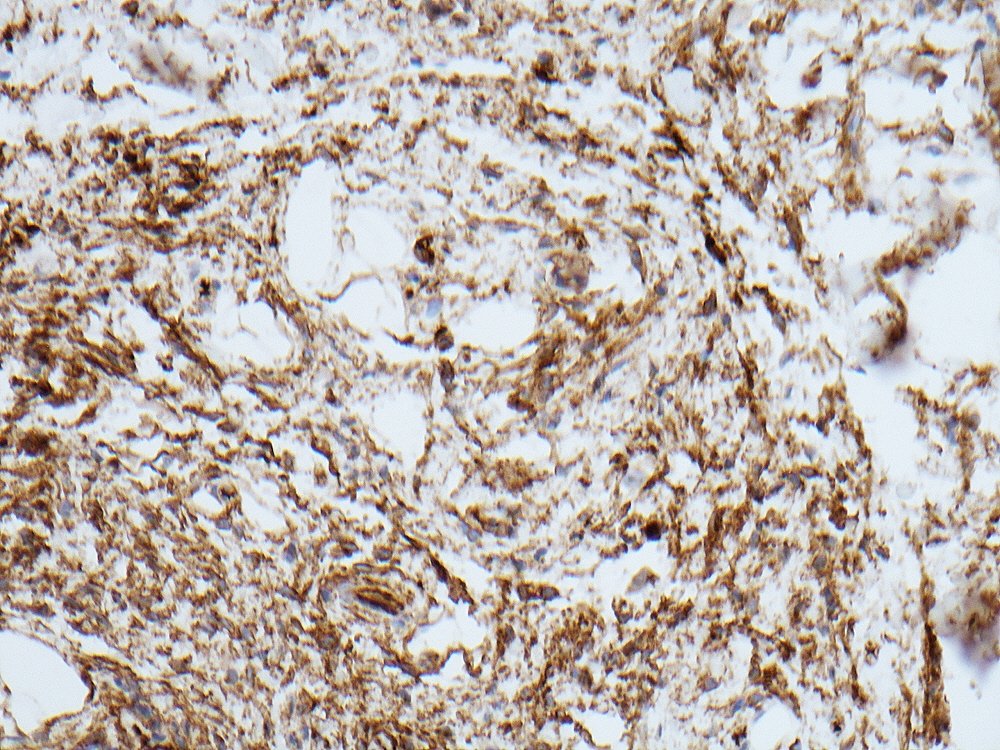
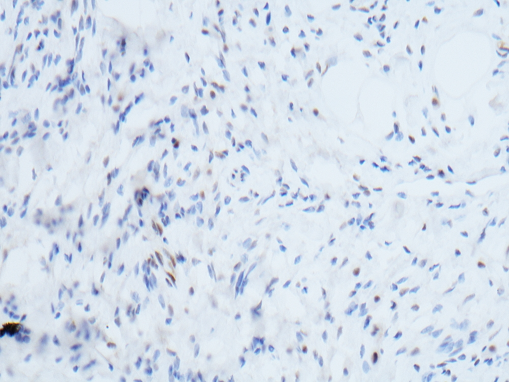
Spindle cell lipoma of the tongue. Spindle cells, ropey collagen, adipocytes, mast cells. Spindle cells CD34+ and show loss of RB expression. #oralpath #pathology #bstpath




English

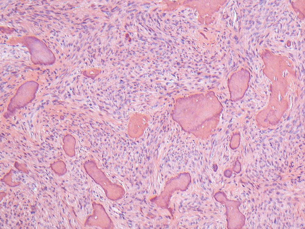
Section of a cemento-ossifying fibroma of the mandible. You won't find this under fibro-osseous lesions in the latest WHO classification; instead it's been grouped under 'benign mesenchymal odontogenic tumours' #oralpath #pathology #odontogenic

English
Oral Path Opinion retweetledi

A 32-year-old female awoke with profound blurriness in the right eye. She has also constant joint aches, frequent headaches, neck pain. She also noted recurrent oral ulcers & a recent genital ulcer. What is the likely diagnosis? #Medtwitter (Image: derm advisor)



English
Oral Path Opinion retweetledi

A 46-year-old man presented with shortness of breath, low back pain & weight loss. Labs w/⬇️Hb, ⬆️Ca. What is the diagnosis? #Medtwitter #Hemetwitter #MedEd tinyurl.com/39rvkcuj

English

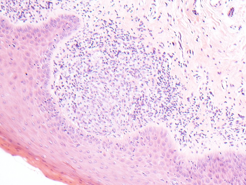
Biopsy of lichen planus of the lateral tongue which shows a submucosal aggregate of foamy macrophages #oralpath #pathology

English

@MayoPathology @mayocliniclabs @MayoClinicPath @JenniferBoland7 @GaryKeeneyMD @johncheville @DrAldehyde @RawiaMo57385655 @kabeerkshah @pembeoltulu @JMGardnerMD @LizMontgomeryMD @kriyer68 @GeronimoJrLapac @PathBst @NRiddleMD @JMcMahonG @Chucktowndoc Very meta - actually looks like a footprint
English

🔬 Foot mass 👣 🔬 Your Diagnosis? @mayocliniclabs @MayoClinicPath @JenniferBoland7 @GaryKeeneyMD @johncheville @DrAldehyde @RawiaMo57385655 @kabeerkshah @pembeoltulu @JMGardnerMD @LizMontgomeryMD @kriyer68 @GeronimoJrLapac @PathBst @NRiddleMD @JMcMahonG @Chucktowndoc




English
Oral Path Opinion retweetledi

Tongue lesion 🔬 Granular cell tumor 🔬 Also known as Abrikossoff's tumor and granular cell schwannom @MayoClinic @mayocliniclabs @MayoClinicPath @LinskeyKaty @LisaRooperMD @GeronimoJrLapac @headneckpatho @OralPathOpinion @PathDocBoston @GaryKeeneyMD @HeadandNeckPath #ENTPath




English
Oral Path Opinion retweetledi

Male patient in his 70s with a right buccal space mass
▶️What do you think?
▶️What IHC would you order?
Diagnosis on Friday!
#pathology #pathologist #headandneck #PathTwitter #picoftheday #caseoftheweek #oralpath #ENT




English

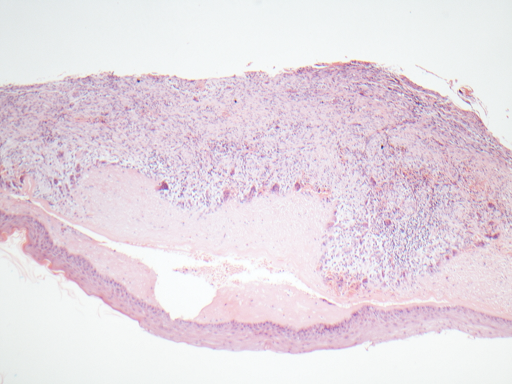
Recurrent odontogenic keratocyst with a zone of prominent subepithelial hyalinization being nibbled by hungry osteoclasts. Changes in the wall are almost giant cell granuloma-like. almost.... #oralpath #pathology


English

Mucoepidermoid carcinoma involving an excretory duct in the oral buccal sulcus. Mucous cells, Clear cells and intermediate cells are seen. #oralpath #entpath #pathology


English

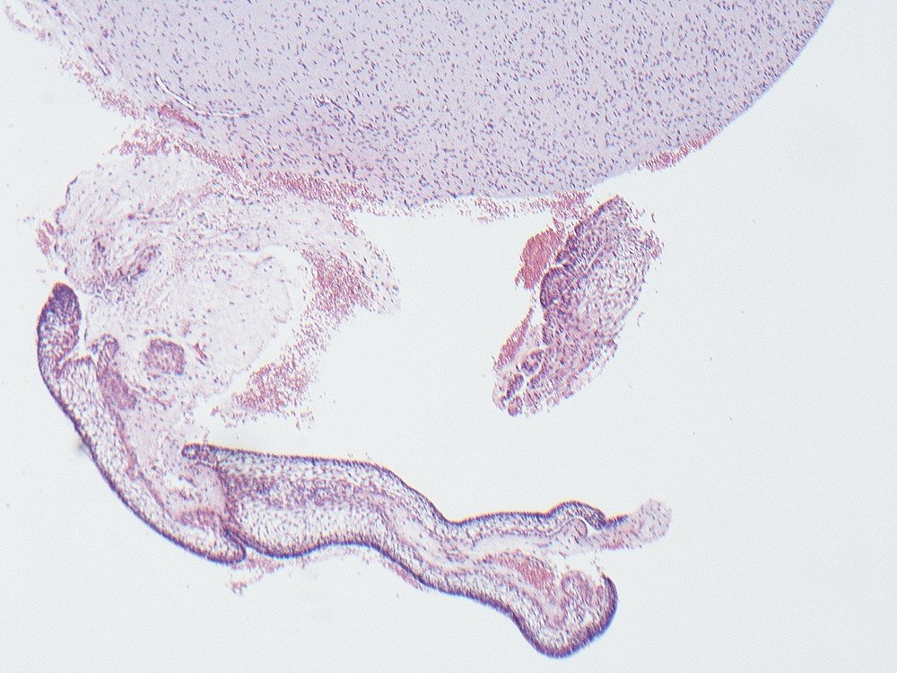
Accidental discovery of a developing tooth germ in a routine mucosal biopsy. Ectomesenchymal dental papilla and enamel organ elements with ameloblasts and stellate reticulum on show #oralpath #pathology



English

@KusafukaK Thanks Prof. p40 was +++, everything else negative 👍
English

@OralPathOpinion When I see such a case, I try to immunostain the NE markers as CD56, CGN and SYN.
English

Basaloid squamous cell carcinoma of the oral cavity showing comedonecrosis. The differential diagnosis includes solid variant of adenoid cystic carcinoma and neuroendocrine carcinoma #oralpath #entpath #pathology

English

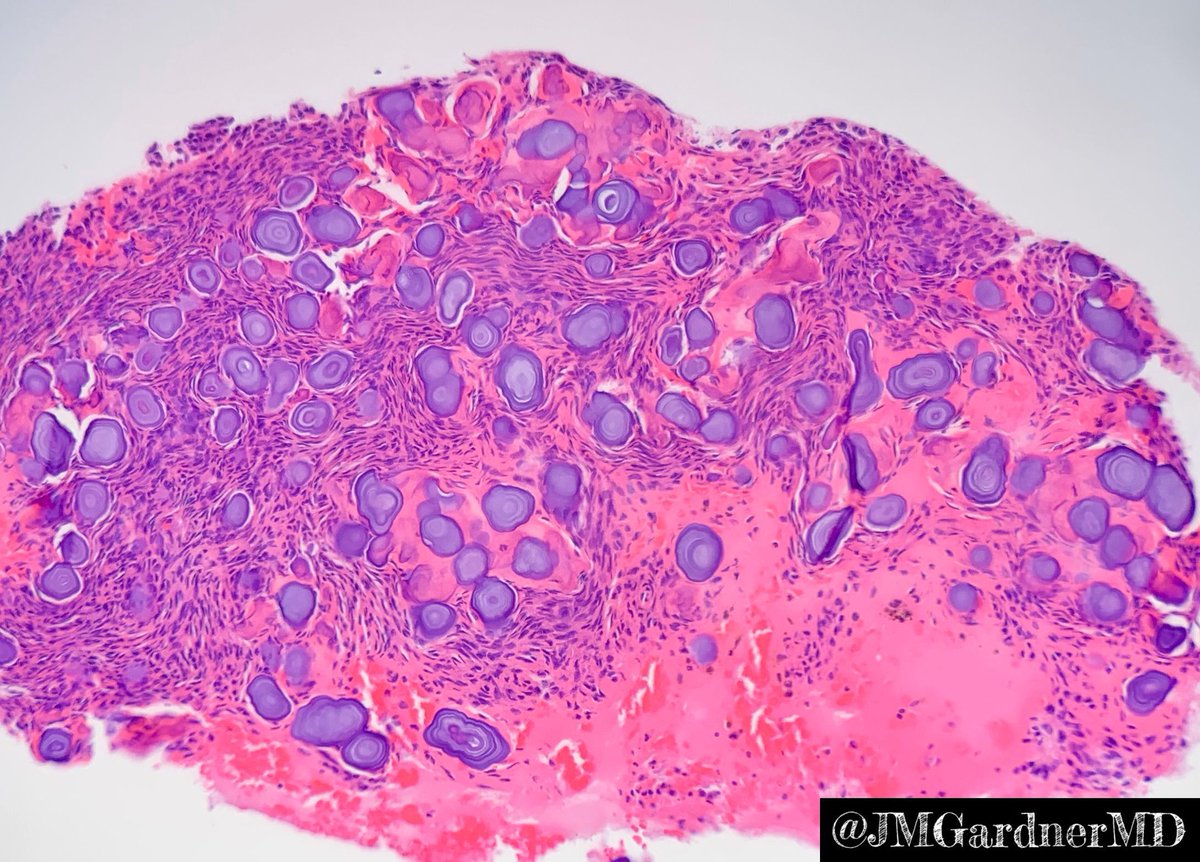
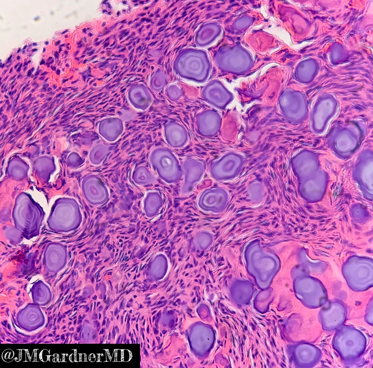
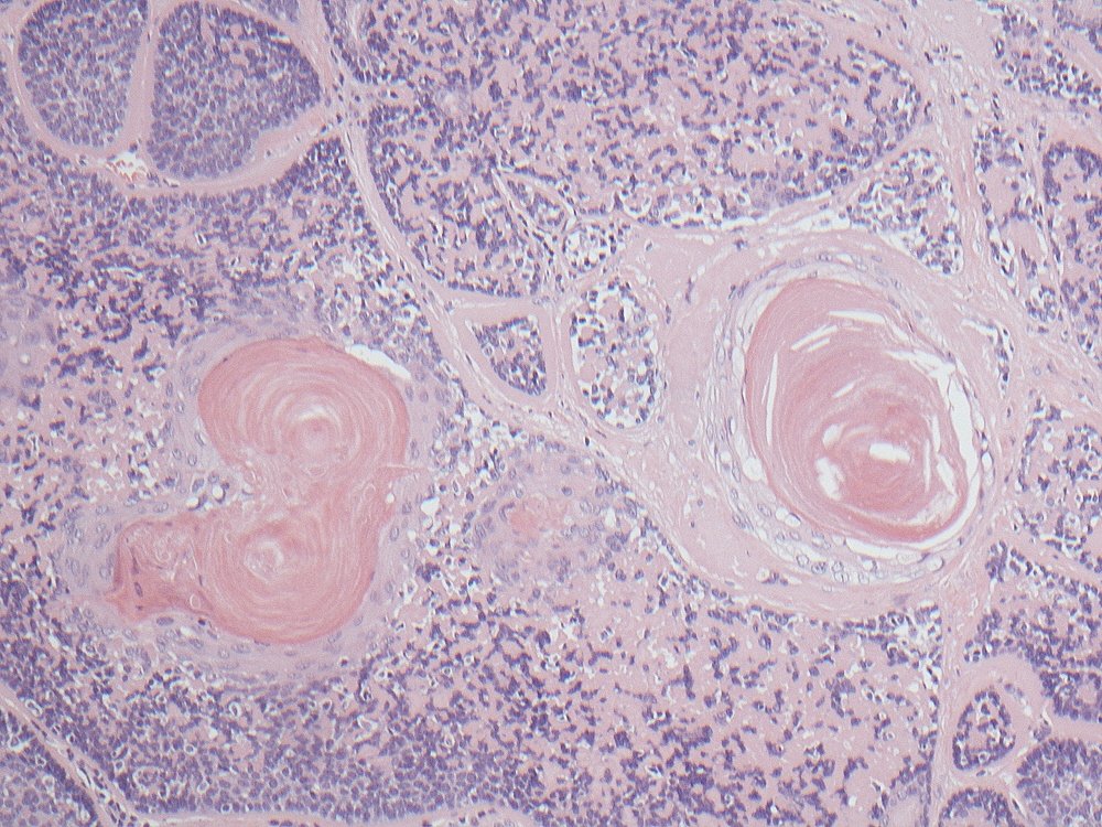
Sialolith from a minor salivary gland associated with commensal bacteria and pus. Note the incremental lines indicating that accretion has occurred #oralpath #entpath #salivarypath


English
